Jorge Fernández retweetledi
Jorge Fernández
412 posts

Jorge Fernández retweetledi

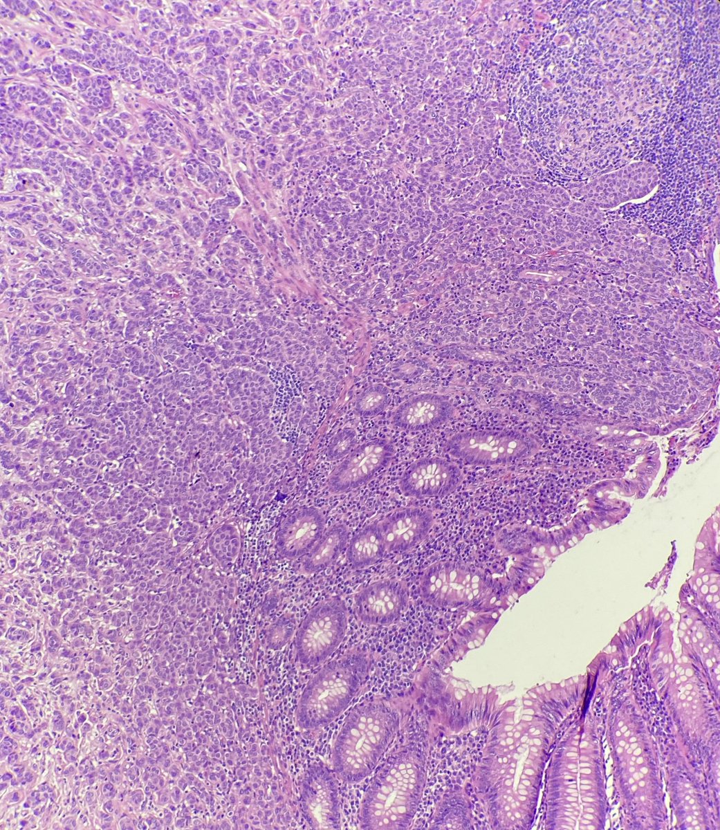
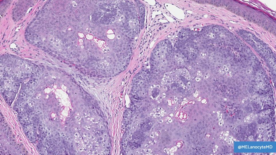
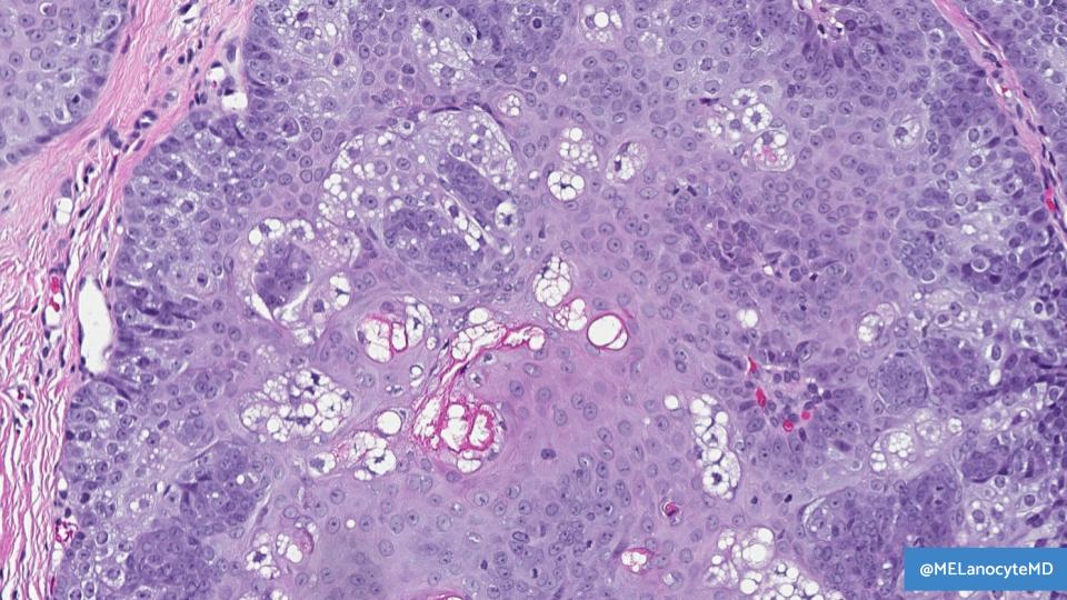
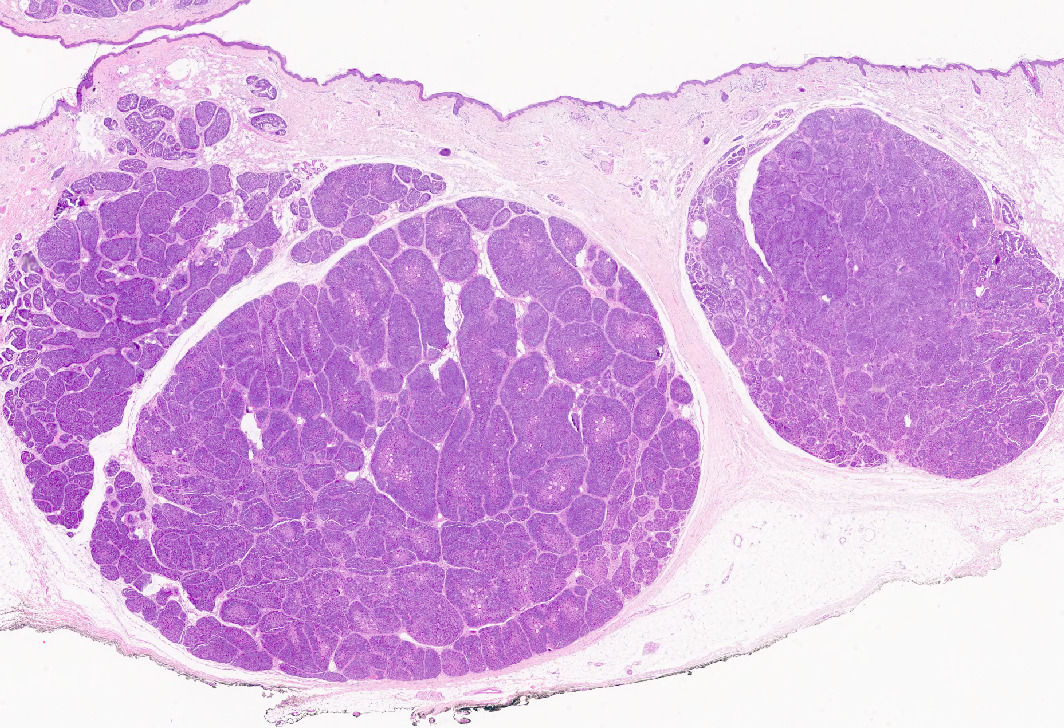
