Sabitlenmiş Tweet
Sean Hacking
1.4K posts

Sean Hacking
@SeanHacking
Precision Medicine. Asst Prof, Pathology @NYUGrossman
New York, New York Katılım Kasım 2021
2K Takip Edilen1.2K Takipçiler
Sean Hacking retweetledi

I am honored to serve as the new Director of the @Perlmutter_CC. Thanks to Dean/CEO Alec Kimmelman @nyulangone for this opportunity. Excited to partner with @JohnPLeonardMD & the entire PCC community as we build our next exciting chapter. Lots to come!
prnewswire.com/news-releases/…

English

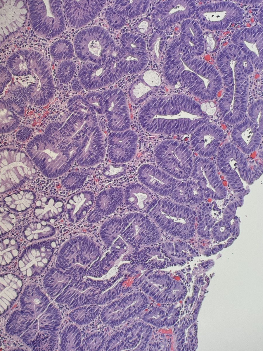
Collision dysplasia: traditional serrated adenoma abutting high‑grade anal intraepithelial neoplasia (AIN 2/3) #pathology #PathTwitter



English
Sean Hacking retweetledi

What a pleasure to work with rising pathology star, @FranReyesMD et al, to address gaps in pathology MedEd that are worldwide.
Read more below & let us know your thoughts!
@UMichPath @KMirza @atman_ci
Fran Reyes, MD@FranReyesMD
Pathology exposure in Spanish medical schools is strikingly low and strongly influences residency choices against the specialty. Our nationwide study reveals the current landscape + concrete proposals to make pathology more visible & attractive to students. Link below! 📚🔬
English

Sean Hacking retweetledi

📢 New study alert!
🖥️Pathologists are cautiously exploring AI: familiar but not frequent users.
💿Mostly used for writing & research — not diagnosis.
👩💻Concerns: privacy, errors & unclear guidelines.
Read more: sciencedirect.com/science/articl…
Thoughts?💭
#Pathology #AI #MedTwitter


English
Sean Hacking retweetledi

Stop by to meet superstar medical students/future pathologists @Saniaqazi10 @elisarfarrell on Sunday Sep 14th, 12-1:30pm poster #158 and learn about AI usage in pathology
@DrBuiPathology @SeanHacking
#CAP25 #PathX
Sania Qazi@Saniaqazi10
Excited to share that we will be presenting our poster at #CAP25! This work explores how AI tools like ChatGPT are being used in pathology, where they help, and the future of their use. Looking forward to discussing the future of AI in pathology! #CAP2025 #Pathx #PathMatch26
English

✨Exciting news!✨
I’ve officially accepted Cytopathology Fellowship! @UMichPath 2027-2028
So excited to dive into the world of smears, cells, and sneaky diagnoses. Grateful for all the support—bring on the pap stains! 🧫🔬 #Cytopath #FellowshipMatch #PathLife

English
Sean Hacking retweetledi

Sharing for the genius behind this meme, my co-resident Chris Henderson.
Which one beat describes you? 😂
#DigPath @dpatweet @Pathologists @UMichPath #PathX

English
Sean Hacking retweetledi

🌍 IMGs face barriers to observerships—limited access, unclear pathways, and global inequities.
At MatchToPath.com, we’re bridging the gap with tools, transparency & opportunity.
📖 Read our latest piece: sciencedirect.com/science/articl…

English
Sean Hacking retweetledi
Sean Hacking retweetledi

we have so much data but the most
fierce 2 stats about @NYUGSOM_Path
Digital Pathology transformation are:
Surg Path cases digitized:
5/12/24: 0%
5/12/25: 100%
Surg Path cases SIGNED OUT digitally:
5/12/24: 0%
5/12/25: ~70% (!)
#pathtwitter #digitalpathology
English

Sean Hacking retweetledi

🚨 Don’t miss your chance! 🚨
How are AI & tools like ChatGPT shaping your pathology training & practice?
📝 Share your thoughts in this short, anonymous survey: umich.qualtrics.com/jfe/form/SV_0x…
Your input matters! 🌟 #Pathology #AI #ChatGPT @MeredithKHerman
English

@Andresangel3 Negative for dysplasia. Indefinite would be a push for me, there looks to be good maturation. P53 and Ki-67 may help.
English
Sean Hacking retweetledi

#PathX I’m curious, what version(s) of ChatGPT/AI do you use?
#pathology #medicaltwitter
@Path_Matt @SeanHacking @01sth02 @KMirza @DrBuiPathology
@cpschukow
GIF
English

@Andresangel3 Tubular adenoma with focal high-grade dysplasia
English

#GIpath #surgpath #Pathology 70 y/o man, rectal polyp. It is a tubular adenoma. High grade dysplasia ?

English
Sean Hacking retweetledi

Interpreter of all IgG4 maladies!!! Unknown slide session in the morning. Early Diwali gift -a masterclass with Dr. Vikram Deshpande. Thank you! Cool cases and fun anecdotes. More in the afternoon Grand Rounds!
@Vik_deshpandeMD
#PathTwitter

English


















