Dr Vinay K S retweetledi
Dr Vinay K S
1.6K posts

Dr Vinay K S
@vinaypush
Pathologist- Institute of Nephrourology @bangalore,India Interested in Nephropath, uropath, tx pathology! GlomCon Fellow. Views and opinions - my own
Bengaluru, India Katılım Mayıs 2010
800 Takip Edilen512 Takipçiler
Dr Vinay K S retweetledi

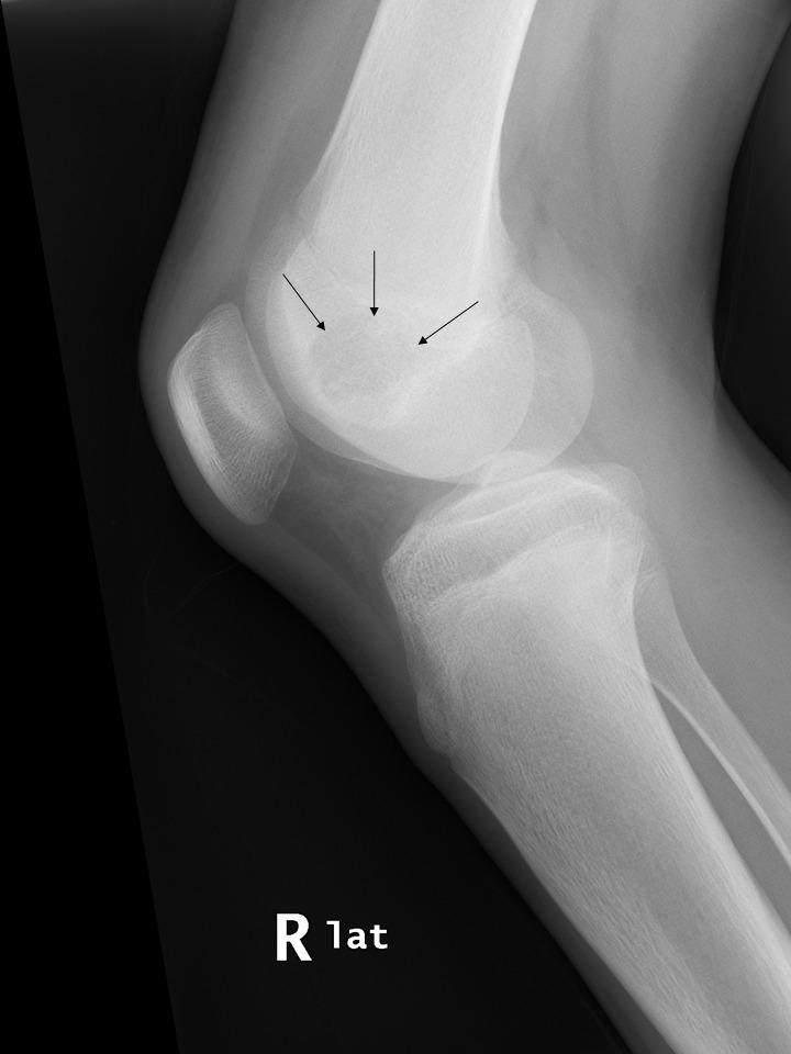
#PathQuiz 🔬🦴
A) Giant cell tumor of bone
B) Aneurysmal bone cyst
C) Chondromyxoid fibroma
D) Chondroblastoma
#Pathology #BonePath #OrthopedicPath
Clue in caption 🧐


English
Dr Vinay K S retweetledi

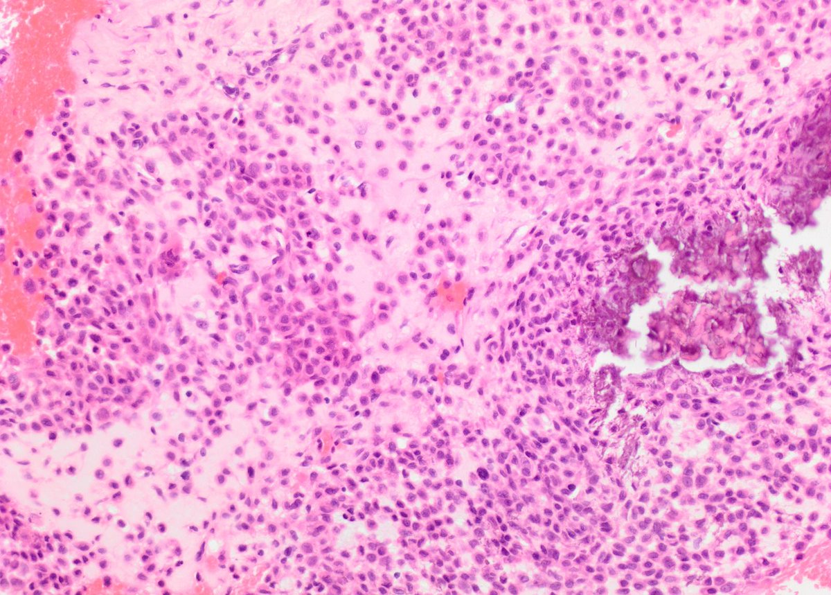
Sometimes the giant cells in granulomatous inflammation are truly giant!
#nephtwitter #pathtwitter #renal #kidneypath

