
Sean E. Sitton, MD
2.5K posts

Sean E. Sitton, MD
@SSittonMD
Husband, Father, and Board Certified Orthopaedic Sports Medicine Surgeon @AndrewsSportMed @AlabamaFTBL @IowaOrthoRes @BCMHouston @BYU
Chandler, AZ Katılım Şubat 2018
444 Takip Edilen1.1K Takipçiler

@JeremyBurnhamMD The “less harvest-site pain” is a myth. Same pain, if not worse than BTB in my experience. If your BTB patients are having a ton of anterior knee pain, you’re probably doing it wrong. If you don’t think QT patients have harvest site pain, you’re probably not asking/listening.
English

Quad tendon: 2x the cross-sectional area of patellar tendon, 38% greater load to failure, 68% greater stiffness, and less harvest-site pain (Shani et al., 2016). Re-rupture rate: QT 2.5% vs. hamstring 8.7%, p=0.01 (Hurley et al., 2022). A meta-analysis of 2,962 patients across 32 RCTs found QT superior to both BTB and hamstring on key outcome measures (Yang et al., 2020). BTB is still a great graft, but the data on QT keeps getting stronger.




English

@LenMacPT It’s those complex Lateral/LMORT ones I worry about with passive flexion past 90° early on. 😬

English

This consensus says limited WB and ROM to 90 for 6 weeks after isolated meniscus repairs and repairs with an ACL reconstruction. jospt.org/doi/10.2519/jo…
Can someone please send me the research that shows passive motion past 90 leads to higher retear rates?
I’ll be waiting because there must be substantial evidence if this consensus continues to make these recommendations.
English

@kevinfarmermd I hope they take away his Aggie class ring for that.
English


Docs love it… until a paper in AJSM shows higher retear rates or significantly longer RTS then they’ll continue to push it as a strong alternative to PTG because of less AKP, cosmetically better and a more robust graft. I disagree wholeheartedly that it’s a better graft. Too unpredictable with strength gains
English

CASE STUDY
ACL-QT 9 months out. About to be a college freshman athlete, highly motivated, weight room junkie BUT:
55% LSI on isometric strength testing at 90 deg and pain at QT, so sent him for an Isokinetic test
Still showed ~55% LSI but less pain.
We’ve done BFR, ice, vibration, hip extended knee extensions, NMES with extensions, squats, RFESS, and much more.
What do you do now?


English

@CenterRotation @jointdocShields @InvictaOrtho @generalorthomd @traumaticum @orthotraumamd @JanetConwayy @EcclesMD_Ortho @BrianChalmersMD @PeltMD @ChipRoutt @bethgausdenmd @NaanDerthaal @AAOS1 @orthogal21 @rkh_md Quad Tendon ACLs are the best!
English

What’s the biggest myth in your area of orthopaedics? @jointdocShields @InvictaOrtho @generalorthomd @traumaticum @orthotraumamd @JanetConwayy @EcclesMD_Ortho @BrianChalmersMD @PeltMD @ChipRoutt @bethgausdenmd @NaanDerthaal @AAOS1 @orthogal21 @rkh_md #orthotwitter
English

@LenMacPT @NuelleSportsMD I’d be shocked if there’s no sig difference in RTS between the two grafts. If there is any chance that there is increased risk of failure w/ BTB vs QT, it probably has to do with Increased RTS after BTB. ⬆️risk of failure if able to actually return to high risk sports.😉
English

@NuelleSportsMD Curious the details of that data when it comes out. QT behave so differently in response to motion, strength training and testing. Not just me… many veterans PTs all say the same thing
English

@LenMacPT I feel like listening to feedback from my PTs makes me a better surgeon and helps us take better care of patients. Even tho large majority of my ACLs are BTB auto, I also value my PT’s initial impressions during pre-hab which can often influence/change my surgical strategy.
English

@H2O_SportsMD @txsportsdoc @robgraymd @CE_HandSurg @NuelleSportsMD I used to love the PEEK screw for this very reason, until I had someone fall at 6 weeks post op and fx completely through that 8mm socket. 😬 Probably would still be using it if that hadn’t happened. 🤦🏼♂️I’ll never use the screw again for that reason.
English

@txsportsdoc @robgraymd @CE_HandSurg @NuelleSportsMD @SSittonMD Far cortical biceps button w/ PEEK 7 mm screw to further displace tendon ulnarly while filling residual dead space at the aperture. Tension slide technique to dunk in 8 mm socket w/ tying of traction sutures with knot pusher. Same retractors as Sean! Recon yesterday w ST graft.
English

To those fixing distal biceps tendons, Arthrex distal biceps button or Biomets? I like the Biomet instrumentation(all in one guide) but lot more steps,? @robgraymd @CE_HandSurg @NuelleSportsMD @H2O_SportsMD @SSittonMD
English

@txsportsdoc @robgraymd @CE_HandSurg @NuelleSportsMD @H2O_SportsMD Baby Hohmann on ulnar side, Army/Navy on Radial side and distally.
English

@SSittonMD @robgraymd @CE_HandSurg @NuelleSportsMD @H2O_SportsMD Nice technique. Seems like a good option, I may give it a try. What retractors do you use? I find Army/Navy retractors not great, Innomed makes a nice guide I was thinking of trying.
English

#USOPEN2025
Day # 1 at Oakmont.
Gorgeous layout/ massive undulated greens / killer rough▶️Open golf!
Famous # 3 “Church Pews




