David Langlais
77 posts

David Langlais
@LanglaisLab
research lab in immunogenomics at #McGill, studying genetics and functional genomics of immunodeficiencies, infectious and autoimmune diseases. #LanglaisLab

We’re thrilled to announce our partnership with the International Alliance for Primary Immunodeficiency Societies (#IAPIDS) to launch the Journal of Human Immunity (JHI) @jhumimmunity! Stay tuned for groundbreaking, #OpenAccess research on #HumanImmunity! hubs.la/Q032Q5Zt0



It appears #NIAID will shutter the genome data base we all use daily. This strikes me as a significant mistake that may well endanger much of our global progress. @BSPparasitology @AS_Para @ASTMH @TrendsParasitol @AmSocParasit @parasitesrule @PiParasitology






Thrilled that our project is funded!! My lab and Dr Michel Tremblay's lab partner with Kanyr Pharma and the MUHC Cell Therapy Lab (Drs Pierre Laneuville and Linda Peltier) to establish therapeutic cord blood-derived NK cells for hard-to-treat cancers. @mcgillu @McGillGenome


Eight researchers from Garvan have been awarded highly competitive National Health and Medical Research Council (NHMRC) Investigator Grants. Find out more: ow.ly/9bTE50RwYpl @drjosephpowell @stutangye @thomasrcox @jodieingles27








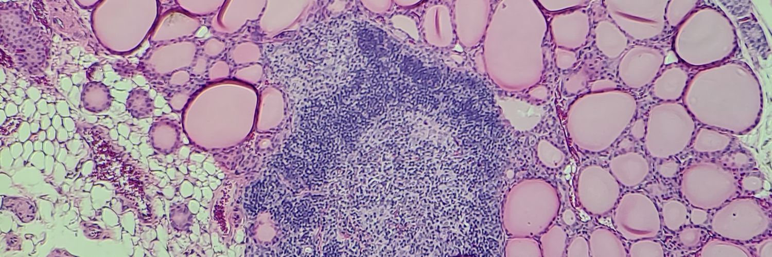
What does human CD4 do? By studying 7 ppl from 5 families with pathogenic homozygous CD4 mutations, our latest work by @GuerinAntoine6 @GarvanInstitute @UNSWMedicine describes non-redundant functions of CD4 in human immunity. rupress.org/jem/article/22…


The next MIM happy hour will be on March 19 at Pub l'Île Noire! See below for details 🍻 Le prochain 5 à 7 de MIM sera le 19 mars au Pub l'Île Noire! Voir ci-dessous pour plus de détails

