Sabitlenmiş Tweet
Dr.GVS Subrahmanyam M.D(Ped).DCH, MIPHA
7.6K posts

Dr.GVS Subrahmanyam M.D(Ped).DCH, MIPHA
@ProfGVSS
Pediatrician,exSupdt,HOD , Niloufer Hospital, exHeadFamily medicine,ESIMC, pedagogy , Neurology ethics.public health activist,Tweets personal notmedical advice.
Hyderabad Katılım Ağustos 2017
153 Takip Edilen926 Takipçiler


@Doctors_GUILD Bottle green ? Obstructive jaundice?
English

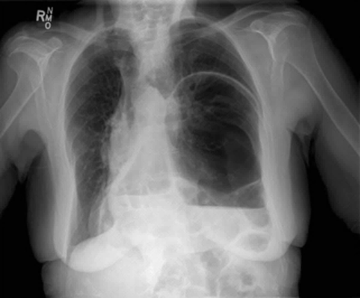
#Very_interesting_case
CXR of a patient presenting with vomiting and shortness of breath.
What is the diagnosis?
Xray findings?!
#MEDHM #MedX

English

@hemo_shk Acanthosis nigricans? Insulin resistance?
English

@DrAkhilX Necrobiosis lipoidica diabeticorum
Português

@IhabFathiSulima SLE , Renal hypertension?
Français





























