Sabitlenmiş Tweet
Tabinda Jawaid (She/Her)
632 posts

Tabinda Jawaid (She/Her)
@PathoTabi
Upcoming Surgical Pathology fellow @JohnsHopkins, PGY3, Upcoming Chief resident @DanburyHospital |Former Research Fellow, PKD Center @MayoClinic
Danbury, CT Katılım Ekim 2012
557 Takip Edilen597 Takipçiler
Tabinda Jawaid (She/Her) retweetledi
Tabinda Jawaid (She/Her) retweetledi

#PathQuiz 🔬
A 30-year-old presents with abdominal pain and a 5 cm multinodular mass centered in the gastric muscularis propria.
A) GIST
B) Plexiform fibromyxoma
C) Gastroblastoma
D) Synovial sarcoma
#Pathology #GIPath @IARCWHO
Clue in caption 🧐

English
Tabinda Jawaid (She/Her) retweetledi

What is this cell? What is the pink dot in its cytoplasm? What is the diagnosis?
Answers ✅ youtu.be/DqLK6ZvNXTU
#pathology #pathologists #pathTwitter #dermpath #dermatology #dermatologia #dermtwitter

YouTube

English
Tabinda Jawaid (She/Her) retweetledi

Posterior fossa 4th ventricular brain mass in a young patient, what molecular alterations are likely detected in this lesion? 🤔
#pedipath #neuropath #pathology

English
Tabinda Jawaid (She/Her) retweetledi

What's the diagnosis of this spinal tumor? If you need to consult your Multidisciplinary Precision Evaluation team, go right ahead.😉 #pathology #neuropath #PathTwitter

English
Tabinda Jawaid (She/Her) retweetledi

Lichen nitidus. #dermatology: many tiny flat topped papules. #pathology: each papule is a small collection of histiocytes, lymphocytes, +/- giant cells falling dermal papillae being clutched by rete ridges (“ball in claw” pattern). #dermpath

English
Tabinda Jawaid (She/Her) retweetledi

Breast core needle biopsy of a small mass. Let me know what you think before I show what stains I ordered! #breastpath #pathx #pathtwitter #pathology #pathologists #pathresidents




English
Tabinda Jawaid (She/Her) retweetledi

Adult neck mass. CK focal+.
Can you make diagnosis from one pic, or is it #TooCloseToDiagnose?
Answer ✅ youtu.be/ezXLoa6PQ70?si…
More IHC: kikoxp.com/posts/17495
Digital slides 🔬 kikoxp.com/posts/17494
#BSTpath #pathologists #pathology #pathTwitter #ENTpath

YouTube

English
Tabinda Jawaid (She/Her) retweetledi

Tabinda Jawaid (She/Her) retweetledi

Can you make diagnosis from one pic? It's got lovely whorling, but it's NOT perineurioma.
Answer ✅ youtube.com/watch?v=ZbFY0B…
Low power pics: kikoxp.com/posts/2982
#BSTpath #pathology #pathologists #pathTwitter #dermpath #dermatology #dermatologia #dermtwitter

YouTube

English
Tabinda Jawaid (She/Her) retweetledi

Another frightful feature 🧛♂️ haunting pathologists 😱 this spooky season 🎃
Case of Microglandular Adenosis 👻🔬
Small round glands with bright eosinophilic secretions🩸infiltrating fat without myoepithelial cells that mimics invasion. 🧟♂️
#PathX #PathTwitter #breastpath

