Seth Sheldon MD retweetledi
Seth Sheldon MD
112 posts

Seth Sheldon MD
@SethHSheldon
Academic Cardiac Electrophysiologist. University of Kansas Hospital (KUMC) Kansas City, Kansas
Katılım Nisan 2017
82 Takip Edilen681 Takipçiler

Happy GivingTuesday! Please consider donating to the Chris Klug Foundation (CKF) which helps raise awareness for tissue/organ donation. I am honored to be a part of their bike racing team for Unbound (gravel race) in the summer of 2025. runsignup.com/ckfsheldonunbo…
English
Seth Sheldon MD retweetledi

Yesterday, we performed our 1500th Watchman implant @KUHospital, one of the few sites in the country, to reach this milestone. We were able to achieve this with excellent outcomes. I am really proud of the team for its commitment to patient care and quality. @prasadchan @AmitNoheria @rheapimentel3 @KUCVM

English
Seth Sheldon MD retweetledi

Happy to have performed the 1st commercial case with FaraPulse PFA system in this part of the country.
Very excited to have the technology available here at @KUHospital to care for our patients more safely, efficiently and effectively. It is definitely an exciting time in EP!0


English
Seth Sheldon MD retweetledi

Hands-on learning at its finest! 👐 #EPeeps explored the latest integration of #RoboticEP with @AbbottCardio's #EnSiteX technology. We work well together🤝
#EPFellows #MedTech #OpenEP #SCRN2023

English

@DrJasonAndrade @nmarrouche @MarcDeyell @rhythmkris @chris_sohns @CHRS_SCR @atulverma_md All red not necessarily dense scar here. I would also look for residual electrical activation by shifting down the lower limit of “scar” from 0.25 mV to 0.10 or 0.05.
English

Appreciate the opportunity (@BSCCardiology and @ReddyEPS ) to complete our first patient in the ADVANTAGE study! Exciting to use PFA. Let's do some more! @KUCVM @rheapimentel3 @AmitNoheria @DrRigoRamirezEP @KUHospital

English
Seth Sheldon MD retweetledi

Congratulations to our graduating class! We know they'll do great. Its so wonderful to see them mature professionally. Bitter sweet! @OtherVivek @ChristianToquic @rheapimentel3 @SethHSheldon @KUCVM @jskoruth @gautamsand @narrowQRS

English
Seth Sheldon MD retweetledi

Great time with our KU team @ HRS in NOLA. @KUCVM @KUHospital @SethHSheldon @rheapimentel3 @AmitNoheria #EPeeps #HRS2023 @HRSonline @jskoruth @rdschaller

English
Seth Sheldon MD retweetledi

We are growing! #EPEEPs
@rheapimentel3 @SethHSheldon @DrRigoRamirezEP @AmitNoheria @KUCVM @KUHospital

English
Seth Sheldon MD retweetledi

Interesting…What does this mean for EP? Should we be expanding our training programs?
Atul Grover, MD, PhD@AtulGroverMD
FWIW, the US has about 1,100 people for every primary care physician in context, we have 22,000 for every oncologist 33,000 people for every ID doc 57,000 for every neurosurgeon 80,000 people for every vascular surgeon aamc.org/data-reports/w…
English
Seth Sheldon MD retweetledi

@DoctorPhillEP providing valuable lessons on dealing with complications at the KS-MO EP meeting @gautamsand @rajeshkabramd @ReddyEPS @SanjayaKGupta1 @SethHSheldon

English
Seth Sheldon MD retweetledi

Happy to have early access to OPTREL. Used for Ventricular and Atrial cases. Great maps. Local activation vectors are very helpful.
Looking forward to making it the go to catheter, especially for VT. @SethHSheldon @rheapimentel3 @BiosenseWebster @jskoruth @gautamsand @Drdevignair




English

@DoctorPhillEP @ReddyEPS @KUCVM @AmitNoheria @RentschlerLab @SBRT_CR @gdhugo @pcw_EP Thanks so much for presenting! Groundbreaking and innovative. Exciting to continue partnership.
English

Thank you @DoctorPhillEP for an excellent grand rounds lecture @KUCVM on non-invasive radioablaton and sharing your breakthrough work. We look forward to collaborating more with you. @AmitNoheria @SethHSheldon



English
Seth Sheldon MD retweetledi

Nice case with Stereotaxis!
75 y/o pt with St Jude Mech Aortic Valve with 22% PVC burden from AMC area. Tried manual first and then switched to stereotaxis with very good catheter control around the valve. @SethHSheldon @jskoruth @Stereotaxis @Peteweissmd @DoctorPhillEP




