Miguel Vega
1.7K posts

Miguel Vega
@Mv1192
Musculoskeletal Radiology and Intervention. McGill Alumnus. Cycling Passionate
Medellín, Colombia Katılım Eylül 2009
673 Takip Edilen252 Takipçiler
Miguel Vega retweetledi
Miguel Vega retweetledi

🚨 Lateral Cutaneous Nerve Compression
⭐️The lateral cutaneous nerve typically passes under the inguinal ligament, but in 13% of cases, it traverses the ligament, increasing the risk of compression and leading to meralgia paresthetica.
#mskrad #radres #nerveimaging
English
Miguel Vega retweetledi

Rectus femoris muscle overload: what do we expect to find in ultrasound?
Rectus femoris muscle injuries are very common in sports activities, and ultrasound is a highly sensitive tool for diagnosing them.
Based on the ultrasound criteria described in the previous publication, both in static images and in dynamic studies, to diagnose rectus femoris muscle overload, the following must be observed:
A) Static ultrasound:
A1.- In the axial image, an increase in “tension” of the indirect tendon is observed, characterized by an almost perpendicular orientation instead of its normal coma morphology.
A2.- In the longitudinal plane, the pennation angle increases compared to the contralateral muscle without alteration of the typical fibrillar pattern.
B) Dynamic ultrasound:
B1.- A lesser muscle deformity is seen on sonocompression with the transducer associated with a greater muscle tone on “sonopalpation”.
B2.- There is little muscle mobility during isometric contraction, significantly less than the opposite side and with minimal increase in its anteroposterior diameter.
English
Miguel Vega retweetledi

🌟 ASAS researchers recommend using axSpA as the overarching term for axial spondyloarthritis. They prefer radiographic-axSpA over ankylosing spondylitis. These changes aim to standardize terminology and improve clarity in diagnosis and treatment.
ard.bmj.com/content/83/5/5…
#ASAS

English
Miguel Vega retweetledi

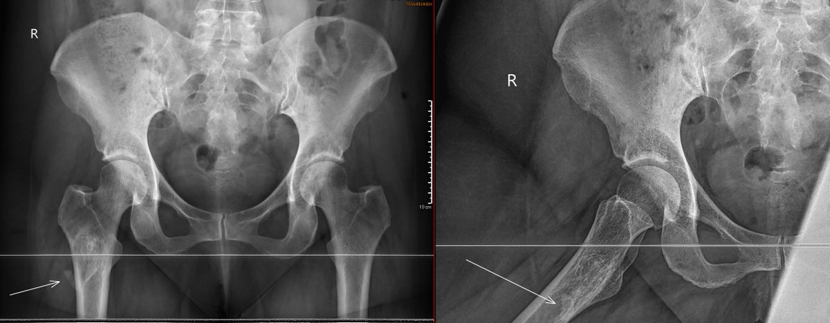
⚠️ Pubic apophysitis - an important cause of groin pain in young athletes
NEW article in the #ImagesinSEM series ✅ using a case of a 17-year-old male right-footed footballer ⚽️
Find out more ➡️ bit.ly/47i3p4F


English
Miguel Vega retweetledi

⚠️ Femoroacetabular Impingement (#FAI) Syndrome ⚠️
Dive into key clinical tests, common imaging findings, and treatment options in our latest #MSKPlaybook blog post ✅
Perfect for clinicians looking to enhance their practice! 🏃♂️
READ ➡️ bit.ly/4dmTRYm



English
Miguel Vega retweetledi
Miguel Vega retweetledi

Frequent corticosteroid injection in shoulders with rotator cuff tear leads to upregulation of proteins and genes leading to adipogenesis and muscle atrophy, and downregulation of myogenic and inflammatory substances.
See more on this topic here! journals.sagepub.com/doi/full/10.11…

English
Miguel Vega retweetledi

Check out the latest BackTable Brief: Anatomy and setup for genicular nerve ablation with Dr John Smirniotopoulos! #medEd @SDhandMD @JacobFlemingMD @drprestongs @Georgetown_IR open.spotify.com/episode/6I2Wzw…
English

@Mv1192 Specially if you are no directly seeing the calcification as in this case. Thanks!
English

31/8/2023. Last case of the week. My favorite: first CT-guided barbotage for Phase I - calcifying tendinopathy in the gluteus maximus. Don´t forget to watch the video. Teamfactory: @pepelermarx & @JM_Zulueta_O 💉🦵 #Trauma #Barbotage #innovations #MSKRadiology




English
Miguel Vega retweetledi

Radiofrequency denervation of the lumbar facets is the most evidenced procedure for treating facet mediated low back pain. But is it helpful or harmful?🧵
bit.ly/3Su3A6K
bit.ly/3SrQuH1
@Ryan_S_DSouzaMD @VinnyFrancioMD @ZackMcCormickMD @Sympathy4TheDr

English
Miguel Vega retweetledi

Rotator cuff muscles/tendons
☑️supraspinatus👉🏼a single tendon within a bipennate muscle
☑️subscapularis👉🏼four tendons that span the insertion
☑️infraspinatus👉🏼an oblique head (effective head depressor) & a transverse head (effective external rotator)
jisakos.com/article/S2059-…

English

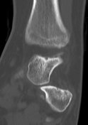
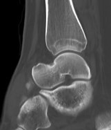
#CaseOfTheWeek...End‼️🥳‼️
☢️🩻☠️Case#28☠️🩻☢️
17yo with night pain
📲➡️#Diagnosis❔❓❔
#FOAMRad #RadEd #MedEd #OrthoEd #OrthoTwitter @ssr_rwg @UWRadRes @MSTS_Ortho




English
Miguel Vega retweetledi

Tendinopathy
Main management strategies👇🏼
✅exercise-based interventions
✅extracorporeal shock-wave therapy
✅injection-based therapy
✅surgery
Prevention 👉🏾 exercise regimens to improve strength & coordination of muscle-tendon unit
#tendon
nature.com/articles/s4157…

English
Miguel Vega retweetledi

Muscle Healing in Sports Injuries: MRI Findings and Proposed Classification Based on a Single Institutional Experience and Clinical Observation | RadioGraphics pubs.rsna.org/doi/10.1148/rg…

English
Miguel Vega retweetledi

Thanks to @mechomeca @Alunaalcala @gadolinio61 @akassarjian @carlespedret @gilrodasfont et al
Muscle Healing in Sports Injuries: MRI Findings and Proposed Classification Based on a Single Institutional Experience and Clinical Observation | RadioGraphics pubs.rsna.org/eprint/ZTNVVBA…
English










