Sabitlenmiş Tweet
JASE
4.6K posts

JASE
@JournalASEcho
JASE brings physicians & sonographers the latest clinical & scientific info on use of cardiac ultrasound #echofirst @ase360
Durham, NC Katılım Temmuz 2011
39 Takip Edilen7.2K Takipçiler
JASE retweetledi

🫀NEW GUIDELINE🫀
Read our newest #ASEGuideline, "Recommendations for the Identification and Mitigation of Cardiac Ultrasound Artifacts!" bit.ly/4tKDSvf

English
JASE retweetledi

We've released a #new State-of-the-Art Review, "Left Atrial Strain in Pediatric Cardiology: Evidence to Date and Future Directions."
Read our @JournalASEcho article: bit.ly/3OvhqHi

English
JASE retweetledi

For this @JournalASEcho report, we sought to validate right ventricular stroke volumes and tricuspid regurgitant volumes measured by 3D echo.
Then we compared the quantitative metrics used to assess TR severity. Read our JASE report: bit.ly/4cgMZh4

English
JASE retweetledi

In ASE’s peer-reviewed @JournalASEcho, members address clinical challenges and publish cutting-edge research to share with colleagues and peers. bit.ly/31aWqJn
#HeartofASE #ASEMemberDay #EchoFirst

English
JASE retweetledi

We previously developed an algorithm to improve classification of interatrial communications (IACs) in newborns.
This @JournalASEcho study aimed to evaluate the patency at preschool age of neonatal IACs classified using the algorithm. bit.ly/4cSU2x2

English
JASE retweetledi

@NadeenFaza @JGrapsa @JiwonKimMD @PWesslyMD @ASE360 @DavidWienerMD @rajdoc2005 @purviparwani @iamritu @JournalASEcho @nishath_quader @EGarciaSayan ANSWER 4-DEFINITION LV DIASTOLIC DYSFUNCTION (DD)
3️⃣ hallmarks of LV DD: ⬇️ LV relaxation and ⬆️ LV diastolic stiffness +/- ⬆️LVFP.
Echo parameters rely on markers of ⬇️ LV relaxation, chamber remodelling & ⬆️ LVFP/LAP (see figure).
#ASEchoJC
@SNagueh @dysanborn @ASE360

English
JASE retweetledi

Thank you for joining #ASEchoJC tonight as we decoded the updated @ASE360 Diastology Guidelines & tackled the complexities of diastolic function! 🫀📊Grateful to our incredible guest authors @SNagueh @dysanborn @BonitaEcho, my fantastic co-moderators @HeartToProve @PWesslyMD & our engaged audience for such a lively, thoughtful, & high-yield discussion. 🙏💬
Until next time! ✨
#EchoFirst #Cardiotwitter #CardioX

English
JASE retweetledi

tinyurl.com/y4kfsnsx
🫀 New multicenter study (n=951) validates a stepwise echo algorithm to estimate LV filling pressure (LVFP) in patients evaluated for dyspnea.
• Uses e′, E/e′, PASP first, then LA strain, LAVI, IVRT & pulmonary vein flow if discordant
• Indeterminate results: 2 vs 38 with 2016 guidelines
• Accuracy: 86% (sens 86%, spec 86%)
• Adds incremental value beyond natriuretic peptides
A promising approach to reduce “indeterminate” diastology. #EchoFirst #HFpEF #CardioTwitter #ASEchoJC

English
JASE retweetledi

Check out this paper! H₂FPEF score helps rule out HFpEF when probability is <30%.
However, when probability is >30%, incorporating echocardiographic parameters from the 2025 @ASE360 diastolic guidelines to estimate mean LAPsignificantly improves diagnostic accuracy vs H₂FPEF alone. 🫀📊
tinyurl.com/2h4mv9xy
👉 #EchoFirst adds meaningful reclassification & discrimination for HFpEF diagnosis. #HFpEF #EchoFirst #CardioTwitter #ASEchoJC
English
JASE retweetledi

@NadeenFaza @SNagueh @dysanborn @BonitaEcho @PWesslyMD @iamritu @SIwa23288585 RECOMMENDED READ ON THIS SUBJECT
"Improving the Diagnosis of HFpEF: A Comparison of the H2FPEF Score and the 2025 ASE Diastolic Function Guideline Recommendations Using Invasive Hemodynamics as the Gold Standard" #ASEchoJC
jacc.org/doi/abs/10.101… @SFNagueh

English
JASE retweetledi

@NadeenFaza @SNagueh @dysanborn @BonitaEcho @PWesslyMD @iamritu @SIwa23288585 Remember that HFpEF is a clinical diagnosis. It can be complex. Integrate all the tools at hand to make the correct diagnosis. #ASEchoJC

English
JASE retweetledi

🔑 HFpEF is not an echocardiographic diagnosis alone.
It requires:
🔹 HF symptoms
🔹 Preserved EF
🔹 Objective evidence of elevated filling pressures from echo, biomarkers, or hemodynamics
⚠️ Always exclude HFpEF mimics: CAD, infiltrative disease, HCM, constriction, significant VHD
Diagnosis requires integration of clinical, imaging, and laboratory data.
#ASEchoJC #EchoFirst @ASE360 #HFpEF
English
JASE retweetledi
JASE retweetledi

@NadeenFaza @SNagueh @dysanborn @BonitaEcho @HeartToProve @iamritu @SIwa23288585 🫀 How do we diagnose HFpEF?
A stepwise clinical approach—from symptoms to invasive hemodynamics.
Quick visual guide 👇
#ASEchoJC #EchoFirst @ASE360

English
JASE retweetledi

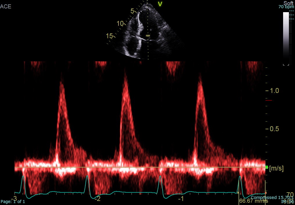
@NadeenFaza @SNagueh @dysanborn @BonitaEcho @HeartToProve @ASE360 🫀 AF diastology tip
💡 Look at beat-to-beat variability in mitral inflow
📉 Less variability in E velocity across cycles → suggests elevated LV filling pressure
Record multiple beats at sweep speed ~50 mm/s to assess this pattern.
#ASEchoJC #EchoFirst @ASE360


English
JASE retweetledi

#ASEchoJC Q 10. How are echocardiographic findings integrated with clinical and laboratory data in the diagnosis of HFpEF?
@SNagueh @dysanborn @BonitaEcho @PWesslyMD @HeartToProve

English
JASE retweetledi

@NadeenFaza @SNagueh @dysanborn @BonitaEcho @HeartToProve @ASE360 ⚠️ No single echo parameter reliably estimates LAP in AF.
A multiparametric approach is required.
#ASEchoJC #EchoFirst @ASE360
English
JASE retweetledi

@NadeenFaza @SNagueh @dysanborn @BonitaEcho @HeartToProve @ASE360 🫀 Diastology in Atrial Fibrillation — key challenge
AF complicates LV filling pressure assessment due to:
🔹 Variable cycle length
🔹 Loss of atrial contraction
🔹 Tachycardia
🔹 Frequent LA enlargement
#ASEchoJC #EchoFirst @ASE360
English
JASE retweetledi
JASE retweetledi

🫀 Echo pearl in AFib
When estimating LV filling pressure:
🔹 Average measurements from multiple cardiac cycles
🔹 Select cycles reflecting the average heart rate
📌 Dual Doppler (simultaneous E & e′ from the same beat) improves accuracy when calculating E/e′.
#ASEchoJC #EchoFirst @ASE360
English


