Lenon D'Souza, MD
106 posts

Lenon D'Souza, MD
@lenonjdee
Endovascular & Interventional Radiologist
Mangalore, India Katılım Temmuz 2010
287 Takip Edilen228 Takipçiler

Brahma kamal plant is considered as a sacred plant that brings happiness, good luck, prosperity and positive energy as per Vaastu! Whatever it is, but it brings lots of joy to Witness this annual nocturnal event..What a unique wonder of the nature #BrahmaKamala #Bloosm




English

@GreenDay @billiejoe Ewin DSouza 13 year old boy who sings and plays guitar is your biggest fan! He’s at Lollapalooza… Get him on stage!
English
Lenon D'Souza, MD retweetledi

Venaseal: Best treatment of Varicose veins currently. But @NICLofficial is harassing patients already suffering from Varicose veins & its complications by rejecting claims of genuine cases citing their ignorance about Venaseal. @FinMinIndia @ISVIRIndia @MoHFW_INDIA @PTI_News
Venous News@VenousNews
#TheVEINS24: Manj Gohel looks at secondary outcomes from the RCT comparing VenaSeal to surgical stripping through six months in the Spectrum program @TheVEINSatVIVA. @VIVAPhysicians
English

@iRadBIR_Chennai @SRajesh_IR @karananandpara @iRadRock @keithppereira @ChengaziMD @Murthy_CS_ @PulkitRangarh @drochohan Or it may be stenosis .. but the portal vein must’ve already taken over liver supply
English

@iRadBIR_Chennai @SRajesh_IR @karananandpara @iRadRock @keithppereira @ChengaziMD @Murthy_CS_ @PulkitRangarh @drochohan I would still trap the aneurysm via SMA. Stenosis is distal to the GDA stump. So it should largely make no difference. It may be vasospasm which may get relieved.
English

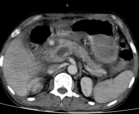
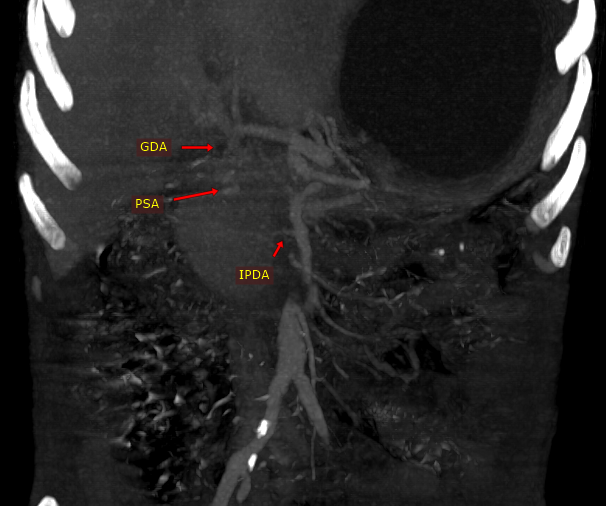
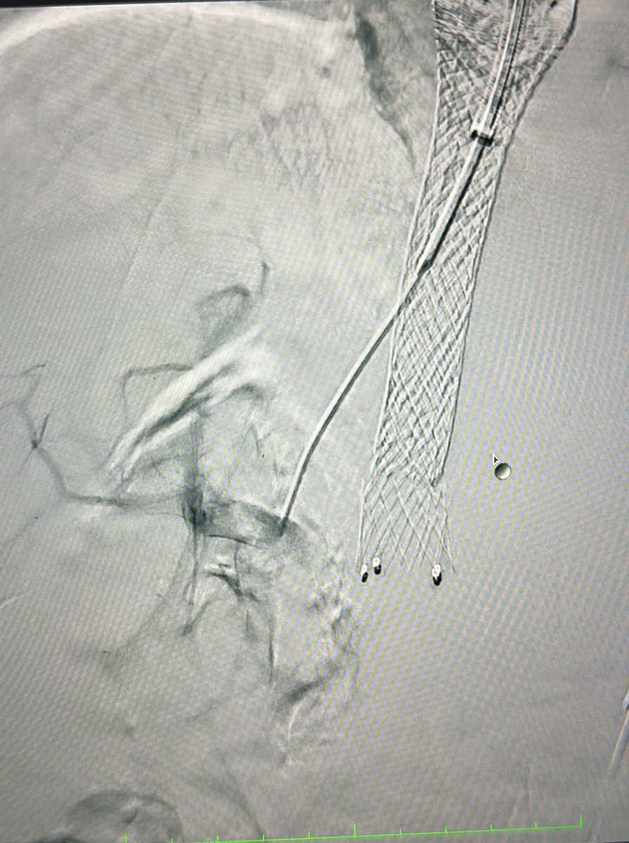
A straightforward GDA Pseudoaneurysm embolization. But Angiogram looks like this, how would you proceed further? #iRad #MedTwitter @SRajesh_IR @karananandpara @iRadRock @keithppereira @ChengaziMD @Murthy_CS_ @lenonjdee @PulkitRangarh @drochohan @ChengaziMD




