Joe Wilson, MD retweetledi

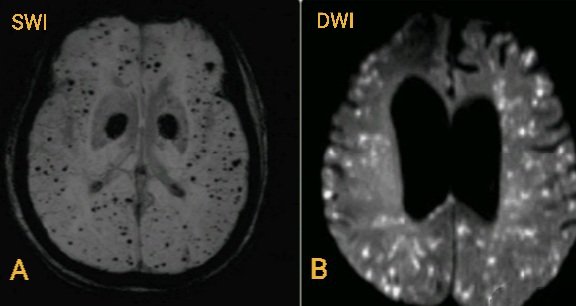
#MCWNeuroradBTW 100: Right facial palsy and vertigo
Last quiz of this academic year. 2022-23 Winners🏆 will be announced soon!!
Another short 'coffee-time' video and a post-test quiz! Watching the video will teach you about the case and give you the answer to the quiz!
Submit post-test answer@ mcwisc.co1.qualtrics.com/jfe/form/SV_9y…
#radres #MedEd #MedTwitter @TheASNR @ARRS_Radiology @BSHNI_UK @RadDiscord @MCWNeurorad @ShivaprakashBH4 @RamVaidhyanath @aaronrutman @HalmansourMD @PhilipRChapman1 @SalmanQureshiDr @dhairyalakhani @LoaiAker @WmOBrienDO @RyanBPetersonMD @drmanasiarora @jared_muench @NandiGuruvaiah @vidya555sankar @draditichauras1 @FatemehDst @FatimaElahi21 @thecortexclub @NColemanMD @nthlgllgr @JudyGadde @drharunyildiz @aryanhemani15 @nirmalregency @JordiRoldanB @samrad77 @DarrenONeuroRad @APKleinNeurorad @DrAntariksh @bulentaslan99 @bdoop3210 @Dhruv15Patel @Aanch09 @saspist @RMaffeiLoureiro @iasepulveda @AustinWheelerMD @OGdukeneurosurg @LorenzoPinelli @FeliceDArco @drjengillespie @learnneurorad @ujjwalagarwalmd
English














