English

@LenMacPT BTB still the best. There’s a time/place for every graft, but for me nothing more satisfying than interference screw fixation of BTB bone blocks and a rock solid Lachman. It’s incredible to me that QT is pushed so much. “Laud the Fraud” 🤪
English

Every QT graft I start with or inherit has struggled big time with strength. Yeah, it may be an easier surgery (so I hear) but please temper patient expectations and don’t even think they’ll be ready any time before 9 months. I’d say they’re easily 2-4 months behind PTG patients.
Dan Lorenz@kcrehabguy
Two bangers in @ArthroscopyJ recently. Docs, what do you like to do w/ QT grafts? All soft tissue or bone block? Either way, I don't like QT grafts one bit. MCL one good stuff too! Either way, get ROM back before surgery or you make my life a lot harder. 😀
English

Grown men playing flag football is embarrassing. Is Olympic Tee Ball next?
ESPN@espn
Darrell Doucette III, quarterback of the USA national flag football team, says flag football players "deserve their opportunity" to play for Team USA in the 2028 Los Angeles Games 👀
English

@DanielLiechtiMD Interesting. I’m kinda convinced that extrusion is one of, if not the last thing to occur. Can’t prove that tho. Just makes the most sense in my head.
English

@SSittonMD I like the idea of first extrusion -> failure of MT ligament -> failure of the root with that edema secondary to increased tension.
But this patient has no extrusion and a normal MT ligament, which means is blood supply the issue? Wonder how we can answer this.
English

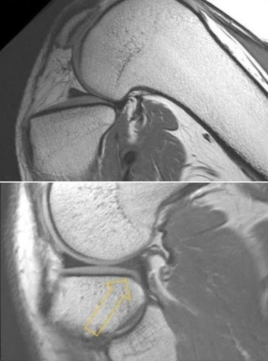
Interesting phenomenon: I call this the "pre" root tear with increased tibial signal but intact meniscus root.
When I see a patient that fits the demographics of a meniscus root tear with large knee effusion and posteromedial pain, I am more aggressive with MRI's. Have been seeing more of these as a result.
Have had good success in treating these with restricted weightbearing alone. (with permission)

English
Sean E. Sitton, MD retweetledi

𝐌𝐞𝐝𝐢𝐜𝐚𝐫𝐞 𝐢𝐬 𝐩𝐚𝐲𝐢𝐧𝐠 𝐃𝐨𝐜𝐭𝐨𝐫𝐬 𝟏𝟗𝟗𝟖 𝐰𝐚𝐠𝐞𝐬 𝐭𝐨 𝐩𝐫𝐚𝐜𝐭𝐢𝐜𝐞 𝟐𝟎𝟐𝟓 𝐦𝐞𝐝𝐢𝐜𝐢𝐧𝐞.
𝐒𝐢𝐧𝐜𝐞 𝟏𝟗𝟗𝟖, 𝐢𝐧𝐟𝐥𝐚𝐭𝐢𝐨𝐧 𝐡𝐚𝐬 𝐫𝐢𝐬𝐞𝐧 𝟖𝟐.𝟏%.
Medicare’s physician payment formula (the Conversion Factor)?
Down 9.9%.
That’s not “fiscal responsibility.”
That’s institutional gaslighting.
𝐌𝐞𝐚𝐧𝐰𝐡𝐢𝐥𝐞, 𝐝𝐞𝐟𝐞𝐧𝐬𝐞 𝐜𝐨𝐧𝐭𝐫𝐚𝐜𝐭𝐬, 𝐂𝐄𝐎 𝐬𝐚𝐥𝐚𝐫𝐢𝐞𝐬, 𝐚𝐧𝐝 𝐢𝐧𝐬𝐢𝐝𝐞𝐫 𝐭𝐫𝐚𝐝𝐞𝐬 𝐟𝐥𝐨𝐮𝐫𝐢𝐬𝐡.
But the doctors treating Medicare patients?
They’re being asked to do more with less, year after year, because “𝐡𝐞𝐲, 𝐰𝐞 𝐝𝐨𝐧’𝐭 𝐡𝐚𝐯𝐞 𝐭𝐢𝐦𝐞 𝐭𝐨 𝐛𝐫𝐢𝐛𝐞 𝐂𝐨𝐧𝐠𝐫𝐞𝐬𝐬 𝐥𝐢𝐤𝐞 𝐞𝐯𝐞𝐫𝐲𝐨𝐧𝐞 𝐞𝐥𝐬𝐞”, while the cost of running a practice skyrockets.
If the American people want Congress to preserve access to care for aging Americans, it’s time to speak up and tie Medicare’s payment formula to inflation, just like their own salaries.
𝐔𝐧𝐭𝐢𝐥 𝐭𝐡𝐞𝐧, 𝐠𝐨𝐨𝐝 𝐥𝐮𝐜𝐤 𝐟𝐢𝐧𝐝𝐢𝐧𝐠 𝐚 𝐝𝐨𝐜𝐭𝐨𝐫 𝐰𝐡𝐨’𝐥𝐥 𝐭𝐚𝐤𝐞 𝐌𝐞𝐝𝐢𝐜𝐚𝐫𝐞.
They’re busy trying to survive the 20th century in the 21st.
#HealthcarePolicy #Medicare #PhysicianBurnout #InflationMath #FixTheFormula

English