UWRenalPath
261 posts

UWRenalPath
@UWRenalPath
Renal Pathology Group at the University of Washington. Tweets do not represent medical advice.
Seattle, Washington, USA Katılım Aralık 2019
407 Takip Edilen742 Takipçiler

@JeanHouMD Can you do an oil red O stain on the frozen section to highlight the lipids?
English

For your viewing pleasure: two excellent presentations at @UWNephrology #renalpath Biopsy Grand Rounds by Dr. Behzad Najafian (anti-brush border disease, case 1) and @podocytes (CLL and PGNMID, case 2 at 30:27 minute mark). nephrology.uw.edu/education/kidn…
English
UWRenalPath retweetledi

BK nephropathy blasts this unfortunate transplanted kidney. So many viral inclusions. Not hard to find viral particles by EM either. #renalpath #nephropath @JeanHouMD




English

Reminder: @UWMedicine @uwlabmedpath switching its entire EHR and LIS to Epic starting tonight! To our referring providers -please do not hesitate to contact us directly if you do not receive your report. We appreciate your patience while we negotiate this transition!
English
UWRenalPath retweetledi
UWRenalPath retweetledi

UWRenalPath retweetledi

Listening now!! @ChangUCanSpare on lupus nephritis... also loving the white board with residua of impromptu lectures & @MIT diploma! #renalpath

English
UWRenalPath retweetledi

Prostatectomy in a patient managed for BPH... Surprise!!!😲🤩
I saw the calcified Schisto eggs only around seminal vesicles/ejaculatory ducts, wondering why🤔
#Gupath #TropicalPathology
@NigarAKhurram @anjuthevirgo @kis_lorand @PoloniaAntonio @atman_ci @priyaraomd @ebruserinsoz




English
UWRenalPath retweetledi

Cureus | Kidney Recovery From Acute Kidney Injury After Hematopoietic Stem Cell Transplant: A Systematic Review and Meta-Analysis cureus.com/articles/47366… @kianoushbk @MayoClinicNeph
English
UWRenalPath retweetledi

While our paper is undergoing formal peer review, we decided to pre-publish a version of our manuscript on Medrxiv! Thanks to all our collaborators for their amazing work on this study! On to a new paradigm for MCD and FSGS! #bwhpath #bwhkidney
medrxiv.org/content/10.110…
Boston, MA 🇺🇸 English
UWRenalPath retweetledi

Lupus and rituximab...a match...not exactly made in heaven...but perhaps getting there????
datastudio.google.com/s/inBipLS6KDc


English
UWRenalPath retweetledi

#askrenalpath Case of class IV lupus. IgA staining is dead negative throughout entire core (gloms and casts) (both frozen and parrafin IF). Rest of tissue stains like lupus. could this be a manifestation of systemic IgA deficiency? #renalpath #nephropath
English
UWRenalPath retweetledi
UWRenalPath retweetledi
UWRenalPath retweetledi

#850challenge #SockItToKidneyDisease update. 230k down, 620K to go. Nice to get a sub 2:09/500m split for today's 10K. Pity I don't have as nice views as @SusanQuaggin 😉



English
UWRenalPath retweetledi

UWRenalPath retweetledi

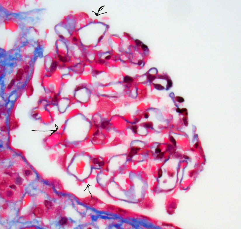
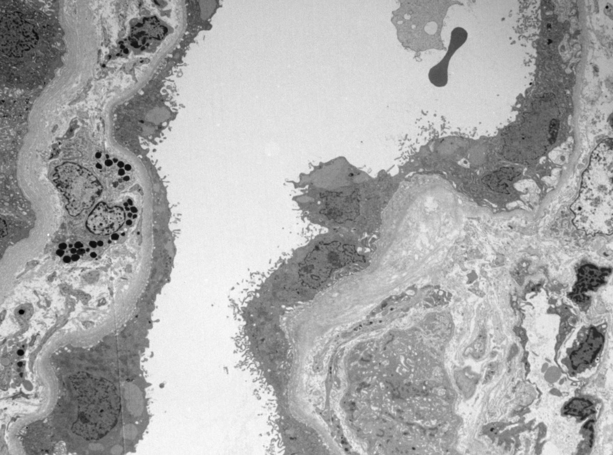
Florid infection related GN. Middle age IV drug user with AKI, hematuria, and heavy proteinuria. Bx with diffuse exudative GN, focal crescents, and many hump like deposits on LM, IF (C3 is picture), and EM. #renalpath #nephropath




