Sean Golden retweetledi
Sean Golden
144 posts

Sean Golden
@Golden_IR
IR attending @UWiscRadiology. Hopkins IR/DR alum.
Madison, WI Katılım Mart 2014
295 Takip Edilen365 Takipçiler
Sean Golden retweetledi

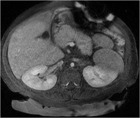
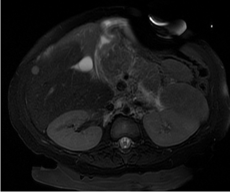
#SIOCaseSpotlight: 15-month-old with PMHx of prematurity and VACTERL was incidentally found to have a liver mass on US. AFP was 192 ng/mL (normal <8.8). MRI showed an arterially enhancing lesion in segment 6 measuring 8 mm with washout on portal venous phase.




English
Sean Golden retweetledi

Hard to find a nicer rad bunch to hang out with at #ARRS24!
#LifeLongLearning #Grateful
@ARRS_Radiology
Dr M Parker & lovely wife Cindy, @Golden_IR , and Dr A Bezuidenhout @UWiscRadiology @BIDMCRad @VCURadRes


English
Sean Golden retweetledi
Sean Golden retweetledi

Have a question you want to ask our panelists re: radiology as a specialty or applying to the field? Submit your question here and we’ll do our best to answer it live! forms.gle/zcGN5TZ6SZEupd…
English
Sean Golden retweetledi

Less than one week till the @ARRS_Radiology Medical Student Symposium! Register here: arrs.org/studentsymposi…. You’ll have to sign up for a free ARRS online account before you register - only takes a few minutes. @RSNA @SIRRFS
English

@evascularrounds @bhavinj @SRajesh_IR @No_cut_surgery @keithppereira @lenonjdee @_backtable @Dr_AkshayBaheti @SandeepBaglaMD @iRadRock @TomG_IR @Watts_IR @IrShaileshgupta @vascularIR Agreed, I would go for #4. Large enough to get adequate tissue, peripheral enough to limit risks. While I often like anterior approaches to enable supine positioning, the breast tissue, IMA, and small nodule size make #1 a little more complicated.
English

Reference for CT guided lung lesion biopsy. Nodule preference for biopsy and why?
Nodule 1, 2, 3 or 4?
@bhavinj @SRajesh_IR @No_cut_surgery @keithppereira @lenonjdee @_backtable @Dr_AkshayBaheti @SandeepBaglaMD @iRadRock @TomG_IR @Watts_IR @IrShaileshgupta @Golden_IR @vascularIR




English

@GreggKhodorov @WarbyParker @Nike @zennioptical Check out Kemper Medical. They make Ray Ban Wayfarer and Clubmasters with lead
English

How long before someone disrupts the radiation safety/lead glasses market? @WarbyParker @Nike @zennioptical What even are these?! I’m trynna look stylish in the angiosuite!

English

@JacobFlemingMD @dougbeall @neuroradiology @AaronFrittsMD @ReedOmary @MolanoBayona @DoctorCliffyy Congratulations, Jacob. We’ll miss you in VIR but I’m happy that you discovered the path that best aligns with your personal and professional goals!
English

A few days ago, I decided I will no longer pursue VIR. I'm focusing on MSK IR/spine 100%. Too many thoughts for a tweet; check out my blog and let me know your thoughts!
tinyurl.com/mus5n6k5
@dougbeall @neuroradiology @AaronFrittsMD @ReedOmary @MolanoBayona @DoctorCliffyy
English

RIP Lost Lake. You will be missed 🍍🍌🍹. chicago.eater.com/2022/1/7/22872…
English

Looking forward to another year on the Governing Council with a great team
SIR RFS@SIRRFS
We are proud to announce the new SIR RFS Governing Council for 2022-23! #IRad #IRadRes #RadRes @SIR_ECS @SIRspecialists @navdullet @DO_Angio @briancovellomd @DR_Radz @DoctorChidubem @Daryl_Goldman @TarigElhakim @AyahMegahed @flourdelisa @LynseyMaciolek @Golden_IR @gargtushark
English
Sean Golden retweetledi

We are proud to announce the new SIR RFS Governing Council for 2022-23!
#IRad #IRadRes #RadRes
@SIR_ECS @SIRspecialists
@navdullet @DO_Angio @briancovellomd @DR_Radz @DoctorChidubem @Daryl_Goldman @TarigElhakim @AyahMegahed @flourdelisa @LynseyMaciolek @Golden_IR @gargtushark

English

@PrometheusLion Are you releasing a new edition of volume 2 and war machine as well? Got some book fund cash to burn
English
Sean Golden retweetledi

Sean Golden retweetledi

We are excited to announce our Fall/Winter Symposium with THE @sureshmukherji on December 16th, 2021 at 7pm EST! All are welcome to join us on Zoom for a fantastic talk on Career Pathways for Radiologists! #MedEd #radvocacy

English

Med students - join us at the Hopkins IR symposium this Saturday! Free food + great talks + hands-on simulators. Registration link below.
Alex J. Solomon, MD@alexjsolomonIR
Come one, come all!!! @BudLiddell @RyanWEngland @NimaHNejad @Hopkins_Rad @JohnsHopkinsIR @Golden_IR @AndrewKolarich @NatalieRingMD
Baltimore, MD 🇺🇸 English

To “show” them what IR really is. They loved it and seem to have a much better understanding of IR now. Any other @SIRRFS trainees have strategies for sharing IR with family? Here’s that link: youtu.be/KjqRovBAaU8

YouTube
Wisconsin, USA 🇺🇸 English

The holidays often present the fun but challenging task of answering “what is interventional radiology?” for curious family members who want to understand what we do. This year, I tried using my Oculus virtual reality headset and the @ZHaskal @JVIRmedia VR TIPS case (link below)
Wisconsin, USA 🇺🇸 English





