Nicole Mendelson MD

25 posts

Nicole Mendelson MD banner
Nicole Mendelson MD

Nicole Mendelson MD

@NikNakPath

Surgical Pathology Fellow at Mayo Clinic, Gastrointestinal/Liver Pathology Fellowship Trained, AP/CP Board Certified Pathologist

Katılım Ocak 2021
60 Takip Edilen122 Takipçiler
Nicole Mendelson MD retweetledi
William O. Humphrey, MD
William O. Humphrey, MD@TheDoctorIsILL·
@NikNakPath presenting on OTP utility in lung and thymus neuroendocrine tumors
William O. Humphrey, MD tweet media
English
0
2
3
148
Nicole Mendelson MD
Nicole Mendelson MD@NikNakPath·
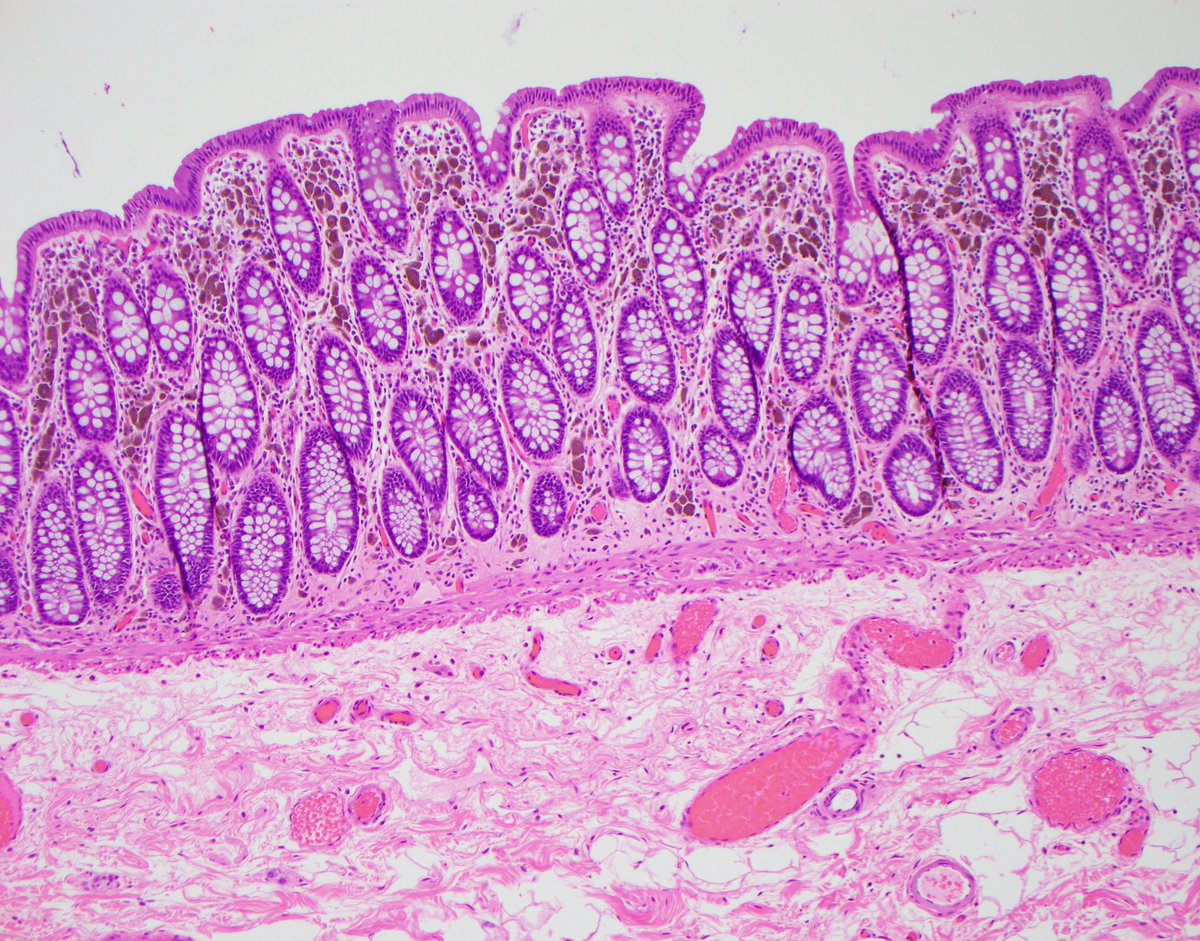
The adenocarcinoma (below) is devoid of pigment due to the paucity of macrophages within the lesion.
Nicole Mendelson MD tweet media
English
1
4
25
0
Nicole Mendelson MD
Nicole Mendelson MD@NikNakPath·
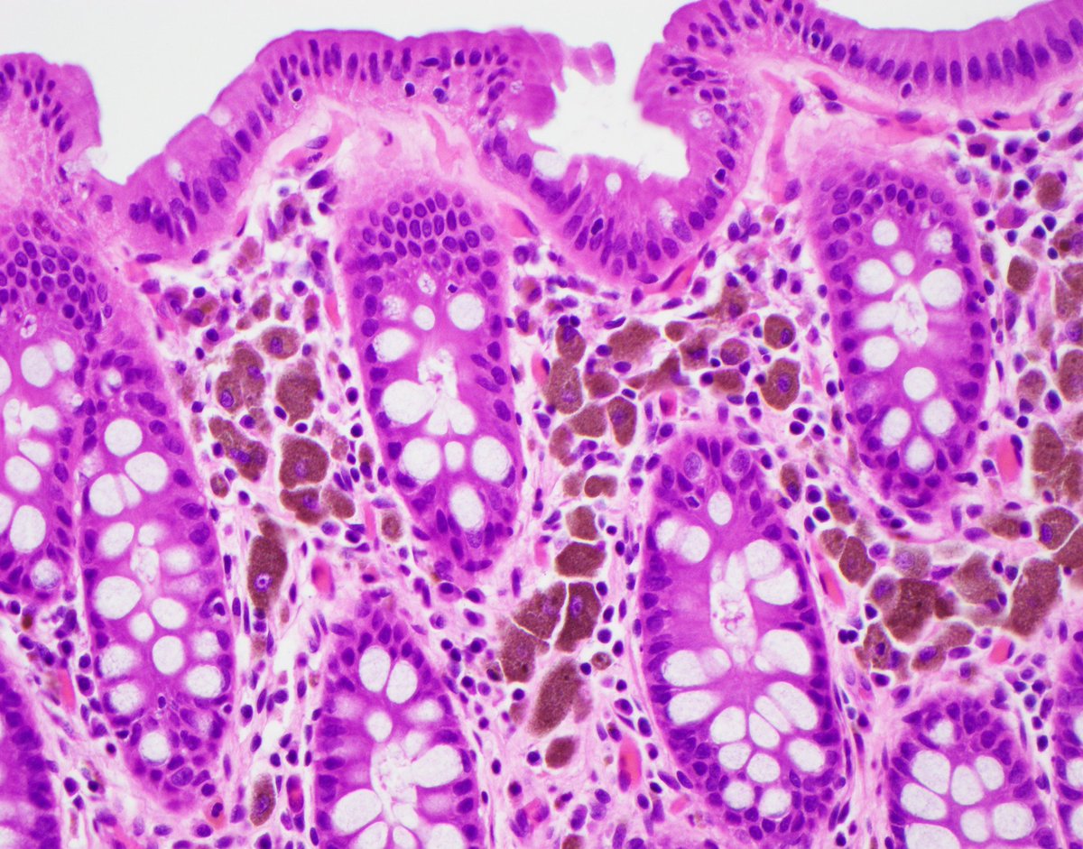