English
Tabinda Jawaid (She/Her) retweetledi

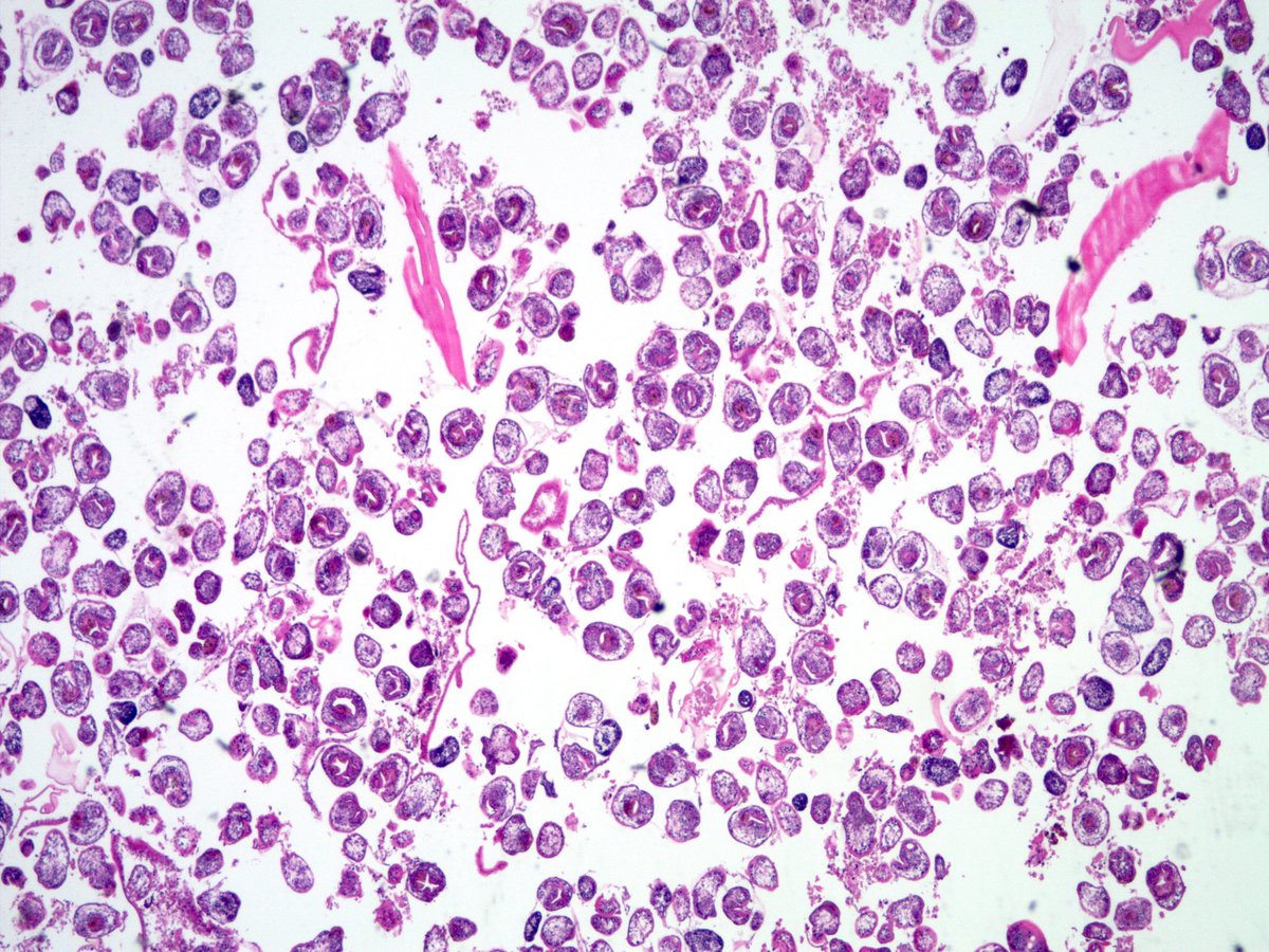
Hydatid disease = Echinococcosis
Pics 👇🏾 show gross appearance of collapsed cyst, micro of laminated layer (ectocyst) and “hydatid sand” with protoscoleces (baby versions of tapeworm head)
Table explains terminology
#Pathbugs #crittersontwitter @ParasiteGal @kriyer68




English
Tabinda Jawaid (She/Her) retweetledi

Yellow-red papule. Forehead of 5yo boy. One pic only.
Answer ✅ youtube.com/watch?v=7aso_h…
#pathology #pathologists #pathTwitter #dermpath #dermatology #dermatologia #dermtwitter