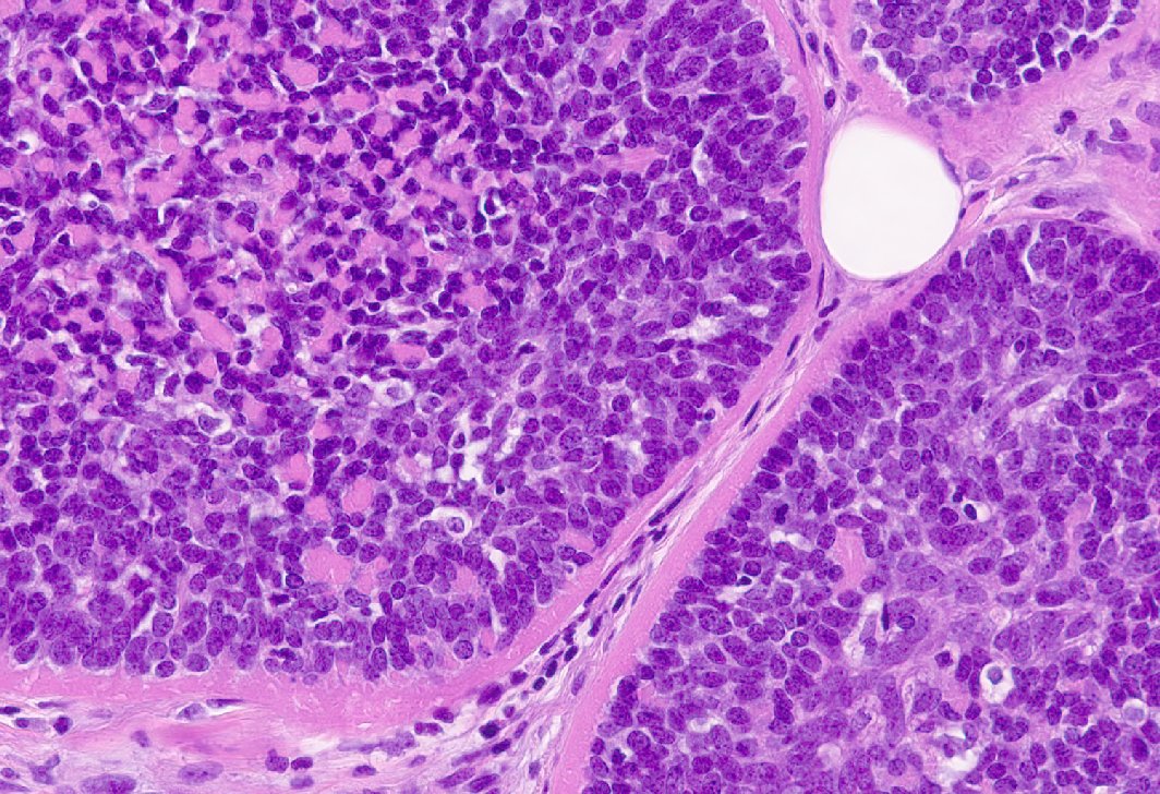
Well, I’m sure not all incidental tumors in the appendix are NETs… but this one sure did surprise us!
IHC in the coments 👇🏽
#PathTwitter #GIpath #pathresidents
@LizMontgomeryMD @atman_ci @CArnold_GI