Thanks for all of the great participation! This is a resection specimen removed for adenocarcinoma with striking melanosis coli. The histologic correlate is below, showing numerous pigment laden macrophages within the lamina propria:
Nicole Mendelson MD tweet mediaNicole Mendelson MD tweet media
English
3
6
43
0
Nicole Mendelson MD
Nicole Mendelson MD@NikNakPath·
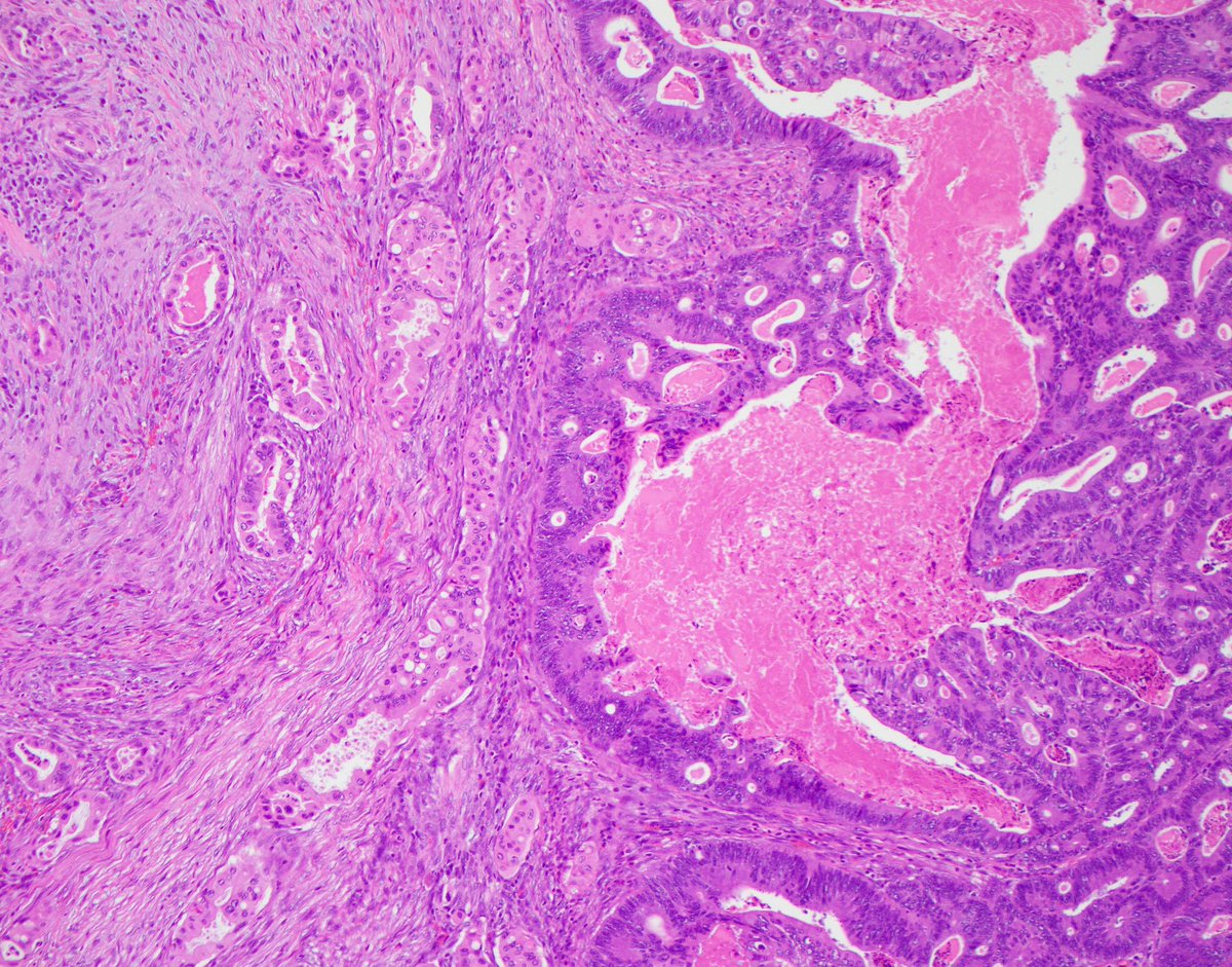
It's not ink! The pale tan polypoid area shows invasive adenocarcinoma. But why is the surrounding mucosa so dark?
English
0
0
9
0
Nicole Mendelson MD
Nicole Mendelson MD@NikNakPath·
I'm starting to think there's a safety lock on Microsoft Teams that prevents Millenials from logging into meetings 🤔 What's the deal Boomers?
English
0
1
2
0
Nicole Mendelson MD
Nicole Mendelson MD@NikNakPath·
"Neither I nor my colleagues are looking to do less work, but we want to be allowed to direct our efforts in service of our professional mission: to become the physicians we envisioned when we started this transformative journey."
English
1
1
4
0
OpenAcademics
OpenAcademics@OpenAcademics·
#FollowFriday - Favorites edition❤️ 1) Short intro🥼 2) Tell/show us your favorites (movies, books, pets, cities, food, anything)😍 3) Follow each other🙌 #AcademicTwitter
GIF
English
66
8
95
0
Nicole Mendelson MD
Nicole Mendelson MD@NikNakPath·
Had a great time kicking off the APC 2021 Annual Meeting with the Society of '67 Kinney Scholars! #RealAPC2021
Nicole Mendelson MD tweet mediaNicole Mendelson MD tweet media
English
0
0
6
0
Nicole Mendelson MD
Nicole Mendelson MD@NikNakPath·
If we don't treat medical students and residents/trainees as if they will become fully formed attending physicians, how can we expect them to grow into that role?
English
0
0
3
0
Nicole Mendelson MD
Nicole Mendelson MD@NikNakPath·
I just saw a human dressed in a bunny suit driving down Williston Road in a golf cart #btv
English
0
0
1
0
Nicole Mendelson MD retweetledi
Adi
Adi@IDdocAdi·
Residents, when the attending starts teaching
Adi tweet media
English
12
38
722
0