Temma
108 posts

Temma
@TemmaKauf
GI and Cyto Pathologist, Mother of Dachshunds, Breaker of Slides
Tampa, FL Katılım Şubat 2020
250 Takip Edilen345 Takipçiler

@DrBuiPathology @TheUSCAP @dpatweet @pathologistmag Meanwhile we’re still waiting for the courier to bring us slides 😅
English

So excited to see the #pathologists cockpit for sign-out enabled by #digital #pathology becomes the reality. Please check it out at #USCAP2023. FYI this is the only US exhibit planned this year! @TheUSCAP @dpatweet @pathologistmag
English

@ThisisNeva @PathLabAndrew I’ll be honest here…I totally can’t remember hahah. It was years ago! I think I turned in the primary app like 2-3 months after it opened. Then I sat on secondaries for a really long time 😬.
English

@TemmaKauf @PathLabAndrew what do you consider late? beg of aug? september?
English

@PathLabAndrew Oh and I applied late! I got into 2 schools, but I’m sure I could have gotten into many more if I applied earlier!
English

@PathLabAndrew I refused to take the MCAT more than once. Got into a great new school with a 29. I honestly feel like I was more prepared for USMLE/residency/life than many people from the ~fancy~ med schools. Also met my husband at that school 😅. I would say it all worked out well!
English

@NRiddleMD You are a magician! I’ve killed every orchid I’ve ever owned 😅
English

My flowers all opened and made me happy. My shelf always makes me smile. I thought I’d share in case it made someone else smile 😊 Don’t mind the yellow hue, I use lamps instead of my office overhead lights…highly recommend #ShareTheLove #ShareKindness #Smile #PathologistLife



English

@EHJPathDiva @USFpathology @BMBoacMD @sbridgelmd My watch tells me I need more cardio! We have goals for the month 💪🏼
English
Temma retweetledi

Wellness Month - conquered the CSB Moffitt Site (stair) Mountain! We may have lost @EHJPathDiva at the top! We have all month to improve 😊#USFWellnessMonth2022



English

Settlement of the class-action filed by @RuffoloHooper secured compensation for PC-CP that went unpaid since 2016. Future payments required under the Settlement Agreement are anticipated to be a total value up to $51 million.
linkedin.com/posts/patrick-…

English

@driramasrar @BenMazer @smlungpathguy Yes, my residents probably think I’m cruel 😈🤪 @TemmaKauf @BMBoacMD @sbridgelmd @TobiOzoyaMD @SylerMMA @pakasticali
Severn, MD 🇺🇸 English

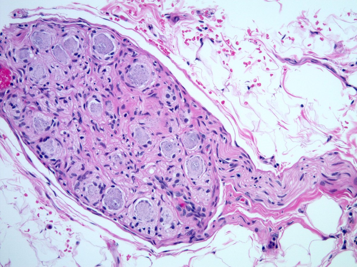
Attention PGY1s! The chances that your attending/staff/faculty will quiz you about these big cells are inversely proportional to the time you have spent in the program.
These are ganglion cells. #classicpath #Primer4PGY1

English
Temma retweetledi

Dr. Mitchell: It’s not about the boxes, it’s about the apple. It doesn’t matter that someone else “got more” than you, if you didn’t need more in order to reach the apple. #CAP21

English
Temma retweetledi


@NRiddleMD @BMBoacMD @JMGardnerMD @DrFNA @Sara_Jiang @ALBoothMD @USFpathology @AadilAhmedMD @abdulabidMD @jeremywade07 These photos are amazing!
English