English

@karananandpara @BhaveshPopat7 @SIRRFS @SIR_ECS @CLIfighters @Vascupedia_com @VascularForum @vascularIR @Vascular_India @SIRspecialists @cirsesociety @IVISymposium @radiology_rsna @Applied_Rad Excellent result Karan. If I was you, I would’ve done the peroneal also, only for X 😃
English

Case 47: with @BhaveshPopat7
.
CLI; great toe wound; long seg CTO ATA & PTA; antegrade crossing 4fr support cath + progreat and fielder combo f/b plasty 2.5mm; images 👇
.
#irad #MedEd #CardioTwitter #MedTwitter #radres @SIRRFS @SIR_ECS @CLIfighters @Vascupedia_com @VascularForum



English

After @Nithin0dha stroke, decided to do a Stroke awareness Q&A with readingroomindia. Hope you find this useful. And if you do, share this so that you may help / save someone’s life some day:
youtu.be/Xl0niSuq-cc?si…

YouTube
English

@karananandpara @nihardesai7 @PanktiMehta24 @VascularForum @_backtable @CLIfighters @AmputationSuck @vascularpodcast @VascularSVS @iRadRock @keithppereira @Guiro_IRad @radiology_rsna @Applied_Rad @SriniTummala Yeah, that’s secondary Raynauds
English

@lenonjdee @nihardesai7 @PanktiMehta24 @VascularForum @_backtable @CLIfighters @AmputationSuck @vascularpodcast @VascularSVS @iRadRock @keithppereira @Guiro_IRad @radiology_rsna @Applied_Rad @SriniTummala Migraine- ergot induced ischemia
English

Case 36: Spot diagnosis
.
54/F; diabetic, HTN, migraine
2D echo: normal
Clinical image 👇
Aortogram - no plaque/aneurysm
Doppler - normal triphasic flow ATA/DPA/PTA
.
#MedTwitter #CardioTwitter #MedEd #MedX #clifighters @nihardesai7 @PanktiMehta24 @VascularForum @_backtable


English

@AeshaPatel_1225 @AbhiKumar47 @RutgersIR @kmadass @JohntheLab @DrViolari @JazmatiTarek @VIR_RUSH I’ve ordered the book out here in India. Looking forward to going through it.
English

Full circle moment: When the guy who got you originally interested in IR as a med student is now an author in your limb preservation textbook. Rutgers IR Reunion in Chicago with everyone's favorite @AbhiKumar47



English

@theliverdoc As an interventional Radiologist and fellow Health care professional, I’m ready to contribute financially / by any other means. Please do let me know.
English

