Rodrigo Perrella 🇧🇷

270 posts

Rodrigo Perrella 🇧🇷

Rodrigo Perrella 🇧🇷

@Perrella_Uro

Urology/Endourology. HMASP - SP

Katılım Ekim 2019
372 Takip Edilen565 Takipçiler
Marcelo Wroclawski
Marcelo Wroclawski@wroclawski_uro·
Orgulhoso do #CPU22 que conseguimos entregar aos urologistas. Agradeço a todos que se dedicaram para atingirmos esse resultado! E na Jornada Paulista pretendemos fazer mais e melhor! jpu2023.com.br #UroSoMeBrasil
Sao Paulo, Brazil 🇧🇷 Português
3
0
11
1.1K
Dr Parimal Gharia
Dr Parimal Gharia@DrParimalGharia·
@Perrella_Uro @KUendourology @DRAAA86 Sir with due respect to study and authors, practical experience of thousands of cases during residency and practice,never seen single colon injury till date in Prone PCNL even in Era of IVP which does not provide cross section images.
English
1
0
0
151
WMolinaKUendouro
WMolinaKUendouro@KUendourology·
Retrorenal bowel is no go PCNL!!!!!
WMolinaKUendouro tweet media
Indonesia
5
1
25
6.5K
Rodrigo Perrella 🇧🇷 retweetledi
mohamed elshazly
mohamed elshazly@mohamed92902484·
Patient satisfaction during surgery
mohamed elshazly tweet media
English
10
11
76
0
Sana Siddiqui DO
Sana Siddiqui DO@SanaSiddiquiDO·
Thank you @VicentiniUro for coming all this way to teach us about PCNL technique! Doing supine PCNL simulations and then actually getting to do a case with you in the OR was invaluable. And huge thank you @EndoRobotic for organizing such an educational day :)
Sana Siddiqui DO tweet mediaSana Siddiqui DO tweet mediaSana Siddiqui DO tweet media
English
4
2
20
0
Saeed Bin Hamri
Saeed Bin Hamri@sbinhamrii·
🔴 #Laser is my choice in impacted Stone 🔴 Remember Laser is Light ... Light is Heat 🔴 Use Very Low Power to minimize the Ureteric wall insult 🔴 Do only the Center & Fragments will fall into You with Venturi Effect ⚪ Do it with Passion @PETRAurogroup @PEARLSendouro
English
12
13
107
0
Guido Giusti
Guido Giusti@GuidoGiusti·
This is what sharing knowledge really means: after months of working together my resident @totodpt & my 🇧🇷 fellow @MHPupulin performing #supinePCNL by themselves replicating my tech always under my supervision … congrats guys! #ETCE
Guido Giusti tweet mediaGuido Giusti tweet media
Milan, Lombardy 🇮🇹 English
6
7
67
0
Daniel A. González-Padilla
Daniel A. González-Padilla@Daniel_Urologia·
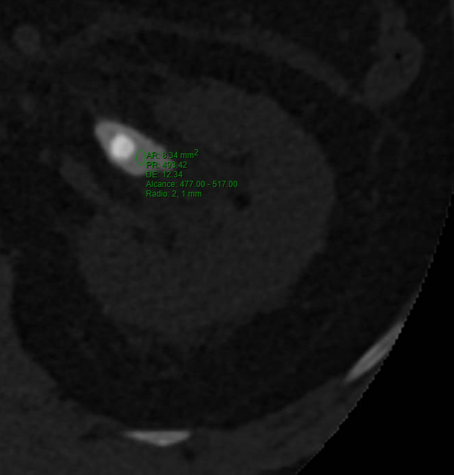
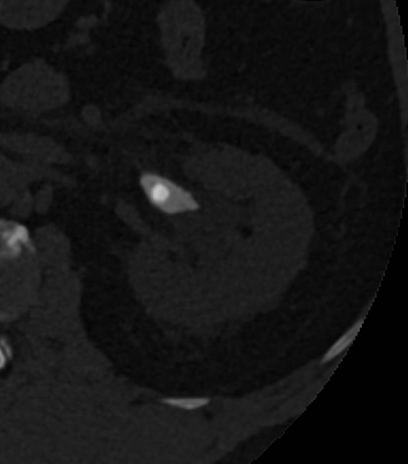
🔎Great example of how "Bone window" can help us. Patient with 25x12mm pyelic stone. Reported as 1,200UH by radiologist, but we can see that the nucleus is calcium (1,200UH) and surface is uric acid (500UH). Which can help in shared-decision making. #KidneyStones
Daniel A. González-Padilla tweet mediaDaniel A. González-Padilla tweet mediaDaniel A. González-Padilla tweet mediaDaniel A. González-Padilla tweet media
English
6
43
200
0
Guido Giusti
Guido Giusti@GuidoGiusti·
Cmon guys…. You misspelled my name also @SIU_Italia Italian Congress of Urology! 😳#siu22 😂
Guido Giusti tweet media
Riccione, Emilia Romagna 🇮🇹 English
15
2
83
0