Garth Fraga
299 posts

Garth Fraga
@KUDermpath
Professor, Dermatopathology
Kansas, USA Katılım Ekim 2016
564 Takip Edilen1.3K Takipçiler

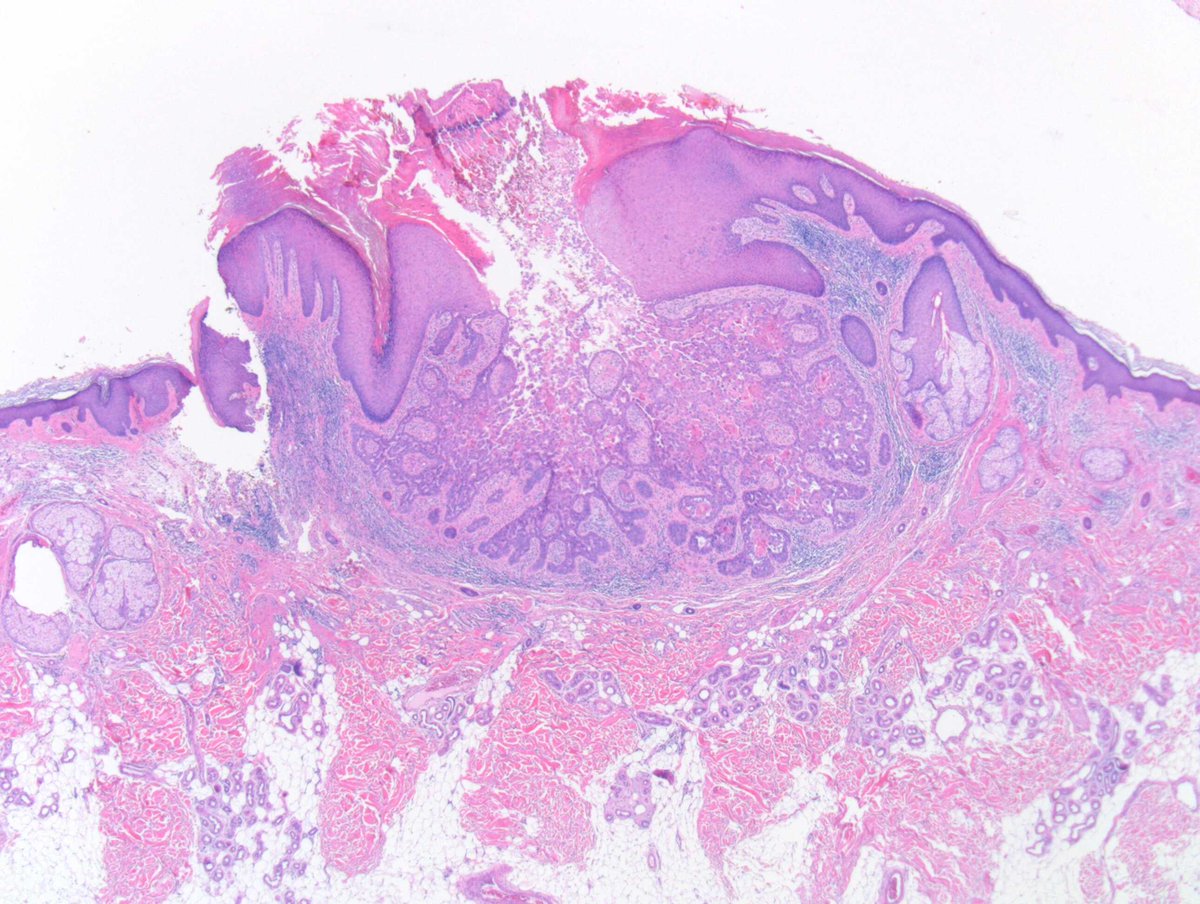
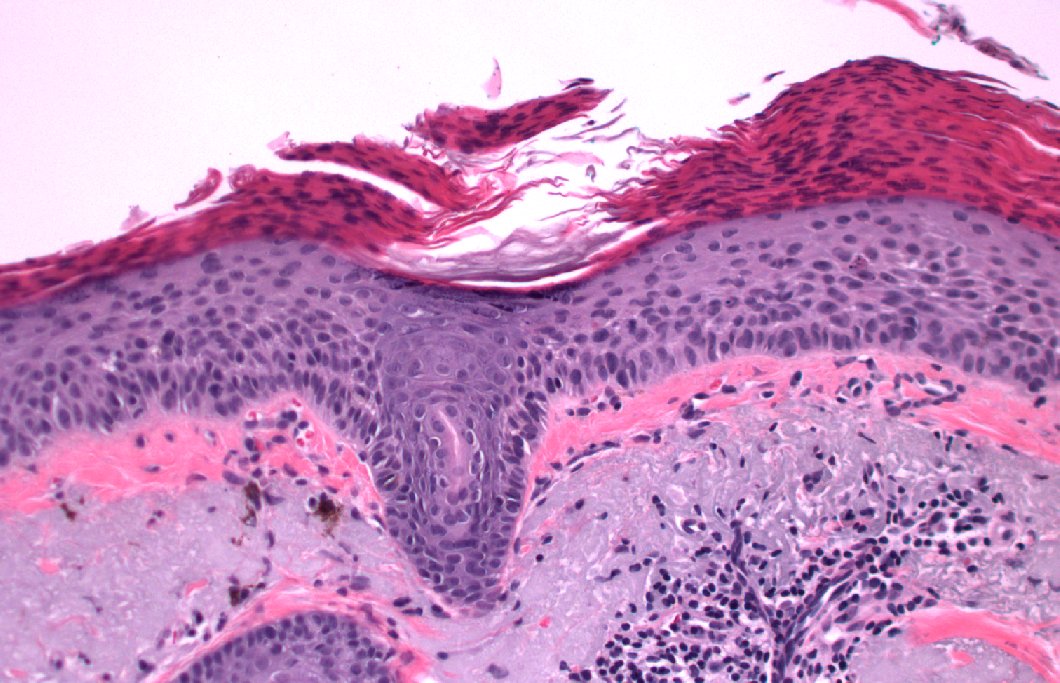
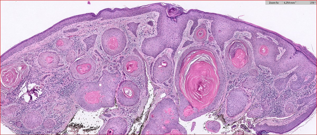