English
Jorge Fernández retweetledi

Recommended IHC for carcinoma of unknown primary
twitter.com/VaughanPappy/s…
English
Jorge Fernández retweetledi

A #dermpath classic! Your diagnosis? Click here for answer: kikoxp.com/posts/8476. #pathology #pathologists #pathTwitter #dermatology #dermatologia #dermtwitter


English
Jorge Fernández retweetledi
Jorge Fernández retweetledi
Jorge Fernández retweetledi

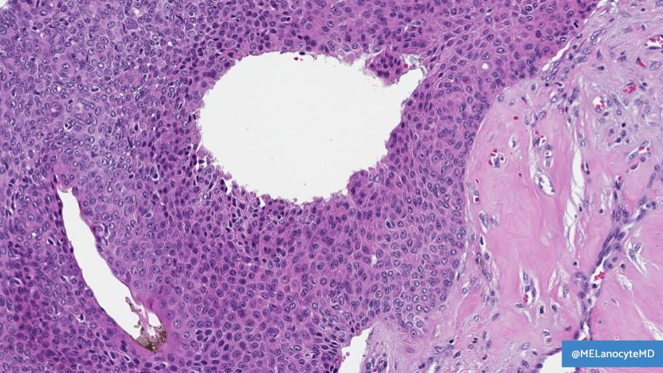
Poroma:
👩⚕️ Classically, side or sole of foot
🔬 Intraepidermal + pushes down into dermis
🔬 Poroid cells ± clear cell ∆
🔬 Sweat ducts (EMA, CEA highlight duct lumens)
🧬 YAP1 fusions (MAML2 or NUTM1)
Learn more:
✳️ kikoxp.com/posts/11353
✳️ youtu.be/VG6JdaXZbvM
#dermpath

