
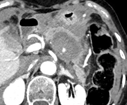
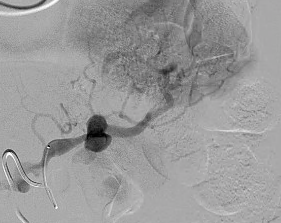
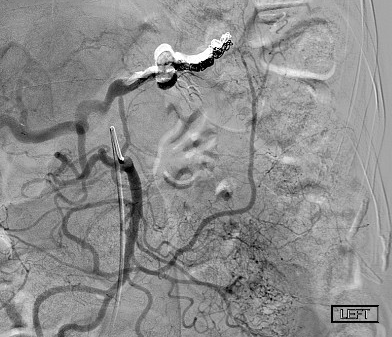
@dpduncanMD_IR @VUMCradiology @UCSDRadRes @Quinn_Meisinger @myliuMD @shelbyfrantzMD @iRadRock @MinaMakaryMD @theIIMD @IRdocAndy @JohnDoIR @RmelikMD @TWongMD @DRimaniIR @danbrownIO @ecemmons @CBoonie_nanoIR @Ajairam_MD_IR pubmed.ncbi.nlm.nih.gov/35907643/ I’ve always thought this was a great case. Great technique by the IR to boot!
English


