So the State Government Ayurveda Drugs Controller has initiated an investigation into me and peer-reviewed published works on Ayurvedic herbals damaging the liver, based on complaints from Private Ayurveda Medical Practitioners Association.
They have two sets of complaints:
1. That I am trying to malign Ayurveda and Ayurvedic practice through a systematic "online disinformation" campaign without any "real evidence."
2. That the toxicity and hazardous analytical reports that I share online and also as part of peer-reviewed research are fake/ fabricated.
I will cooperate fully with this investigation.
But it seems bizarre that I am the one getting investigated, instead of the Ayurveda manufacturers and their hazardous products.
I am the one getting investigated, when Ayurveda practitioners are selling untested and unregulated products to treat diabetes, put up advertisements on "herbs to cure cancer," and mislead people about "curing cirrhosis" with ancient herbal detoxes.
The Ayurveda Drugs Controller has already cleared these products (with due dilligence) which me and my team has further identified to contain toxic ingredients and chemical contamination - at the consumer level. None of these Ayurveda products were brought randomly by me or my team, but were given to us by families/patients who were negatively affected by it.
When I wrote to the Prime Minister's Office regarding the 10s of 100s of rising cases of Giloy herb liver injury in India, there was absolutely no investigation initiated, and a Homeopathy practitioner in the Central Ayush Department sent me an official response on behalf of saying Giloy herb was used since 2000 years ago and so it is safe.
x.com/theliverdr/sta…
These are the same people who are "investigating" clinical researchers like me, striving to improve public health, for bringing out the truth regarding untested and unregulated "so-called" health products in the market.
Like I said, I will fully cooperate with this investigation, and I look at this as an opportunity to showcase incompetence and blind promotion from the Ayurveda "healthcare industry" that is harming the public. I am not sure if they are seriously considering any "effective" action on the Ayurveda "medicines" or if they are looking to only "somehow discredit" me and my teams work.
But it is also exhaustingly frightening that India is not conducive for promoting realistic public health and a lot of it is under the control of alternative medicine pharmaceuticals mafia under the garb of tradition and culture, and a regulatory machinery willing to dance to their tunes at the outset.
Not sure how long I can go on with this kind of work, because the time spent by me on these wasteful responses to State-supported lame complaints is eating into my clinical practice and academic work, impacting my patients and my clinical research.
The Ayurveda practitioners can afford to do this now because they have the resources to go against the one person rattling them and their "deceptive" health industry. Imagine if there were a few more doctors like me, doing this in India. Imagine that impact. It would have been terrifyingly good for the people.


English

@somubetageri @pparikhxr @keithppereira @kmadass @PulkitRangarh @SRajesh_IR @taraprasad TIPS here would probably accelerate lung metastasis. Anyway, do keep us posted about the follow up.
English

@pparikhxr @keithppereira @kmadass @PulkitRangarh @SRajesh_IR @taraprasad Agreed about the option you told. Will TIPS not help then? He has vertebral mets. Lungs are clear.
English

@somubetageri @keithppereira @kmadass @PulkitRangarh @SRajesh_IR @taraprasad This was not a good idea. Should’ve just stuck the portal vein percutaneously and embolized. Interested to see the next chest CT.
English
Lenon D'Souza, MD retweetledi

👀Politicians around the 🌍should speak on access to Mechanical Thrombectomy like this! Thank you @neill_bob #WTD2023
@SVIN_MT2020 @dyavagal @CoryBooker @giselefetterman @CDCgov @SurviveStroke @TheStrokeAssoc @WStrokeCampaign @ESOstroke @brainconferenc1 @svinsociety @SNISinfo
English
Lenon D'Souza, MD retweetledi

lot of patients requiring Interventional Radiology treatments under Ayushman Bharat are being refused as we are told that those codes are still not implemented.Requesting Hon’ble Health Minister to kindly intervene @mansukhmandviya @OfficeOf_MM @AyushmanNHA @PMOIndia @ISVIRIndia
English

@iRadNishanth @keithppereira @ISVIRIndia @iRadBIR_Chennai @karananandpara @SRajesh_IR @iRadRock @SIRspecialists @cirsesociety Atleast 9 L of ascites was there. Severe hypoalbuminemia. We drained 7 under albumin cover. But there liver was slightly deficient along the right lateral surface. We decided to do it TransJugular to keep it as safe as possible.
Manually bent the Chiba to get the curvature.
English

@lenonjdee @keithppereira @ISVIRIndia @iRadBIR_Chennai @karananandpara @SRajesh_IR @iRadRock @SIRspecialists @cirsesociety Nicely done.
Did you use Chiba needle through TIPS metal cannula or manually bending the Chiba needle to get the required curvature?
If ascites could be drained (under Albumin cover), Percutaneous Transhepatic would be possible as stent is easier to visualise under USG.
English