English

Thanks for the great session yesterday and helpful patient story regarding potential health impact of smart watches. youtu.be/xzRZEXBm7WE @KUCVM @KUHospital @rheapimentel3 @ReddyEPS @DrRigoRamirezEP

YouTube
English

@SanjayaKGupta1 @rheapimentel3 @MDT_Cardiac @MidAmericaHeart @KUMedCenter Great job @SanjayaKGupta1 @rheapimentel3 @MDT_Cardiac. Fantastic conference as always!
English

We had a great day of cardiology education at #CurrentCardiologyConcepts. Along with @rheapimentel3 we lead a pig heart dissection, a series of lectures and an interactive simulation of cardiology procedures. Thanks to @MDT_Cardiac for sponsoring! @MidAmericaHeart @KUMedCenter




English

@AimHigherStudy @AtlanticHealth @CooperHealthNJ @SlhvSt @VirtuaHealth @KUMedCenter @TweetPimaHeart Excited for this study! @rheapimentel3 @ReddyEPS @DrRigoRamirezEP @KUHospital
English

We are pleased to announce that six additional AIM HIGHer trial sites have been activated!
@AtlanticHealth
@CooperHealthNJ
@SlhvSt
@VirtuaHealth
@KUMedCenter
@TweetPimaHeart
#medicaldevices #heartfailure #CCM #Optimizer #health #cardiology #news #epeeps #AIMHIGHer #clinical

English
Seth Sheldon MD retweetledi

All Things Heart 3-10-22 youtu.be/enH-Yco0Xfk via @YouTube excited to be part of this weeks segment on alcohol and the heart😬😳. It’s truly sobering! @KUCVM @SethHSheldon @ReddyEPS @charlesporter99 @AlexisDelCid

YouTube
English

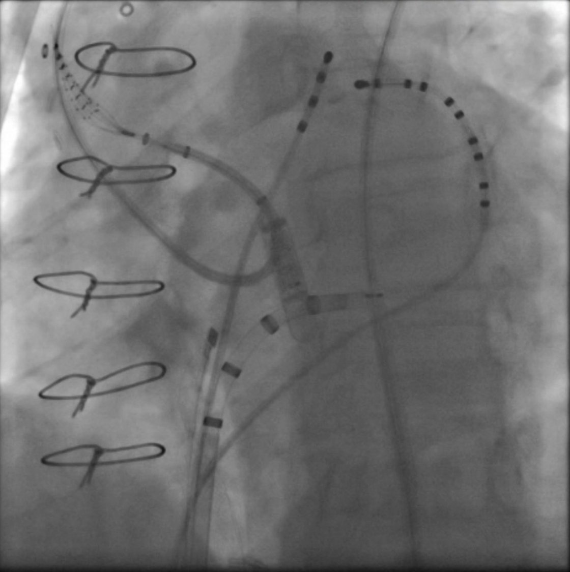
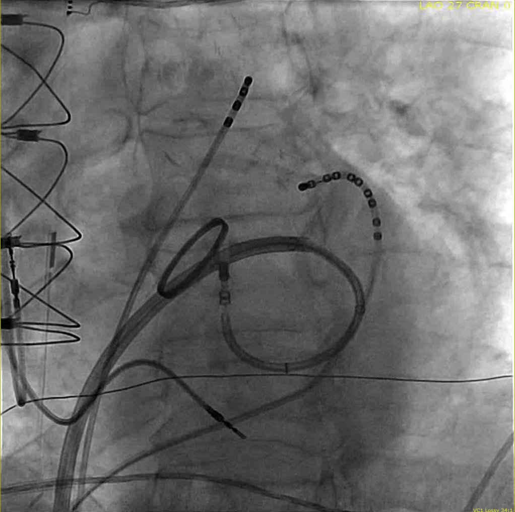
@annavarr @ReddyEPS @DrGregMichaud @jaymontgomery44 @ValayParikhMD I usually put a ring towards the entrance to the CS osmium to block the muscle sleeves extending from CS. Then I map connections from LA into the PLSVC and ablate in PLSVC until electrically silent with entrance and exit block.

English

@SethHSheldon @ReddyEPS @DrGregMichaud @jaymontgomery44 @ValayParikhMD I usually do a proximal and distal ring ablation
English

Patient with persistent AF and 3 prior AF ablations at an outside center. Congenital absence of the right SVC with massive PLSVC -- no prior ablation in the PLSVC. #EPPeeps What is your approach to ablation of PLSVC? @ReddyEPS @DrGregMichaud @jaymontgomery44 @ValayParikhMD
English






