GLW Medical Innovation
13 posts

GLW Medical Innovation
@GLWMED
GLW is an innovation-driven, commercial-stage, orthopedic technology company focused on developing see-through implants and creative manufacturing solutions.
USA / Germany Katılım Mayıs 2021
9 Takip Edilen9 Takipçiler

Proud to be at #AOFAS Winter Meeting this week! What an honor to hear all the positive feedback on our upcoming full market release of Apollo Ankle Fracture Plating System.
🚀 3, 2, 1… launching next week, Apollo AFX Plating System, case-ready, sterile and on-demand available!

English

❇ Excited to share that GLW Medical Innovation is now Medical Device Single Audit Program (MDSAP) certified! 🚀 MDSAP is a program that allows a single audit of a medical device manufacturer’s Quality Management System (QMS).
Learn more: glwmed.com/raqa_complianc…
#QMS #MDSAP

English

GLW approach creates real solutions that assist each surgeon in the delivery of single-use turnkey instrument kits, by pairing your medical device implants with customized procedure specific designs.
Visit: glwinstruments.com to start working with our team
#Orthopedics

English

GLW Instruments creates real solutions that assist each surgeon in the delivery of single-use turnkey instrument kits, by pairing your medical device implants with customized procedure specific designs.
Learn more: glwinstruments.com

English
GLW Medical Innovation retweetledi

Here is a new case by Dr. Jan Szatkowski (@orthotraumamd) and @IU_Health.
ANKLE PAIN 9 MONTHS S/P OPEN ANKLE FRACTURE-DISLOCATION IN 33M
How would you manage this #orthotwitter?
Vote on this case for CME: orthobullets.tiny.us/yck7hwem




English
GLW Medical Innovation retweetledi
GLW Medical Innovation retweetledi
GLW Medical Innovation retweetledi

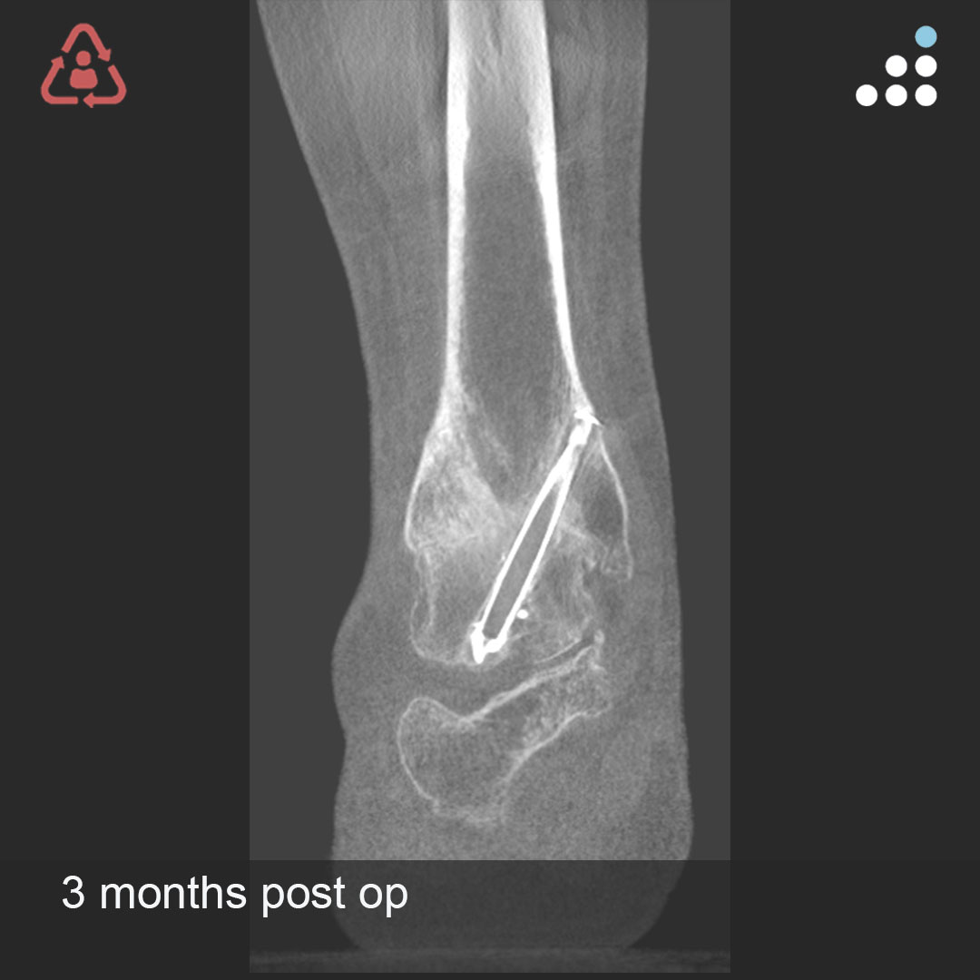
Here are intra-op & post-op images of yesterday's case by Dr. Jan Szatkowski(@orthotraumamd) & @IU_Health.
ANKLE PAIN 9 MONTHS S/P OPEN ANKLE FRACTURE-DISLOCATION IN 33M
Do you agree with the treatment? Why or why not?
Comment & keep the great conversation going!
#orthotwitter



English

Proud to be partnering with Solvay to realize the potential of ORTHOLUCENT technology -- and develop the fixation devices of the future!
#Orthopedics #OrthoTwitter #FootAndAnkleSurgery #Orthopaedics
Solvay@SolvayGroup
Our Zeniva® PEEK resin was chosen by Carbon22™, a @GLWMED company, for its new Creed™ Cannulated Screw System for foot and ankle surgery. Read more: bit.ly/3bwNd3O
English








