



Callie Torres, DO, MS
1.6K posts

@Callie_Tor
General Pathologist | she/her
















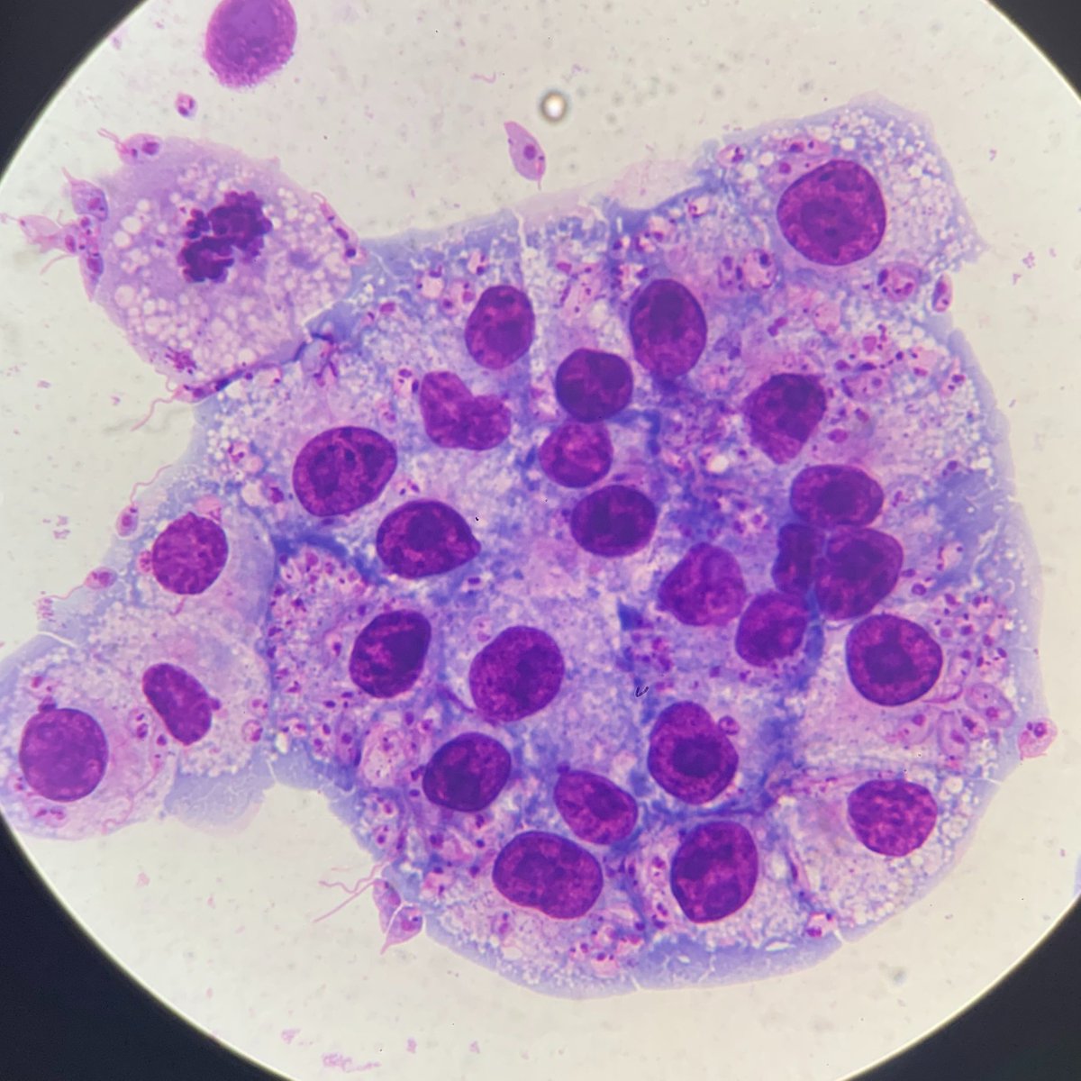
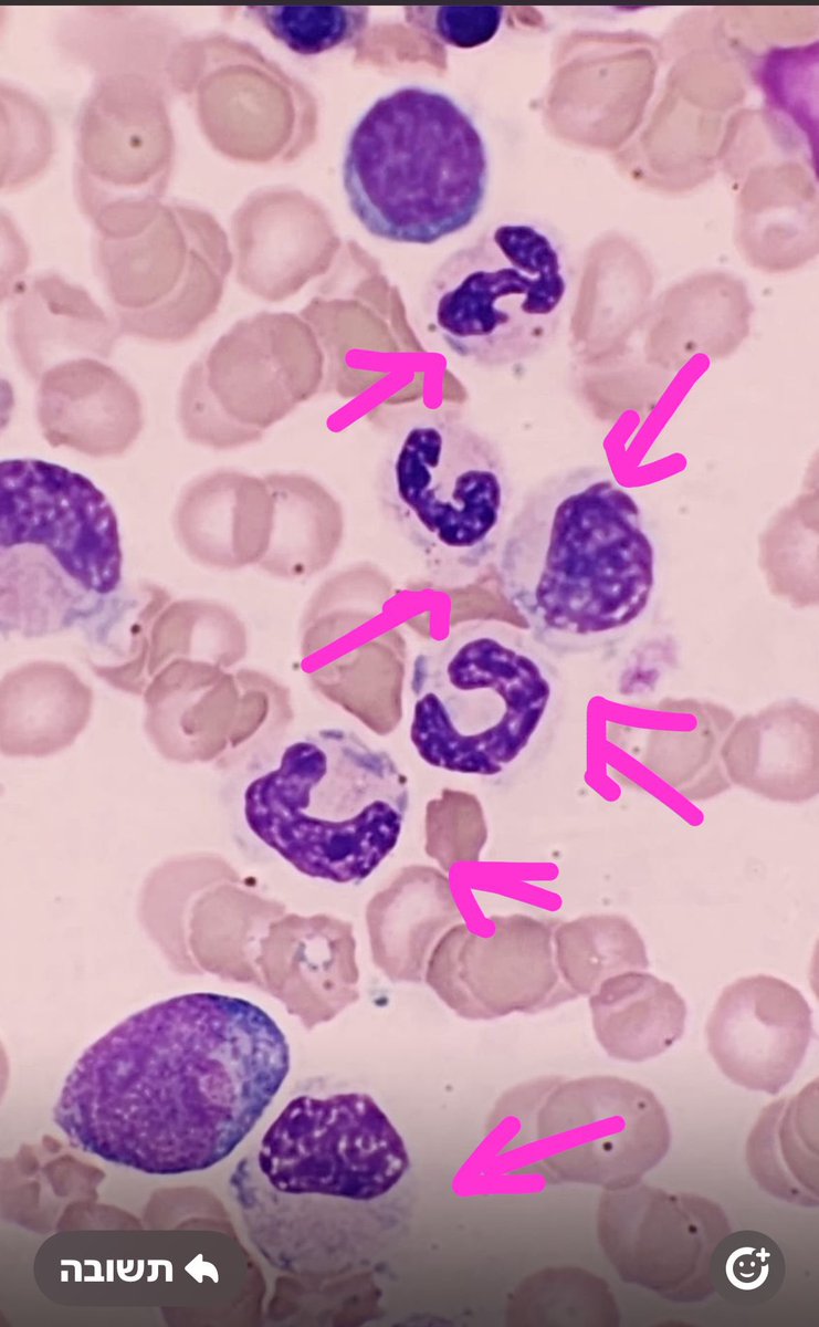
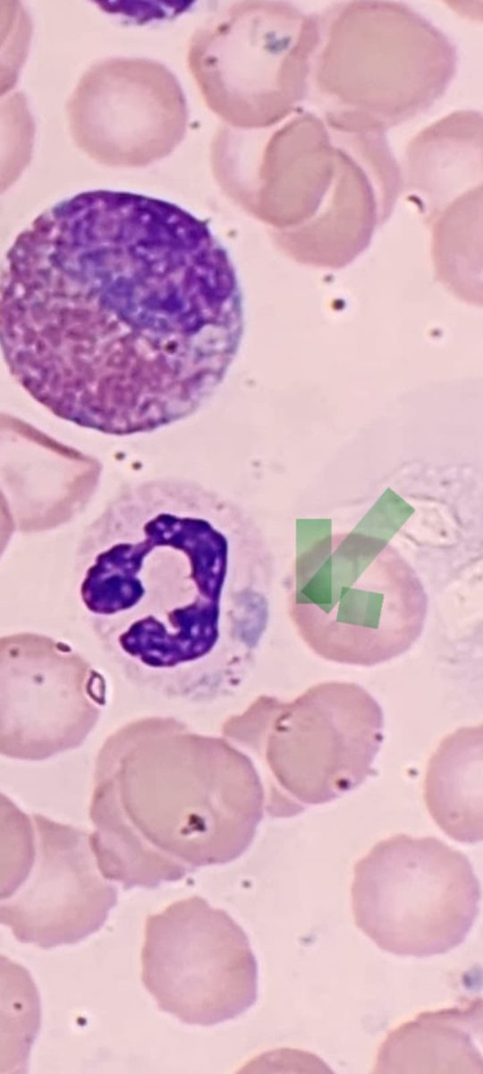
The Washington Manual of Hematopathology is officially published and available 😱🥹😊 shop.lww.com/The-Washington… Amazon link: a.co/d/bEOy4dT PS: can you guess the cover page diagnosis? #Hematopathology #NewBook

Learn more about our Anatomic Pathology, Clinical Pathology, and Neuropathology Residency Programs as well as our Physician Scientist Training Program at our upcoming virtual open house. Follow the link to register: lnkd.in/gNKUD37x















Congratulations to our new chiefs: Drs. Kyle Goodman, Clay Marolt, Madi Tichenor, and Carly Maucione! We are looking forward to working with you in 2024-2025. #washupathedu @KGoodmanMDPhD @DrClayMarolt @MadiTich @carmaucione