English
Dr Vinay K S retweetledi

Join GlomCon this Sunday
B Cell Targeting Therapies in Immune Mediated Kidney Diseases by Dr. Silke R. Brix
ID: 817 4374 4653
Passcode: 202122
Sign up 👉🏻 bit.ly/signup-glomcon
#Glomcon

English
Dr Vinay K S retweetledi

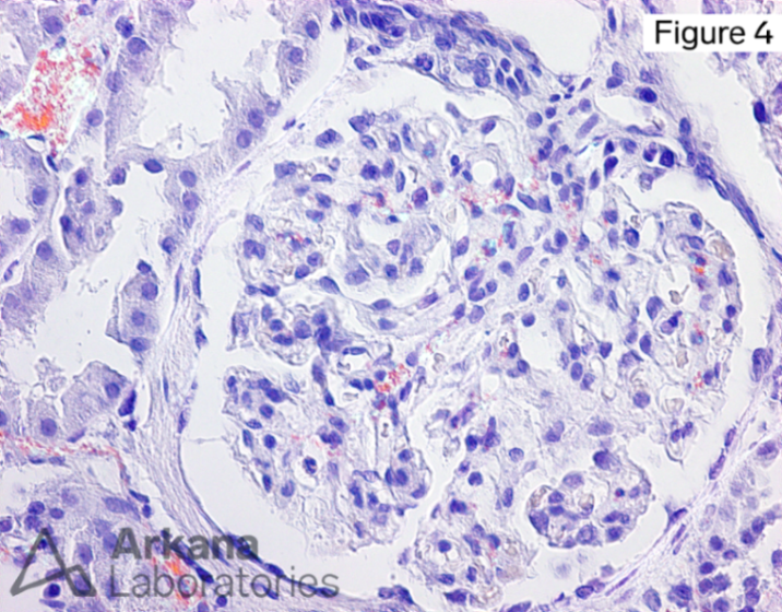
This is the biopsy of a 62yo Hispanic female with hematuria and proteinuria. What is this stain and what is the diagnosis?
#DiagnoseThis #nephtwitter #pathtwitter #renal #kidneypath




English
Dr Vinay K S retweetledi

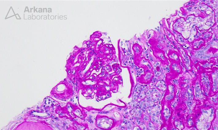
A well-prepared Jones methenamine silver stain can help localize immune deposits. By sharply defining the glomerular capillary basement membrane (GBM), the Jones stain confirms that the massive confluence of immune deposits is confined to the subendothelial region of the capillary wall. Predominantly subepithelial deposits, in contrast, would be expected in most cases of membranous glomerulopathy.
#TeachingPoints #kidneypath #renal #pathology

English
Dr Vinay K S retweetledi

Join GlomCon this Sunday
Advances in Anti-GBM Disease by Dr. Ming-hui Zhao
ID: 817 4374 4653
Passcode: 202122
Sign up 👉🏻 bit.ly/signup-glomcon
#Glomcon

English
Dr Vinay K S retweetledi

Join GlomCon this Sunday
On Amyloid, Paraproteins, and a View Beyond the Kidney by Dr. Helmut G. Rennke.
ID: 817 4374 4653
Passcode: 202122
Sign up 👉🏻 bit.ly/signup-glomcon
#Glomcon

English

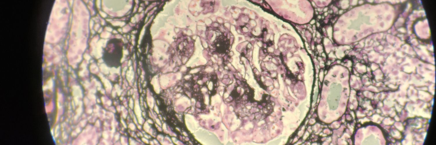
What is your diagnosis for this finding in a young patient with renal artery stenosis?
#DiagnoseThis #nephx #pathx #renal #kidneypath


English
Dr Vinay K S retweetledi

A case of fibrillary glomerulopathy showing smudgy mesangial/capillary loop staining for IgG, positive DNAJB9 staining and fibrils on EM. Superimposed on diabetic nephropathy with KW nodules. #renalpath #pathology #renal #pathx #pathtwitter #kidneypath




English
Dr Vinay K S retweetledi

Beautiful hyaline thrombi in a case of cryoglobulinemic glomerulonephritis. This patient has active hepatitis C. #renal #pathology #renalpath #pathx #pathtwitter #kidneypath

English
Dr Vinay K S retweetledi

A case of AA amyloidosis. This biopsy is from a homeless patient with numerous abscesses of the arms and legs, consistent with infected skin popping wounds due to IV drug use. #pathx #pathtwitter #renalpath #renal



