Jaclyn Rudzinski, MD
2.8K posts

Jaclyn Rudzinski, MD
@JLRudzinskiMD
AP CP cytology boarded pathologist | BSWH hospital laboratory medical director | Posts are so I remember the lesson | #surgpath #cytopath
Katılım Kasım 2019
2.5K Takip Edilen1.5K Takipçiler

@greg16676935420 Head straight for the restroom whether you have to go or not
English
Jaclyn Rudzinski, MD retweetledi
Jaclyn Rudzinski, MD retweetledi

I haven’t been in San Antonio for a while, I forgot how great this Riverwalk is. #uscap2026 is in a prime location!

English
Jaclyn Rudzinski, MD retweetledi

#GIPath #Surgpath #Pathresidents
#Pathrwitter
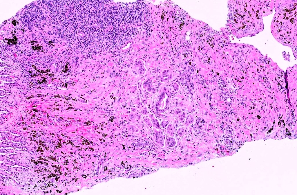
70 year old man with a small bowel biopsy. Take a look, cast a vote, and read for some discussion slides.


English

1st grade assignment, where would you put car 🚗
* the family car was in a collision ( minor, thankfully)
pov your dad found a lease promotion for used @Tesla model 3

English

@shivon It is a little bit squishy from baby fat and sticky from breakfast
English

@Codie_Sanchez Both
You need to be able to think top down and bottom up
English

The older you get, the more you realize luck is just exposure.
If you sit in the same chair, same routine, talking to same people… nothing new happens.
You have to touch the world to win.
• Talk to strangers
• try a new coffee spot
• post on social
• Start a side hustle
The world rewards motion.
You don’t find opportunity sitting still.
You bump into it.
English
Jaclyn Rudzinski, MD retweetledi

Invasive Urothelial Ca, micropapillary subtype invading lamina propria. Even without detrusor invasion, recognizing this morphology is critical because it may prompt consideration for early cystectomy.
Subtle architecture, major clinical implications.
#GUpath

English
Jaclyn Rudzinski, MD retweetledi

@slusagar True. Recently the concept hammered into my head is check the urothelium in prostate chips, don't miss CIS. :)
English

@morganhousel @thekriskay Thanks, Morgan. Genuine ty
We are taking other things seriously RN like being an excellent wife, mom, doctor
English

Salivary gland cytology.
Yes to including a differential diagnosis in the comment section for a SUMP case.
Dr. Nishino
#pathX

English

A comment for on-site adequacy w/r/t ancillary studies that nicely explains a limitation of ROSE (bottom left).
"Adequate material for preliminary impression.
Adequacy of material for ancillary studies cannot be determined on-site."
Dr. Sara Monaco
#pathX

English
Jaclyn Rudzinski, MD retweetledi

Disseminated histoplasmosis, cytology, BAL specimen, pap stain #pathology #pulmpath #pathbugs #crittersontwitter #cytopath
In lung specimens, this morphology is a surrogate for disseminated disease
pubmed.ncbi.nlm.nih.gov/24054723/

English

Micropapillary (pic) and solid patterns are considered poorly differentiated in lung adenocarcinoma.
Subtypes generally correlate with a higher grade, more aggressive clinical course compared to other patterns -- like lepidic or acinar.
#pathX

English










