Sabitlenmiş Tweet
DrShivaಅಣ್ಣಾ
7.3K posts

DrShivaಅಣ್ಣಾ
@DoctorShiva007
journey is my destination /biker /kannadiga /doctor /MBBS (VIMS bellari) /MD /medicine (SMS Jaipur) now specialist M.O under Health & family welfare department
Karnataka, India Katılım Temmuz 2011
992 Takip Edilen490 Takipçiler

@DrRajeshG1 Yes sir ,, I have seen TMT done to patients with HB 7.2g
English

A few hours ago in casualty…
A patient walked in with chest pain.
ECG confirmed the worst, STEMI (IWMI) with complete heart block.
We did not waste a second.
Loading doses given.
Fluids started.
Inotropes on.
Cath lab and cardiologist alerted, 50 minutes away.
Everything was moving fast.
But sometimes it is still not enough.
We lost him on the way.
Moments like this remind me,
In acute coronary syndrome, time is not just muscle, it is life itself.
If you have chest pain, do not wait, do not ignore, do not self diagnose as gastritis.
Reach the nearest hospital immediately.

English

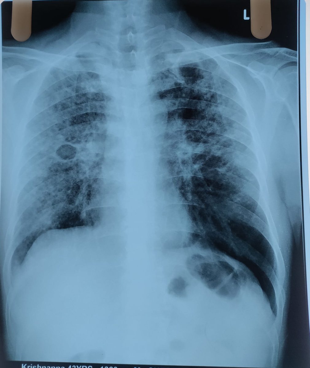
He walked into OPD with fever and cough… for one month.
He had been managing it, waiting, hoping it would settle.
Nothing dramatic at first glance.
But something didn’t feel right.
We moved quickly.
ESR was high.
Chest X-ray showed bilateral upper zone opacities… and a cavity in the right mid zone and left upper zone.
Now the story was clear.
Sputum sent for TrueNAAT.
Positive for TB.
All of this… within 120 minutes.
ATT started immediately.
Family advised screening.
Evaluated for other associated conditions.
One month of symptoms.
120 minutes to diagnosis.
TB doesn’t always shout.

English

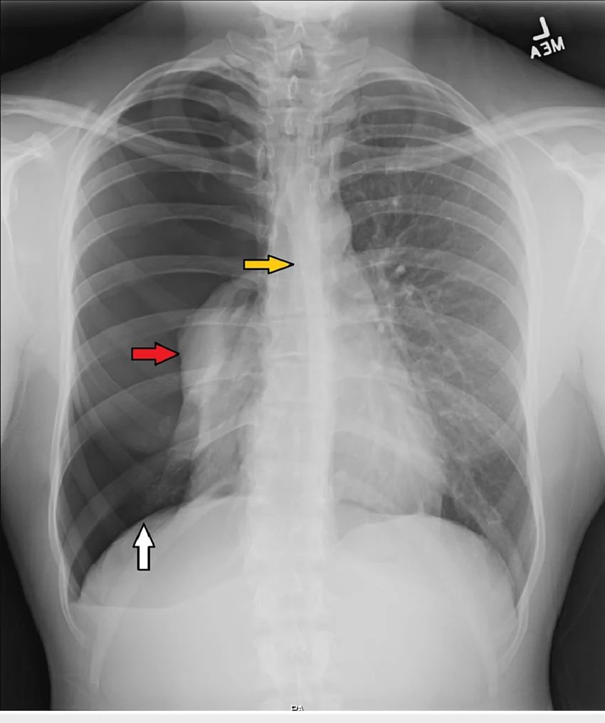
X-RAY QUIZ: Regarding this X-ray - the most likely diagnosis is…
A: Sarcoidosis
B: Mesothelioma
C: Pulmonary fibrosis
D: Thymoma
E: Primary bronchogenic lung carcinoma
Start Quiz bit.ly/3gU6LkX

English

Ice apple or tadgola is a nutrient-dense summer fruit that offers natural hydration n cooling properties, aids digestion due to high fiber content.
It is packed with vitamins B, C, potassium and minerals that support immunity, liver health, and weight management.
#SummerWells

English

Patient presents with acute onset dyspnea
Chest imaging findings ?!differential diagnoses ?!
#MEDHM

English

In rural India, women often come last when it comes to healthcare.
Recently treated a lady with Hb 2.7 g/dL.
She was unwell for long but brought very late.
We managed her with blood transfusion and IV iron.
In stable cases, we usually request family members to donate blood back to the blood bank.
But in this case, no one from the family came forward.
This is not just anemia.
This is silent neglect.
Women deserve timely care. Not delayed attention.

English

Annual Sri Rama Navami at our village.
There is something really special about Vijayawada and Guntur regions when it comes to rama navami.
Hanuman and rama temples are quite common and can see some liveliness here.
For us, our entire Tadepalli clan comes and we celebrate the kalyanam in our temple. This is followed by a small procession kind of thing to our Kula Devata - Poleramma. She is very fierce.
Often someone gets possessed by her and she would clearly express if she got satisfied or not.
English

@indiantrad No sir ,, primary PCI was done at NH shimogga ,, by Dr sharath
Indonesia

He came to casualty thinking it was just gastritis.
Burning chest discomfort, little uneasiness. Nothing serious.
But ECG showed anterior wall MI.
The difficult part was not diagnosis.
Convincing patient and family that it was a heart attack.
It took me 10 minutes to make them understand.
10 minutes that could have cost heart muscle.
In our country, many heart attacks look like:
• Gastritis
• Acidity
• Indigestion
If symptoms are new or not settling, please get an ECG.
Time lost is heart muscle lost.

English

@AAbbot52838 According to him you treated his gastritis with "unnecessary" stent😂😂😂
English

@DoctorShiva007 Very difficult at times….
Had a patient who would just not accept that he had an MI… even after showing him his TVD, and opening his LAD, he was convinced that he had ‘gastric issues’ and that his children unnecessarily got him to a cardiologist…
English

@DoctorShiva007 Any way to keep ecg machine at home just like bp n pulse machine ?
English

@DoctorShiva007 @KamathGurudutt Classic Acute pLAD occlusion (widow maker)
English

@bhavinif @KamathGurudutt Yes,, sometimes some patients don't follow the advice,, endup in casualty,,,
English

@DoctorShiva007 @KamathGurudutt And at times if ecg is normal but you know it's abnormal somewhere then u ask them to be in hospital for 24 hr observation,u will be labelled as money making doctor and if he goes home and dies then u are bad with ur knowledge. Irony of we doctors
English












