Sabitlenmiş Tweet

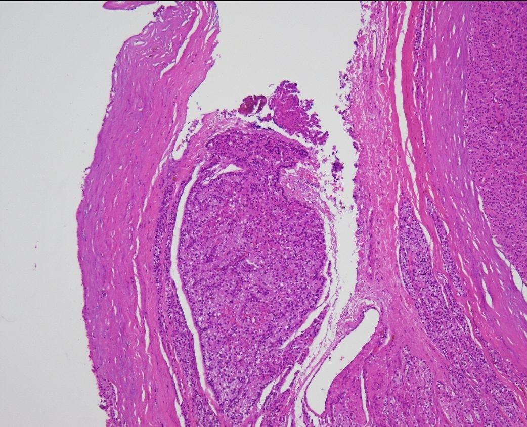
Skin lesion 40 year old male.
Who else always undertakes fumarate hydratase IHC and 2SC IHC in cutaneous leiomyomas. We always do.
Practice hint, immunohistochemistry for FH can be difficult to interpret in cutaneous leiomyomas. This is because they are always associated with small non-neoplastic nerve fibres which show positive staining even in FH deficient leiomoyomas.
In contrast 2SC is always diffusely strongly positive in FH deficient leiomyomas and 2SC is easy to interpret.
The presence of any FH deficient leiomyomas is an indication for genetic counselling/testing for germline FH mutation.
The presence of multiple leiomyomas is also an indication for genetic counselling/testing regardless of IHC status.
So one can make an argument (which sounds a little counterintuitive) that you should always perform FH and 2SC IHC only on apparently solitary cutaneous leiomoyomas
The pics below show FH (negative) and 2SC (positive).
One more thing . . . dermatologists always want to call this Reed syndrome. I call it HLRCC (hereditary leiomyomatosis and renal cell carcinoma syndrome) as it is the renal carcinomas which are most ominous.




English



