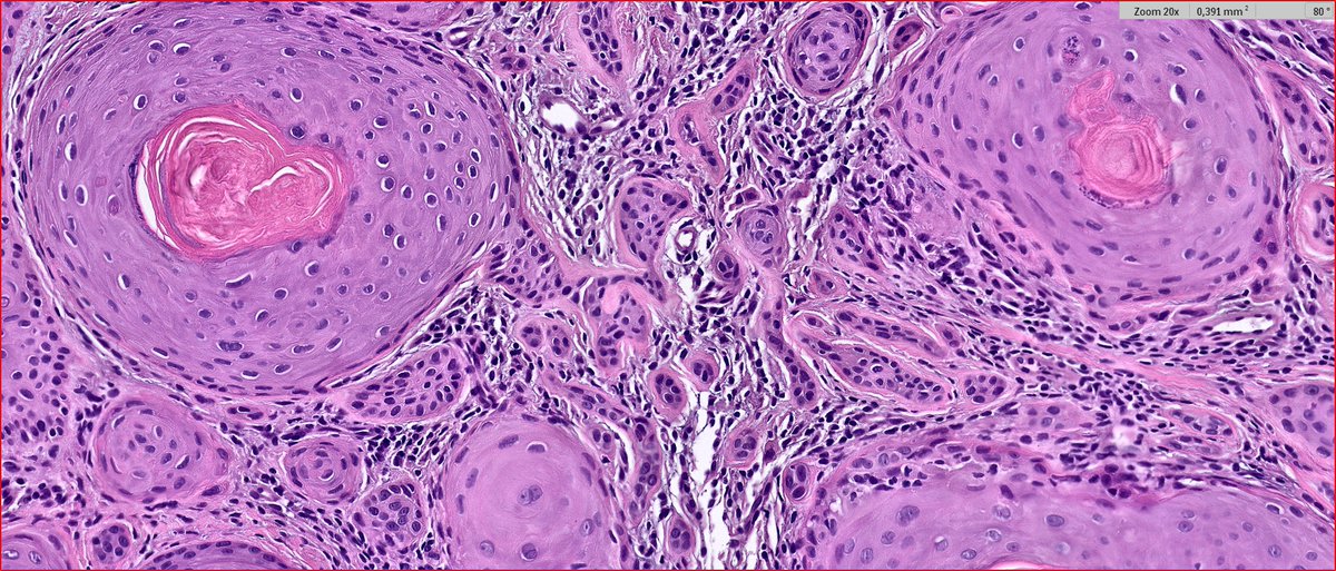
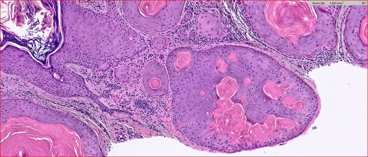
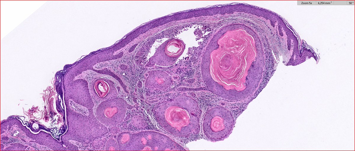
2024 Wk46 ish! RAC9183. M80s Right temple lesion. Previous skin cancers. #TooFarToDiagnose ? #Dermpath

