
Radilologist
122 posts

Radilologist
@Radil0logist
UK trainee. Like sticking needles into things. Here for the laughs.








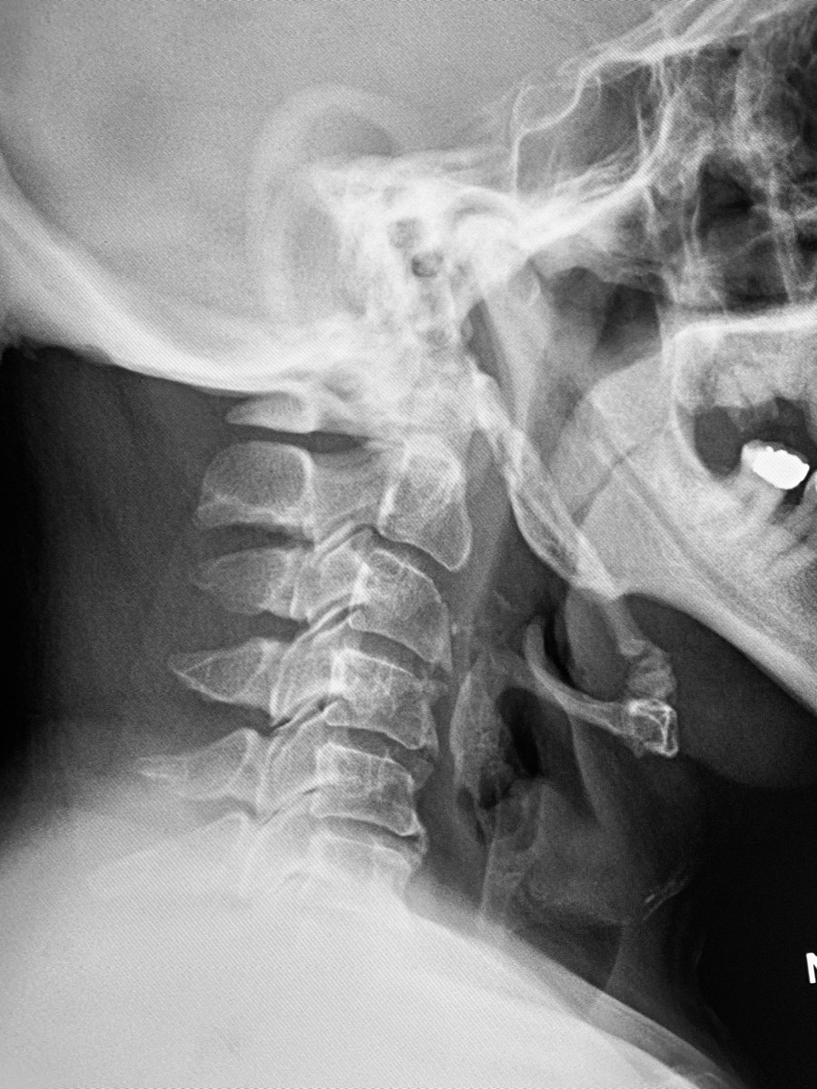
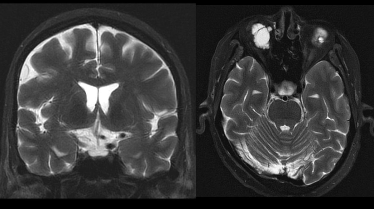
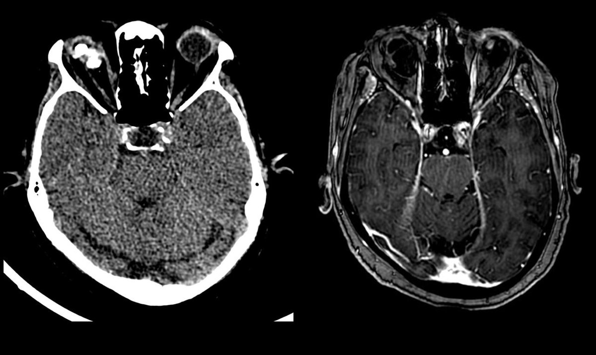
One of the largest malpractice awards ever just dropped: "Hospital on the hook for $120M jury verdict after residents miss signs of stroke on CT" radiologybusiness.com/topics/healthc… Always interested in learning from diagnostic error, I looked up the court documents.🧵pt1 (names redacted)







Ok, what’s your unpopular opinion in medicine that will get you in this position?

Should an LP be used in headache? Discussion at #ACEP23 as practice in USA changing to use CTA rather than LP after plain CT. Seems to be a good idea to avoid ‘admission for LP’ - but increase radiology load and probably needs experienced reporter.



I have just written to the #RCP to provide feedback on the NHS Long Term Workforce plan, the RCP's response to it & the College's recent Shape of Medicine report Please consider writing as well, especially if you have concerns about the workforce proposals... #MedTwitter










