Sabitlenmiş Tweet

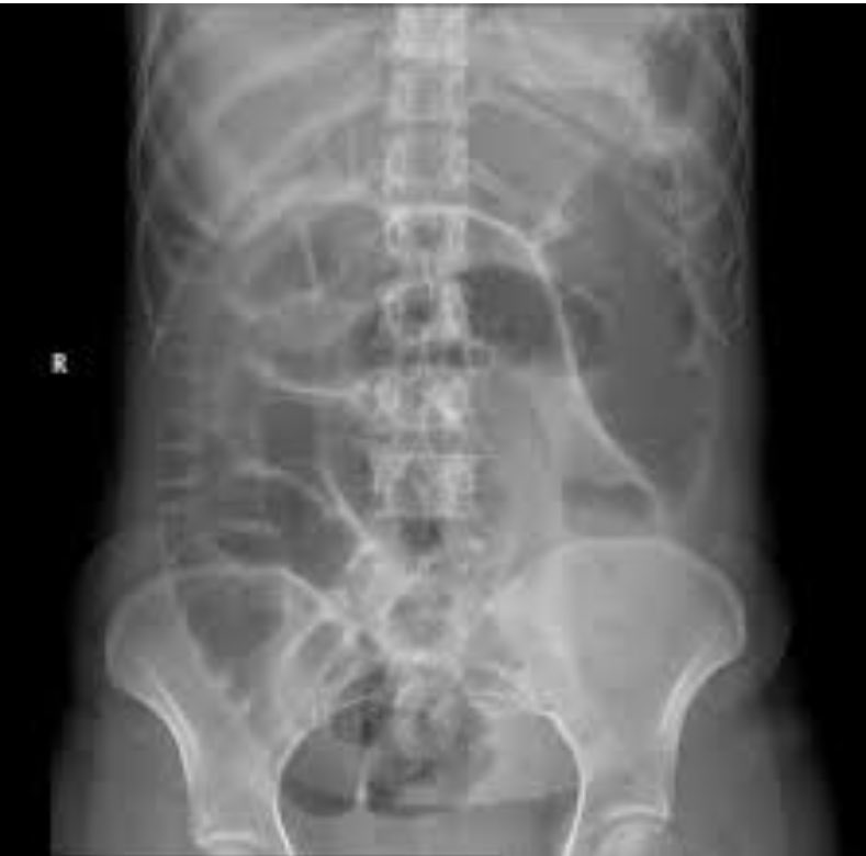
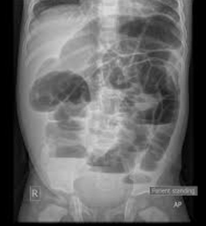
Very proud to publish this research with @ZielinskiTrauma at the @MayoClinic. "Small Bowel Obstruction Managed Without hospital admission: A Safe Way to Reduce Both Cost and Time in the Hospital?". Check it out here
authors.elsevier.com/a/1e6p090L~q3Fu
English























