Shannon May retweetledi

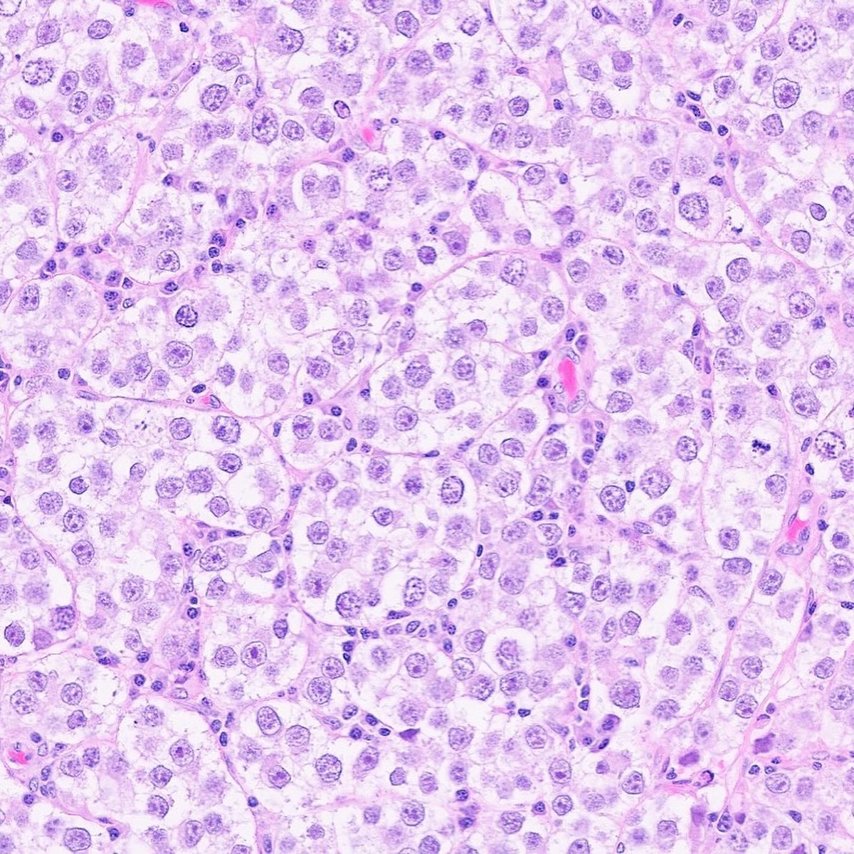
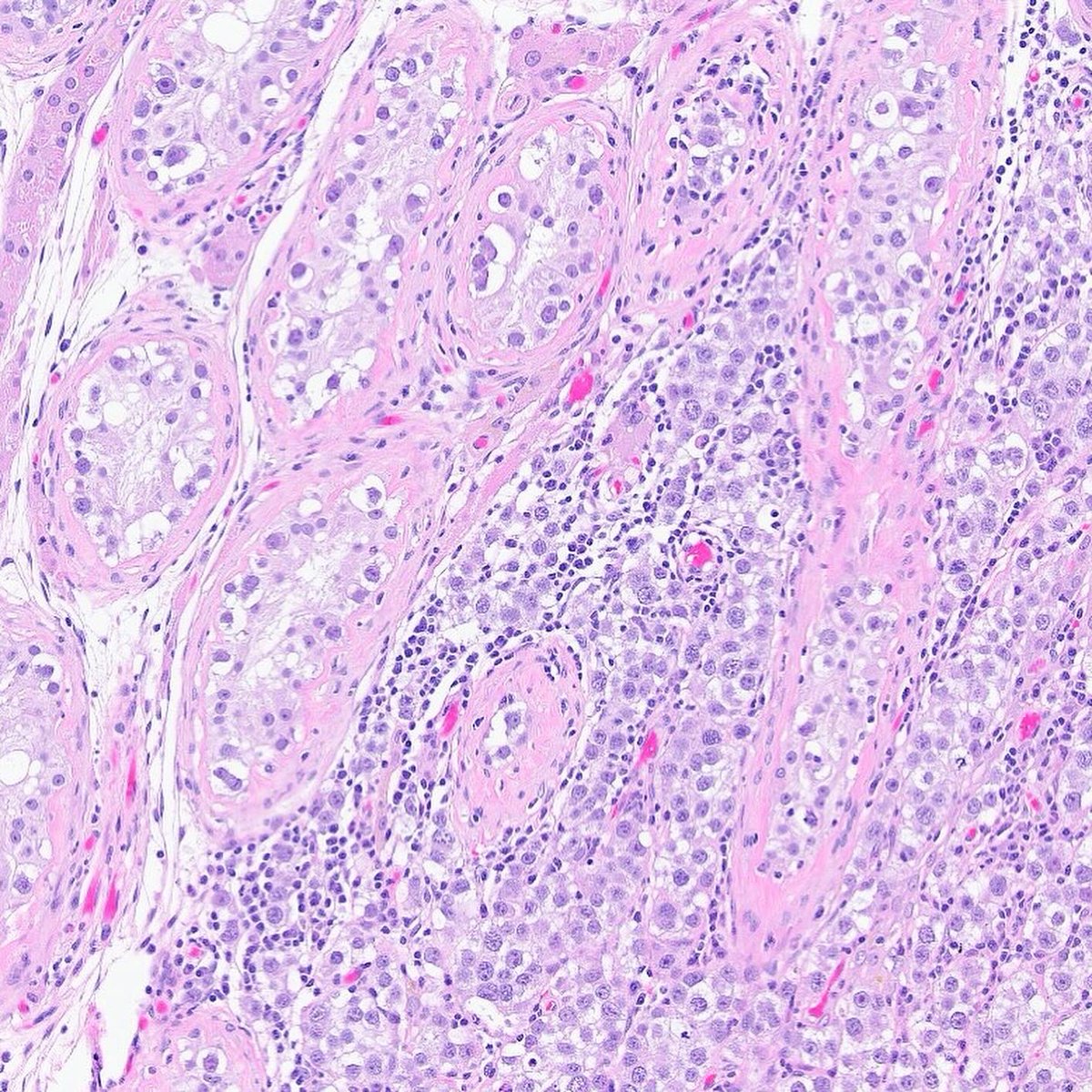
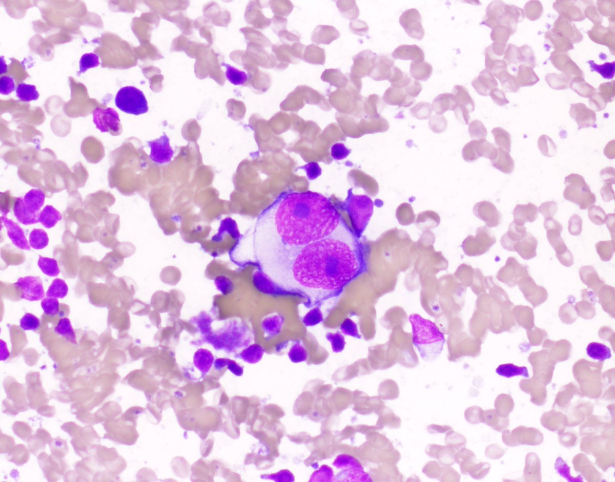
#OpenAccess! Timely recognition of TFE3-rearranged renal cell carcinoma’s distinct cytomorphologic and histomorphologic features is essential for accurate diagnosis and effective treatment.
acsjournals.onlinelibrary.wiley.com/doi/full/10.10…
@IUMedSchool @NU_Pathology #CytoPath

English





