YouTube

English
Tabinda Jawaid (She/Her) retweetledi

One of my fave pics ever! What are these gorgeous structures?!?
What tumor/s do you find them in?
Answers ✅ youtu.be/vxF6dEfmv0E?si…
What normal #histology structure do they resemble?👉 youtube.com/watch?v=gwPj8G…
#pathology #pathologists #pathTwitter #dermpath #dermatology #dermatologia #dermtwitter

YouTube

YouTube

English
Tabinda Jawaid (She/Her) retweetledi

Happy Saturday everyone!
Let’s discuss Breast Consult Case of the Week 8 #BCCW8. Yet again, I was expecting a modicum of controversy but all of you were right on the mark.
The question was actually not whether this was a fibroadenoma or phyllodes tumor, but whether it was a benign or borderline phyllodes.
Honestly, despite everyone’s accurate interpretation, I can completely understand the referring pathologist’s diagnostic impression. Here we have a very large fibroepithelial lesion with increased stromal cellularity, an intracanalicular growth pattern but with patent ducts imparting a nascent phyllodes-like pattern, much epithelial proliferation, and a suggestion of subepithelial stromal condensation.
So why is it not a phyllodes tumor? In truth, it isn’t because I don’t want to call it that. The one feature that is the most telling in my opinion, other than the patient’s very young age, is the striking uniformity of this mass. All components are distributed evenly, which, to me, is highly unusual in a phyllodes tumor, particularly one this large. Remember that phyllodes tumors are notoriously heterogeneous, which is somewhat counterintuitive when considering hyperplastic vs. neoplastic lesions of the breast, but that’s how this cookie crumbles.
The next question is, does it matter? Benign phyllodes and fibroadenomas have very similar biologic behaviors and an excellent prognosis. So why should we waste time and effort trying to distinguish one from the other?
Well, in many instances, it really doesn’t, which is why I am in favor of a noncommittal diagnostic category not just for biopsies, but also for excisions. But that’s another discussion. In this particular patient, given the size and the margin status of this lesion (positive), a diagnosis of an incompletely excised phyllodes tumor may lead to an unnecessary simple mastectomy, the physical and psychological consequences of which are inscrutable and unpredictable. A conservative diagnosis is therefore the way to go, when the anticipated outcome is cure.
Voilà. One can go on and on with this topic without a convincing resolution, but we keep trying.
See you in a couple of days with another edition of Breast Consult Case of the Week!
@washu_pathology @washupathedu #PathTwitter #breastpath



English
Tabinda Jawaid (She/Her) retweetledi
Tabinda Jawaid (She/Her) retweetledi

