NN
30 posts

NN retweetledi

@enaddawod @ColumbiaMed @ColumbiaPS @WeillCornell @ASGEendoscopy Great news! Congratulations! Well deserved!
English

Very honored to announce that I will be joining @ColumbiaMed @ColumbiaPS for my Advanced Endoscopy Fellowship. Thank you for all my mentors and my @WeillCornell family who supported me in this incredible journey over the past decade. Follow your dreams @ASGEendoscopy #AEFmatch


English

@AmerGastroAssn @barbarahjung ‘Insurers are not medical doctors and should not force physicians to prove their treatment decisions are correct for established treatment plans that save lives.’ That hits the nail on the head 👏
English
NN retweetledi

Incoming AGA president @barbarahjung on why we need keep up the pressure to #StopUHCGiPriorAuth ow.ly/EuvA50OyjgV
English
NN retweetledi

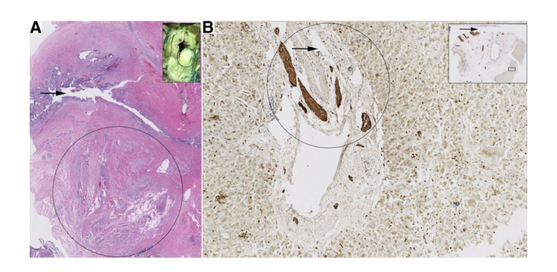
Hilar Amputation Neuroma aka Traumatic Neuroma 🧐
✅Rare post-liver tx complication
✅Very elusive to diagnose bc no classic noninvasive findings & need tissue
✅ include in ddx of refractory biliary stricture!
#__ffn_sectitle" target="_blank" rel="nofollow noopener">ncbi.nlm.nih.gov/pmc/articles/P…
#LiverTwitter @GraceGuzmanMD

Chicago, IL 🇺🇸 English
NN retweetledi

Happy to share that our abstract: “Exploring Probe-Based Confocal Laser Endomicroscopy as a Novel Tool in Graft Monitoring After Small Bowel Transplantation” has been recognized as Presidential Poster at @AmCollegeGastro conference @uiccom @NajibN @Krutika_Lakhoo @RohitAgrawalMD
English
NN retweetledi
NN retweetledi

On this day in 1908, Dr. Michael DeBakey, a Lebanese-American cardiac and vascular surgeon, was born. He is known for his many surgical innovations including coronary bypass operations, carotid endarterectomy, artificial hearts and ventricular assist devices. #Histweet #CTSurgery

English
NN retweetledi

Thanks to all the participants of this year's AGA Innovation Fellows Program! Fantastic afternoon with current and future physician-innovators in #gastroenterology. Grateful to course directors @AThakerMD & #SushGuha for their leadership! #AGATech cc @Scopesdoc @raman_muthusamy

English

@NancyReau @RushMedical @liverUSA @RushDOIM @Rush_Transplant Congrats! But winning every single year for 6-7 years statement is inaccurate. I represented UIC in the 2020 debate and we won over Rush! Just to avoid recall bias.
English

Many congratulations to @RushMedical GI fellows Sanmeet Singh and Jason Kramer, for winning last night's @liverUSA #AcademicDebates! Our fellows have won this debate every single year we've participated for the past 6 years...or 7? #CONGRATULATIONS @RushDOIM @Rush_Transplant


English
NN retweetledi

Cheering on @ElieGhoulam and Alex Pan on Team @UIHealth as they debate against @RushMedical in the @AlfDebates on #transplant for #HCC!!! 💪💪💪 @ALFGreatLakes @UICDom #livertwitter 👏👏👏
English

Almost a year ago, I expected to reconnect with friends and colleagues in Chicago but this 'largest gathering of gastroenterologists' did not happen... Here we are, with a new reality that we're adapting to! Learning and sharing research and thoughts from…lnkd.in/eMYQWDC
English

Ady Barkan's project to elevate the stories of Americans who have experienced our unjust health care system firsthand. Sign up for updates! uncovered.beaherofund.com #uncovered via @beaheroteam
English
NN retweetledi

Celebrating surviving my first GI weekend call with the co-fellows! @UICDom @UIHealth @Krutika_Lakhoo @NajibN @AmCollegeGastro @ASGEendoscopy @AASLDtweets #GI #torqueright #findthelumen #Ithinkthatsthececum #bigwheeldown

English

Very excited to have matched at UChicago Medicine for Advanced Endoscopy fellowship! #advanced #fellowship American Society for Gastrointestinal Endoscopy (ASGE)
“Life is short, art long, opportunity fleeting, experience treacherous, judgment difficult.” lnkd.in/e_547is
English

I won’t pretend to know how to run a country if you don’t pretend to have a medical degree.
Deal?
#COVID19
English

Theranostic Gastrointestinal Endoscopy: Bringing Healing... : Clinical and Translational Gastroenterology journals.lww.com/ctg/Fulltext/2…
English