English

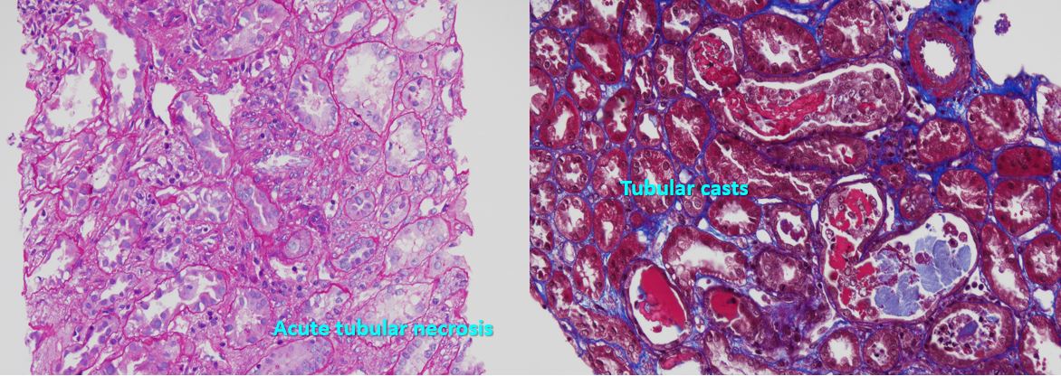
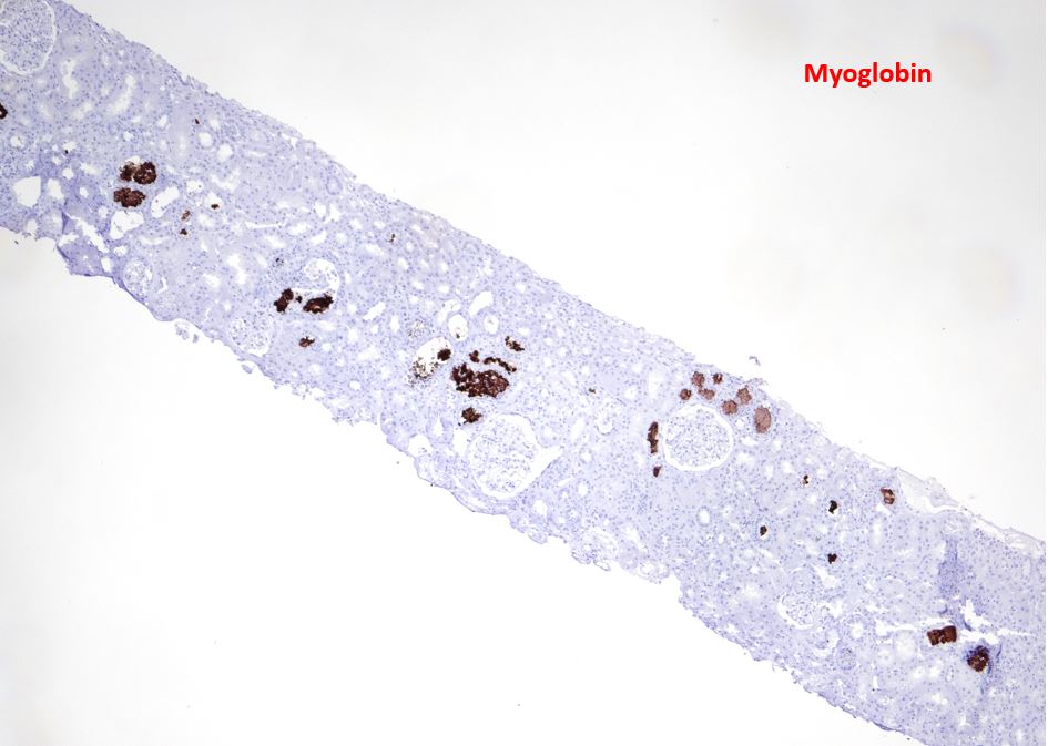
A patient presented to the emergency room with nausea, vomiting, abdominal pain, decreased urinary output, and rhabdomyolysis. History of heavy drinking and cocaine abuse. Below is his renal Bx @podocytes @koony84 @kelsmith_path @AlpersCharles @UWNephrology. DDx?



English















