Diego González
806 posts

Diego González
@DiegoRad91
Husband & Father | Radiologist | DNR & INR
Temuco, Chile Katılım Ocak 2016
1.6K Takip Edilen495 Takipçiler

Transfemoral, no TCAR, nor Endarterectomy.
Crystal clear!
Outstanding efforts from all investigators over the last years #SVIN25
NEJM@NEJM
Presented at #SVIN25: CREST-2: In high-grade asymptomatic carotid stenosis, addition of stenting to medical therapy led to a lower risk of stroke over a 4-year period. Endarterectomy did not lead to a significant benefit. Full results: nej.md/3LK9kst Editorial: Managing Asymptomatic Carotid Stenosis nej.md/482XjG1 @svinsociety
English
Diego González retweetledi

Back in Chile 🇨🇱I had a great experience at #SCCT2025 🇨🇦, a look at the present and future of cardiac imaging. Montreal ⚜️is also a beautiful city. I hope to return someday. #YesCCT
@Heart_SCCT @marzagod @AlemanaTemuco @medufro



English

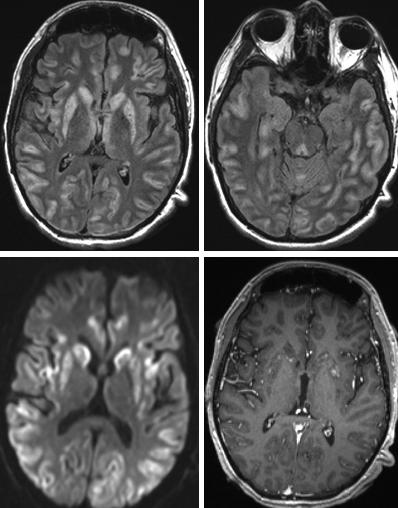
🔷35 y/o F w/ history of Li Fraumeni syndrome presents w/ intermittent left sided weakness and pain. The feeling is of heaviness, difficulty w/ grip, dropping objects and frequent falls. Episodes last for weeks to months. What is your diagnosis? 🧠
🎉Congrats to all the rad fellow matches today!!! 🍾
#Neurology #MRI #MedEd #medicine #neurosurgery #radres #futureradres #FOAMed @TheASNR


English

@daniel_gewolb TP53 mutation syndrome. I’d say multifocal GBM. Thanks for sharing
English

The Patient presented with recurrent episodes of loss of consciousness, DSA revealed extremely severe stenosis of the basilar artery. Under local anesthesia, a self-expanding drug-eluting stent was implanted via the radial approach. Postoperatively, the BA exhibited mild residual stenosis, and the patient's overall condition was satisfactory.
Long-term follow-up results are eagerly anticipated.


English
Diego González retweetledi

Understanding Brainstem Anatomy - A new Neuroradiology Video. Hope you like it! Link: youtube.com/watch?v=9CRYAn…
#MedEd #RadED #FOAMed #FOAMrad #radres #radiology

YouTube

English

@DocNavarrow Habría dicho meduloblastoma hasta demostrar lo contrario. Los astroblastomas ya son muy raros y más en la fosa posterior.
Español

Be honest!
Do you just say “thalamic infarct” and hope no one asks questions?
Or can you specify the thalamic vascular territories?
Do you know why the whole thalamus doesn’t infarct when you have a PCA infarct?
Answer: It’s supplied both by the PCA & PCOMM (ICA)!
Here are the thalamic vascular territories you NEED to know and HOW to remember them.
Tuberothalamic
From the PCOMM
Supplies the anterior thalamus
I call it the Top-o-the-thalamic to remember its at the top
Paramedian
Branch of the P1
ParaMEDIAN is MEDIAL, so it supplies the medial aspect
Posterior choroidal
Supplied by the posterior choroidal artery
Posterior choroidal is POSTERIOR—it supplies the back of the thalamus
Thalamogeniculate
Branch of the P2
Geniculate is by the GENU of the internal capsule, so it is lateral by the internal capsule
Now you know the thalamic vascular territories & you won’t have lie when it comes to these guys!

English

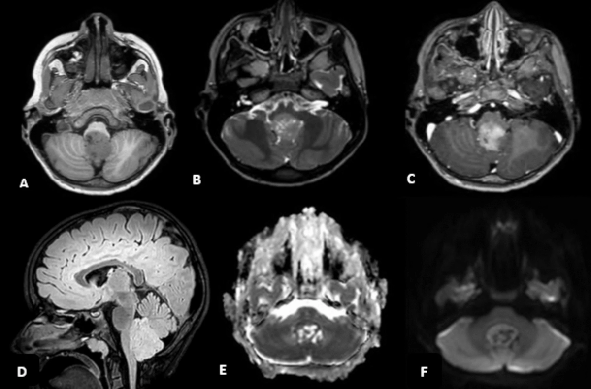
<What's your diagnosis?>
20 yo Male w/ recurrent neuro sx x12y:
Initial episode @ 8 yo → dx'd viral encephalitis
Recent: 5d GTC sz
Sx include: GTC sz, choreoathetosis, dystonia, hypotonia, apraxia, ataxia
All negative: LP, infectious/rheum w/u, mito panel, muscle bx
#Rdiag

English

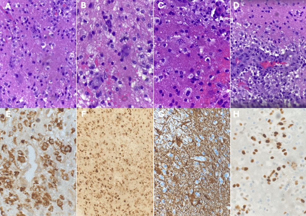
@Brandon_Beaber Glioblastoma until proven otherwise. It is a good example of why differential diagnoses exist. Perhaps spectroscopy would have provided more information
English

@daigaole Great case!
Do you continue with antiacoagulation or antiagregation?
English
Diego González retweetledi
Diego González retweetledi

Natural history of dolichoectatic vertebrobasilar aneurysms: a multinational study. A total of 11 centers from the EU, Japan, and the US shared their experiences. More to come!
@mtlawton @EWinklerMDPhD @vajkoczy @TheJNS thejns.org/view/journals/…
English

My attending once said, “If you don’t want to miss something, you have to know where to look for it!”
MCA aneurysms may occur at many branch points along the way, but overwhelming occur at the bifurcation (or trifurcation)
Interestingly, the right MCA is more prone to distal aneurysms, while the left MCA is more prone to proximal branch aneurysms
So look hard at the bifurcation bc you miss 100% of the aneurysms you don’t look for!

English

@DiegoRad91 Hola Diego! Lo informamos por correo a todos los que invierten a través de Stocks.
El broker de EE.UU. dio de baja el programa money market que generaba los intereses de la Billetera y los dólares se pasaron a un Bank Deposit Program, de mayor seguridad.
ayuda.racional.cl/es/articles/98…
Español

@RacionalApp Hola 👋🏼 ya no hay intereses por mantener dólares en billetera? No encuentro info
Español