English

@RACARR51 Dermatitis herpetiformis manifesting with fingertip Purpura
English
Garth Fraga retweetledi

Big day for @ChrisWorsham & me
Random Acts of Medicine from @doubledaybooks is out!
Great launch @HarvardBooks w/ amazing @ProfEmilyOster
If you’re interested in how chance affects your health & what we can learn from it, the book is for you
Please RT to give the book life!



English

@ProfRScolyerMIA @SydneyLHD @ProfGLongMIA @MelanomaAus @Sydney_Uni @NSWHPathology @CPC_usyd You are an inspiration to us all. I’ll be thinking of you and hoping for the best moving forward.
English

I’ve had #neoadjuvant #immunotherapy for my #glioblastoma (G4, IDH WT, multiple adverse molec prog features) & tomorrow I’m heading to RPAH/@SydneyLHD for definitive resection! Feeling good & most grateful for incred support from amazing family, friends, colleagues. @ProfGLongMIA
English
Garth Fraga retweetledi

Just out in @JAMAInternalMed, we highlight a mechanism to detect selection bias/confounding in observational studies by looking at Kaplan Meier curves.
If the curves separate implausibly early, the findings are too good to be true!
jamanetwork.com/journals/jamai…
@VPrasadMDMPH

English

NEW 🚨research🚨 where we show that patients diagnosed with melanoma in situ (MIS) live LONGER overall than age/sex/race matched individuals (112% relative survival) without MIS. jamanetwork.com/journals/jamad… this suggests MIS may mostly be a marker of health seeking behavior.

English
Garth Fraga retweetledi

Our @JAMAInternalMed paper on UV Radiation Exposure, Diagnostic Scrutiny, and Melanoma Incidence generated a Letter to the editor which asks "what about indoor tanning"...our reply: jamanetwork.com/journals/jamai…
Ade Adamson, MD MPP@AdeAdamson
What is more strongly related to melanoma incidence across US counties: UV exposure or diagnostic scrutiny? We show melanoma incidence is WEAKLY correlated with UV-related variables and more strongly related with diagnostic scrutiny-related variables: jamanetwork.com/journals/jamai…
English

@RoxanaDaneshjou The debrands of Indiana is my favorite
debrand.com
English

@HENRYY_MD @ChristineJKoMD @david_terrano @SGottesmanMD @tonitatirado @gonzadetoro @redsnapperpath @PIorfino @MarcelaSaebL @TristanRutland7 @et565 @DCSkipperDO Lentiginous nevus
Lietuvių

Want a consensus here. 😂#Dermpath @ChristineJKoMD @david_terrano @SGottesmanMD @tonitatirado @gonzadetoro @redsnapperpath @PIorfino @MarcelaSaebL @TristanRutland7 @et565 @DCSkipperDO
I just call it lentigo simplex. Your thoughts? Lower back in 65 yo man.
(IHC: Mart1 and SOX10)




English

I really love those "consensus" virtual discussion among #dermpath lovers. Before the weekend ends, I have another melanocytic lesion for "consensus" ( not my case though). 23 year old lady has a lesion on her flank area for 2 years, now increased in size (1 cm) who is pregnant.




English
Garth Fraga retweetledi

Powerful words by Dr Thomas Helm. Thank you for my new favorite quote from Stephen Covey “The key is not to prioritize what’s on your schedule but to schedule your priorities” #ASDP21 #dermpath #pathology #life

English

some serious brain storming needed for this case for all those #dermpath lovers or enthusiasts. woman in her late 20s, in good health, present with a brownish plaque on her left post thigh for 2 years. @ChristineJKoMD @LozeauMD @michi_shinohara @MarcelaSaebL



English
Garth Fraga retweetledi

While keratoacanthoma (KA) has historically been considered a variant of cutaneous squamous cell carcinoma (cSCC), current evidence suggests that they are distinct lesions.
What are the differences between KA and cSCC? Find out more in this review: ow.ly/pciN50FccGs

English
Garth Fraga retweetledi
Garth Fraga retweetledi

For anyone doubting that #healthcare should be a basic human right, here is a bill for 2 #chemotherapy treatments. I never smoked, I exercised, I ate healthy before stage IV #cancer at age 44. Without insurance, what would I do here? What could I do? I had 55 chemos😞


English