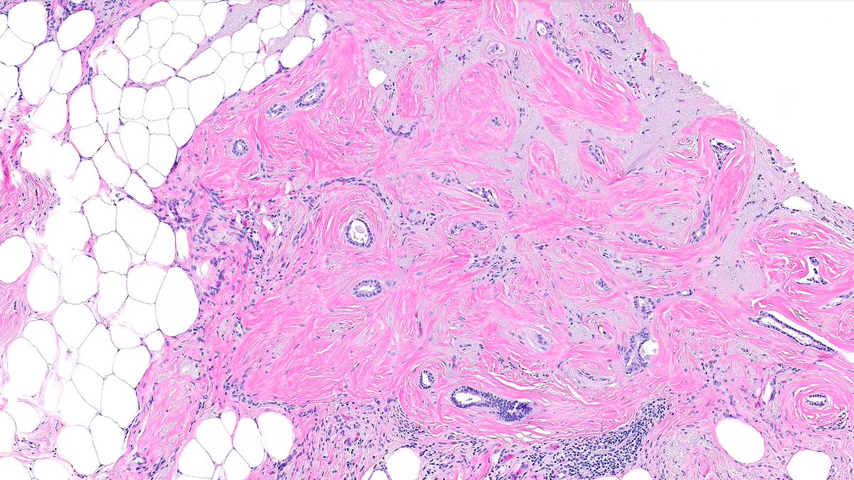
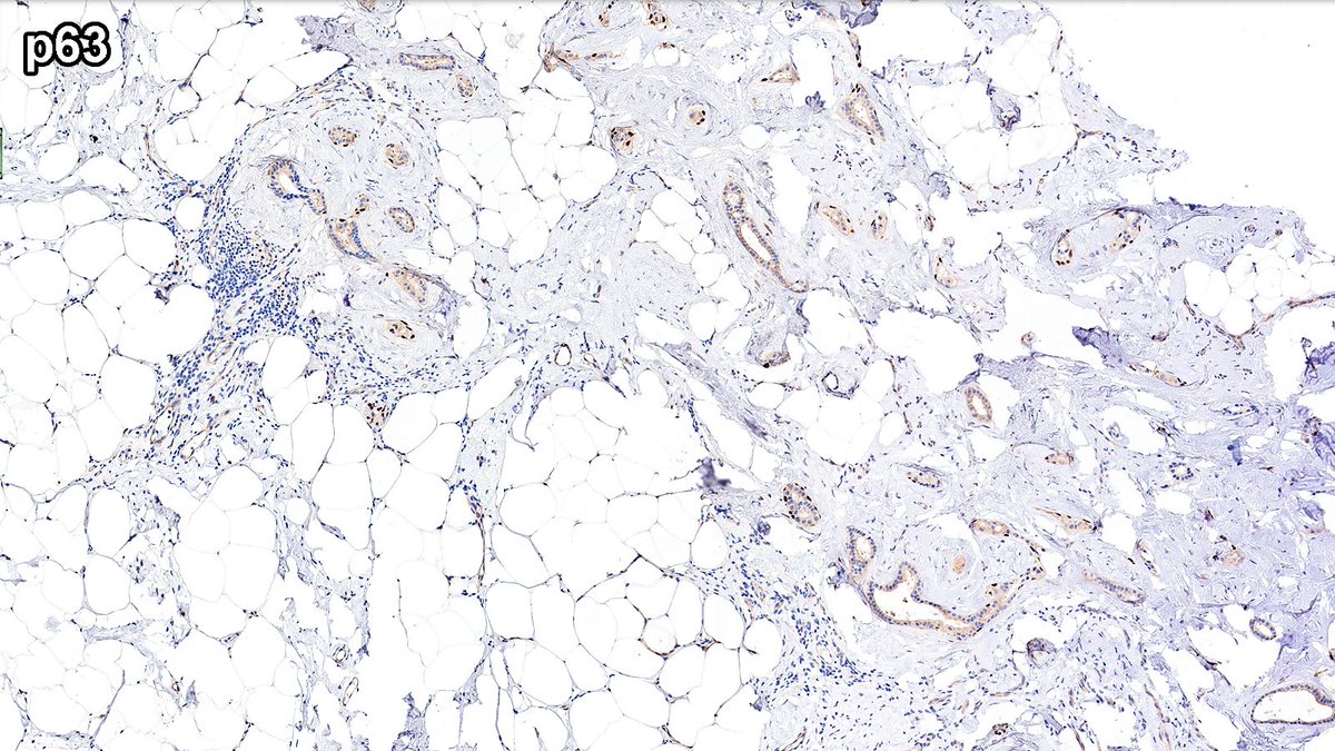
Case of Radial Scar 🗿🔬
Central fibroelastic core with entrapped glands radiating outward 🌟.
A master of masquerade, fibroelastotic nidus can simulate desmoplastic stroma—p63 shown below 👇.
#PathX #PathTwitter #breastpath


English
Tabinda Jawaid (She/Her) retweetledi

#GUpath🧩 time!
30ish M (no priors) presents with testicular mass and undergoes radical orchiectomy
🔬🤔❓




English
Tabinda Jawaid (She/Her) retweetledi