YouTube




English
Jorge Fernández retweetledi

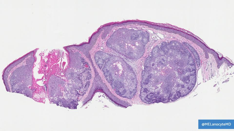
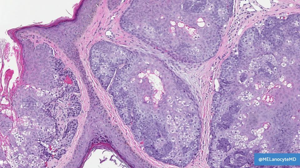
Sebaceous Adenoma:
1️⃣ Yellow papule on face, may mimic BCC
2️⃣ Sebocytes > basaloid cells (<50%)
3️⃣ Some cases a/w Muir-Torre syndrome
Learn more w/ my video on sebaceous tumors:
✳️ kikoxp.com/posts/10691
✳️ youtu.be/hLuPOOXO1RE
#3thingstoknow #dermpath #pathresidents

YouTube




English
Jorge Fernández retweetledi
Jorge Fernández retweetledi
Jorge Fernández retweetledi

Dos lesiones que parecen iguales (así lo creía el paciente), pero completamente diferentes. Una benigna y otra maligna. Cuidado con el 🌞!! 🧴 @DermaHUVRocio


Español

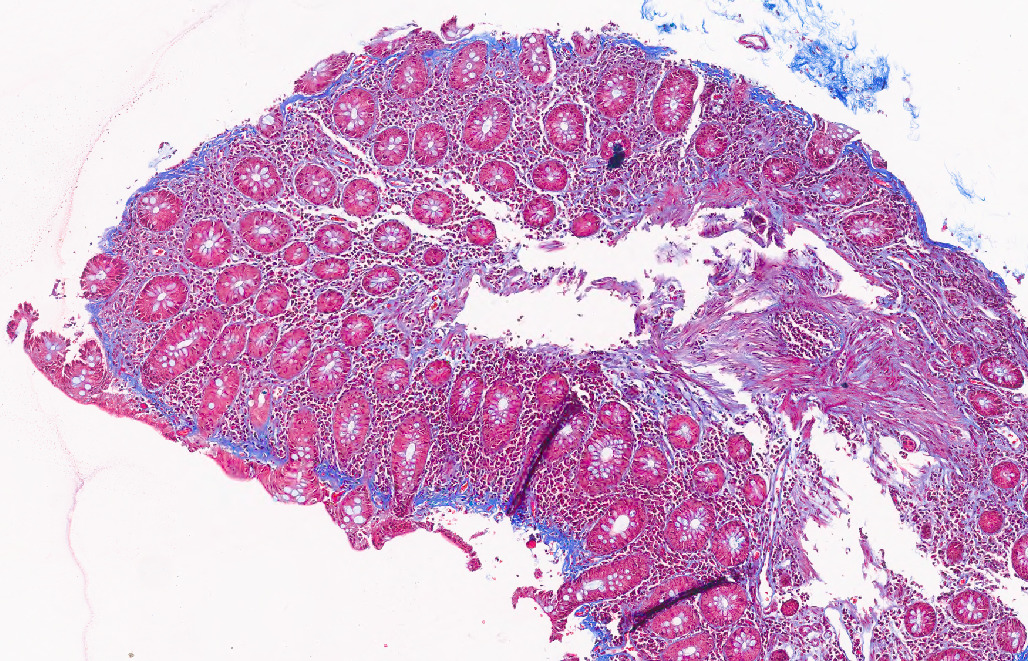
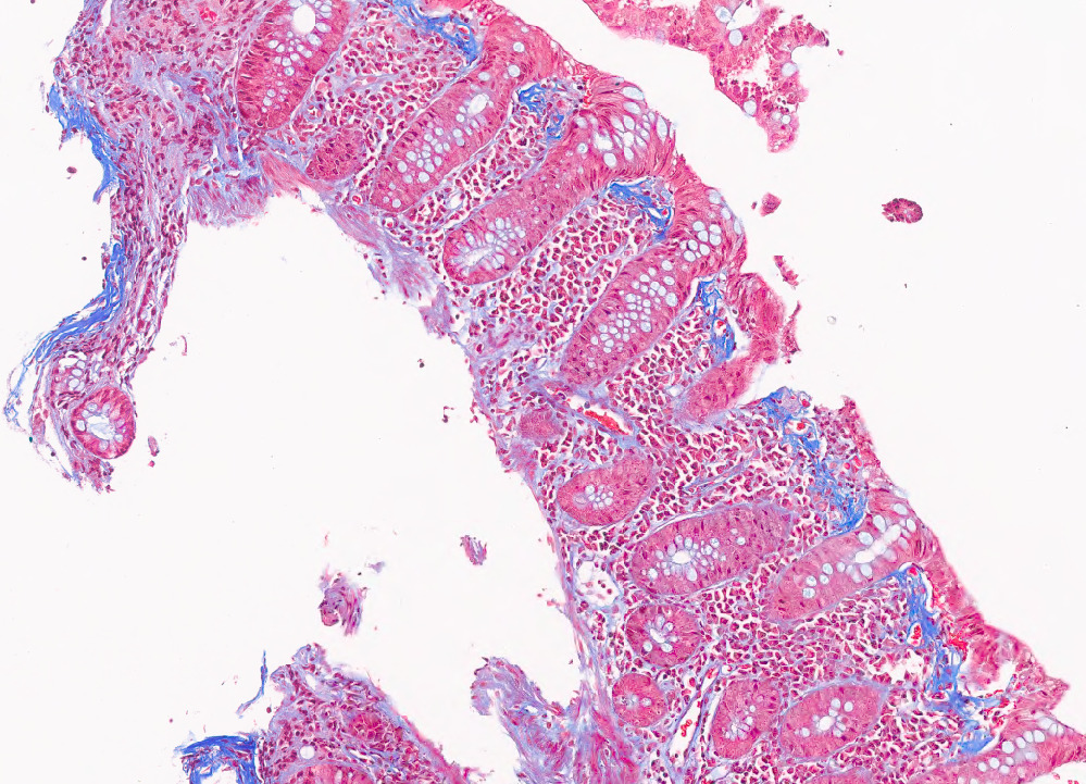
🔬Collagenous colitis
✔️ Surface mucosal damage and detachment.
✔️Thickened subepithelial collagen band, with capillary entrapment.
✔️Lamina propria inflammation (lymphocytes and plasma cells).
✔️ Masson trichrome stain highlights the collagen band.
#Pathtwitter #GIpath




