Fahad Alqahtani M.D.
651 posts

Fahad Alqahtani M.D.
@FSQMD
Interventional and structural cardiologist. Trained @Vanderbilt/UKy/WVU. Clinical outcome researcher. King Fahad Medical City- Riyadh
Riyadh Katılım Şubat 2014
0 Takip Edilen548 Takipçiler

@FSQMD Yes. thought it could be closed with 1, ADP 2 based on initial 📷. When this ❌work, I used an AVP 4 and left a V18 buddy (outside of the sheath so a 2nd guide could be advanced next to the 1st plug, if needed). 8mm AVP 4 sealed well despite being smaller that the ADP 2s 😅🙏
English

Comparison of Intracoronary Epinephrine and Adenosine for No-Reflow in Normotensive Patients With Acute Coronary Syndrome (COAR Trial) ahajournals.org/doi/10.1161/CI…
English

@EleidMack @adnanalkhouli @GilbertTangMD @ChetRihal @hahn_rt @JaeKOh2 MS with elevated V wave and LAP
English

@DrPeterPollak @GreggWStone @aelsab @BrianShapiroMD This is valid, but a slightly more accurate description would be an "investment in misery that *may* pay dividends in durability". And that "may" makes all the difference for patients who are weighing the pros and cons.
English

Our viewpoint "Left main revascularization: an evidence-based reconciliation" publ in EHJ. Jointly authored by a cardiac surgeon, IC & general cardiologist, it is time to use the totality of data & common sense to move forward in the best interests of pts. academic.oup.com/eurheartj/adva…


English

@CerrahpasaC @DrRajeshG1 @ShariqShamimMD @ANazmiCalik @MarcoJe80135689 @evandrofilhobr @aspergian1 @jedicath @PCRonline @mmamas1973 Nitro then IVUS- decide based on IVUS
Eesti

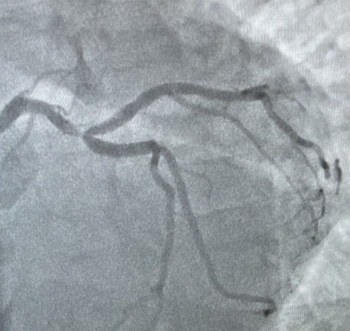
47 years old male, anterior STEMI? What is your strategy? Direct stenting? @DrRajeshG1 @ShariqShamimMD @ANazmiCalik @MarcoJe80135689 @evandrofilhobr @aspergian1 @jedicath @PCRonline @mmamas1973 #RadialFirst
English

@mandeep_mayo No thromboectomy. Would love to see what you end up doing?
English

@SyedYNaqvi1 Voting for rota- seems heavily calcified to try NC or advance shockwave
English

7F 3DRC guide. Gladius wire over a Corsair microcatheter buried into the calcified ostial RCA. Upfront rota or shock or NC balloon? #CardioTwitter #MedTwitter
English


@mohdshehri2 كذلك احضار جهاز البيت والمقارنة مع قراءات العياده للتاكد من صحه القراءت.
العربية

@jefftylermd Nicely done. Nice step-wise approach for a very complex and challenging case. Congratulations
English
Fahad Alqahtani M.D. retweetledi

@SCAI releases new document on "Best Practices on Percutaneous Transaxillary Arterial Access and Training."
doi.org/10.1016/j.jsca…

English

@SachinGoelMD @ShariqShamimMD @aspergian1 @olcayaksoymd @gtheodosmd @evandrofilhobr @AlpeshShahMD @HMHCardioFellow @SVRaoMD @djc795 LCX/OM? Different LAD Ostia?
Eesti

Stent strategy here ? @ShariqShamimMD @aspergian1 @olcayaksoymd @gtheodosmd @evandrofilhobr @AlpeshShahMD @HMHCardioFellow @SVRaoMD @djc795

English

A History of the Development of Cardiology as a Medical Specialty - American College of Cardiology acc.org/latest-in-card…
English








