

Eva Wu
30 posts








And that’s a wrap for #vs2023 beautiful #bergen Norway 🇳🇴 Fun to rep @NASBSorg w/ @RansohoffProf @SivieroAgazziMD @ASamyYoussef @amirdehdashti @CIsurgeon @jacquesmorcosmd @Lucas_Carlstrom @PerisCelda @MichaelJLinkMD et al. @USFNeurosurgery @NeurosurgeryCNS Until Seoul #vs2027!

Great to catch up w some of my superstar former Fellows @NASBSorg #NASBS2023. Standing from youngest (2023) left to oldest (2001) right. The future of Skull Base Surgery is secure! @DrBaskaya #KarolynAu @GAZenonosMD @KhanNickalus #DavidAltschuler @MatthewSunMD @UMneurosurgery

LAST monthly zoomposium for 2022! Join us for a great session on #meningiomas #microsurgery #endonasal #genetics @PrevedelloDanny @nasbs @neuroonc @neurosurgery @CNS_Update @AANSNeuro @bipinchaurasia_ Register: miami.zoom.us/webinar/regist…




























#MorcosChallenge 22F w/sickle cell&bilat moyamoya now w/ transient LUE weakness. Neurointact. During STA-MCA bypass (1D2R), after sidetoside anastom to TM4&before endtoside to FM4 was done, there was intraop SAH&hyperemia. How do you handle this? #neurosurgery #MedEd @EvaWuMD






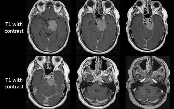
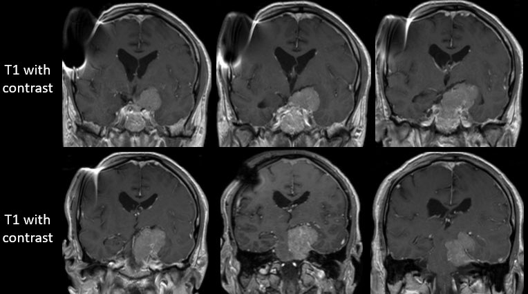
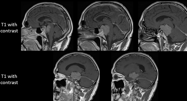
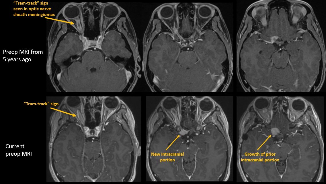
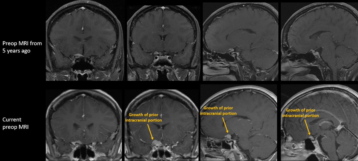
How would you manage this 42F w/ intracranial recurrence of optic nerve sheath meningioma initially biopsied at OSH 5 yrs ago. R eye blind, L 20/20, EOMI. Observation? Radiation? If surgery, approach/extent of resection? #Neurosurgery #MedEd #MedTwitter @EvaWuMD @TheJNS @WFNSHQ


