


Renal Path Labs
934 posts

@RenalPathLabs
Renal Pathologist and Literature enthusiast!! Lifelong learner. Tweets are my own!
















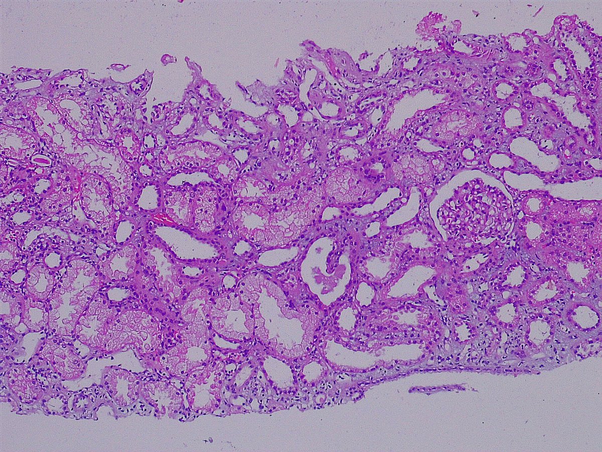
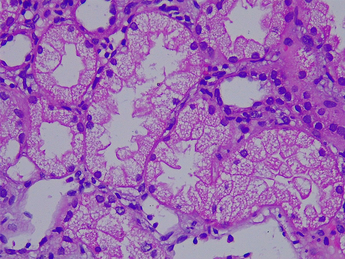
Until recently, I had not considered the possibility of 2 diagnoses. Perhaps this is how we should diagnose kidney biopsies with this IF staining pattern.

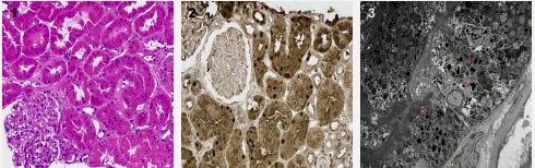
What is this finding? In a young male patient with hematuria and hearing loss, what would be your top diagnosis? #DiagnoseThis #pathology #renal #kidneypath #pathx #pathtwitter





















@podocytes Feast your eyes on this figure (1 of 4 pgs) from 2001 KI study. Still can't wrap my head around how this actually happens. How does the #RBC go through the #podocyte like it's not even there? #SeeingIsBelievingOrIsIt ncbi.nlm.nih.gov/pubmed/11380808




Bangladesh on Durga Temple demolition in Dhaka: "Removal of unauthorized structures in order to recover govt land is a regular & lawful administrative activity"