English
Dr Vinay K S retweetledi
Dr Vinay K S retweetledi

Lupus nephritis case with prominent podocyte cytoplasmic vacuolization on LM with myelin figures revealed by EM. Probably HCQ effect but given its prominence genetic etiologies should be excluded (e.g., Fabry, LMX1B). #renalpath #pathtwitter #nephrology




English

What is your diagnosis in a patient with a particular “gray” appearance to their complexion?
#DiagnoseThis #pathology #renal #kidneypath

English
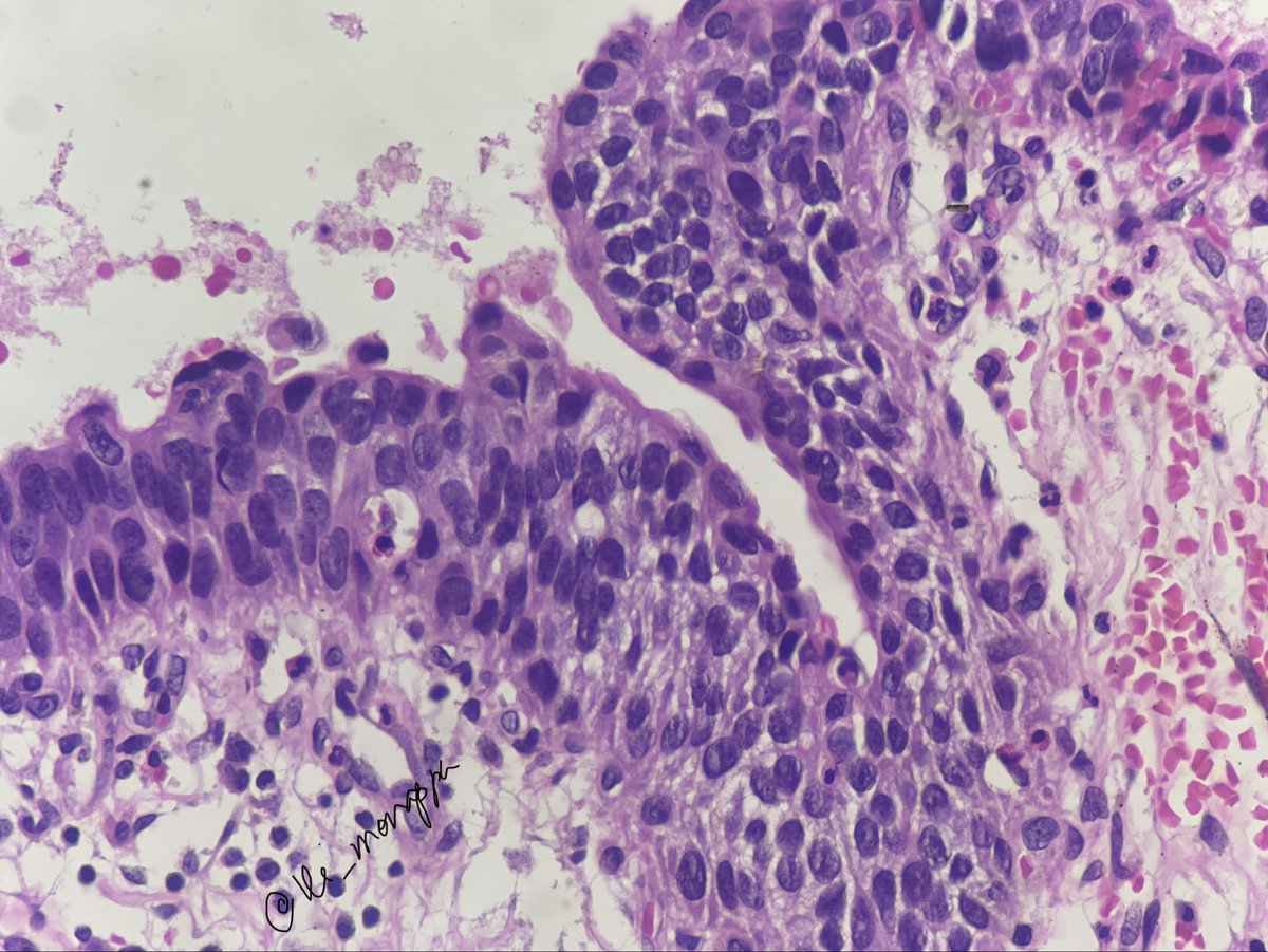
Dr Vinay K S retweetledi

60s F, bladder transurethral resection. What is your diagnosis?
#PathTwitter
@MGBpathology @MGHPathology


English
Dr Vinay K S retweetledi

Medullary angiitis has been associated with all the following except?
A) ANCA
B) IgA Nephropathy
C) Membranous GN
D) Antibiotic treatment/infection
#pathX #pathtwitter #renalX #kidneypath
English



