German Mendoza Revilla

534 posts

German Mendoza Revilla banner
German Mendoza Revilla

German Mendoza Revilla

@GermanMenRev

Cirugía Ortopédica y Traumatológica en Hospital Universitario Lucus Augusti. Fellow en impresión 3D del 3Dprintlab del Hospital Universitario de Basilea

España Katılım Ekim 2019
312 Takip Edilen224 Takipçiler
German Mendoza Revilla
German Mendoza Revilla@GermanMenRev·
@peravi Y ser médico justificaría el acto ? No entiendo para que se le ocurre enseñar el carnet. Sin sentido y sin cerebro.
Español
0
0
1
46
Pao Peralta 🐶 Rescatando Perritos 🇵🇪
Este médico abandonó a 8 recién nacidos en una veterinaria de Surco. Lo más indignante no es solo el abandono, sino la justificación: “ustedes dan en adopción”. Ese tipo de discurso podría venir desde la ignorancia, pero no de alguien que es profesional de la salud. En el video se ve claramente cómo, cuando lo enfrentan, reacciona con agresividad hacia el personal veterinario. Es evidente que cree que por tener dinero o un título puede deshacerse de vidas como si nada. Y lo más preocupante aún es el ejemplo que está dando frente a su propia familia, que estaba presente en ese momento. Este tipo de conductas reflejan una total falta de empatía y responsabilidad. @CMP_PERU
Pao Peralta 🐶 Rescatando Perritos 🇵🇪 tweet media
Español
195
1.4K
2.4K
126.8K
Jan Szatkowski
Jan Szatkowski@orthotraumamd·
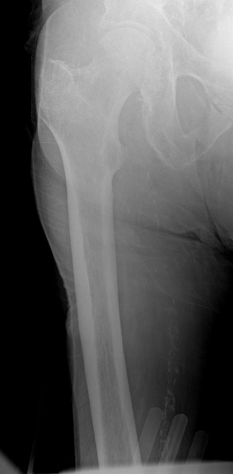
An 86-year-old male after a low-energy fall onto the right knee with a periprosthetic distal femur fracture above a TKA. These cases are getting more common, and the real challenge is not whether to operate—it’s choosing the construct. Nail? Plate? Dual plate? Nail-plate combo? Or do you skip fixation and replace it? For me, the decision tree starts with 3 questions: 1. Is the femoral component stable? 2. Is the femoral box actually nail-compatible? 3. Is the distal segment/bone stock strong enough for single-implant fixation? What would you do here? @orthobullets @medbullets orthobullets.com/Site/Cases/Vie…
Jan Szatkowski tweet mediaJan Szatkowski tweet mediaJan Szatkowski tweet media
English
15
2
52
4.8K
German Mendoza Revilla
German Mendoza Revilla@GermanMenRev·
@nickstrassermd Si con rx en carga el espacio medial CIERRA ➡️ SER IVA ( lig deltoideo profundo intacto) ➡️ tratamiento conservador.
Español
0
0
0
13
Nick Strasser MD ⚓️
Nick Strasser MD ⚓️@nickstrassermd·
Stable ankle fracture with medial clear space widening — but the patient walked in wearing regular shoes. Would you operate or treat functionally? Let’s discuss the nuances of ankle fracture stability.
English
23
6
60
11.5K
LEAPTRADER
LEAPTRADER@LEAPTRADER_·
Investing $60k in $TSLA instead of buying the Model S would have made you generational wealth🤯
English
73
129
2.4K
721.3K
PERÚ SIN FILTRO TV
PERÚ SIN FILTRO TV@Perusinfiltrotv·
‼️Trabajador de EsSalud le falta el respeto a un adulto mayor que solo pedía atención. La escena genera rechazo total en redes sociales. #EsSalud #AdultoMayor #peru
Español
2
1
2
86
German Mendoza Revilla
German Mendoza Revilla@GermanMenRev·
@JulioTumbatodo @rmapalacios A ver tumbatodo. Ella dice que 10% mensual es estafa , y yo , que estoy de acuerdo con la premisa , digo que el 10% solo podría ser ANUAL. Cual es el error ? No la contradije 🤦
Español
0
0
0
29
Rosa María Palacios
Rosa María Palacios@rmapalacios·
Que pena por los 160 estafados, pero chicos saquen aprendizajes de esto: nadie te paga 5% a 10% de interés mensual. Tiene que ser una estafa. Por eso es tan importante la educación financiera en las escuelas. Nunca, nunca entreguen su dinero a personas que no están registradas en la @SBSPERU
Cuarto Poder@Cuarto_Poder

#CuartoPoder Tiktoker en el centro de la polémica acusado de estafa, por Alonso Dávila Un tiktoker es denunciado por estafa y apropiación ilícita. Más de 160 personas afirman haberle transferido dinero por supuestas inversiones americatv.com.pe/noticias/actua…

Español
38
263
1.6K
148.7K
German Mendoza Revilla
German Mendoza Revilla@GermanMenRev·
@AlciDVS @rmapalacios A ver , nos falta compresión de lectura. RMP dice que 10% mensual es estafa , y yo estoy de acuerdo, y respondo que sólo te podrían dar 10% ANUAL ! Donde esta el error ?
Español
0
0
0
50
Cruz Blanca
Cruz Blanca@Crvz_Blanca1901·
Sobre el puente
Español
43
64
188
10.7K
José Barba Caballero
José Barba Caballero@JBCPERU·
De entre todos los autodenominados #GeneraciónZ, este sujeto es el más sobresaliente. Saquen su cuenta.
Español
190
327
987
36.1K
Modern History
Modern History@modernhistory·
1980s girls. Not fat, not covered in tattoos, no phones. What happened?
Modern History tweet media
English
12.6K
6.3K
78.2K
8.2M
Pedro Castillo Terrones
Pedro Castillo Terrones@PedroCastilloTe·
¡Pueblo peruano! El 7 de diciembre de 2022 me vacaron ilegalmente sin alcanzar los 104 votos que exige la ley. Hoy, con más de 104 votos, se aprobó la admisión de 4 mociones para vacar a la usurpadora Boluarte. Cuando se apruebe dicha vacancia también con 104 votos o más, se producirá un vacío de poder, momento en el que corresponderá derogar la resolución 001-2022-2023-CR con el que se me vacó inconstitucionalmente y, por lo tanto, se debe restituir mi mandato. ¡La doble moral del Congreso debe terminar! ¡Urgente, vamos todos al Congreso!
Pedro Castillo Terrones tweet mediaPedro Castillo Terrones tweet media
Español
3.3K
2.8K
9K
774.7K
Canal N
Canal N@canalN_·
#EnVivo Dina Boluarte: Un paro de 24 horas, de 48 horas, hermano transportista, no va a resolver el problema. Todos tenemos que sumar Encuentra más información en la WEB ► bit.ly/webcanaln
Español
521
79
251
480.4K
German Mendoza Revilla
German Mendoza Revilla@GermanMenRev·
@jesusverdeL Pero es técnicamente nepotismo , si solo es su enamorada y no está casado con su hijo ?? Se que sigue en falta , pero desde el punto de vista legal , creo que se salva la vieja.
Español
0
0
0
2
Alerta News 24
Alerta News 24@AlertaNews24·
🇵🇪 | Presidente peruana Boluarte: "Un paro no va solucionar nada, la criminalidad en el Perú no es mi culpa, en otros países la delincuencia es mucho peor".
Español
1.2K
511
2.8K
417.1K
Trump Girl
Trump Girl@TrumpGirlLove·
This makes me sick! They should all be fired. 👇👇
English
2K
3.1K
13.8K
5.3M