English

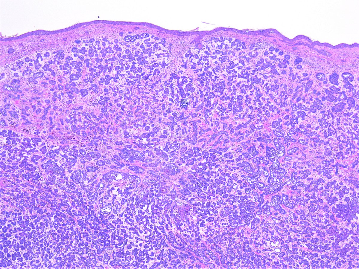
🔬 Cylindroma
✔️ Tumor of basaloid cells in the dermis arranged in islands that fit together like a jigsaw puzzle.
✔️ Thickened basement membrane around each tumor island.
✔️ Two cell populations, hyalinized droplets and sweat duct lumina.
#pathtwitter #dermpath #pathology




English
Jorge Fernández retweetledi

El jueves 24 de marzo tutores y residentes estaremos conectados para contarte nuestra experiencia sobre la #AnatomiaPatologica, una de las especialidades más completas que integra diagnóstico, tratamiento, docencia e investigación.
#SinDiagnósticoNoHayNada
seap.es/sesion-postmir…

Español
Jorge Fernández retweetledi

¡Queremos contarte porqué nos gusta tanto ser Patólogos! Una de las especialidades más completas que integra diagnóstico, tratamiento, docencia e investigación. ¡Únete el jueves 24 de marzo y pregunta lo que quieras! #SinDiagnósticoNoHayNada
seap.es/sesion-postmir…

Español
Jorge Fernández retweetledi
Jorge Fernández retweetledi

LIPOMA
Basic facts for residents.
Important types, salient morphology and key notes...
#MakeSurgiPathEasy
#Lipoma
#BasicFactsForResidents

English






















