Vanesa Bijol
151 posts

Vanesa Bijol
@VBijol
Kidney Pathologist
New York, NY Katılım Kasım 2018
163 Takip Edilen1.1K Takipçiler
Vanesa Bijol retweetledi

3/
This team also highlights the need to identify patients *at risk* for CKD at the time of a nephrectomy. See the work of @kdjhaveri @VBijol @purvasharma821 & @Yihe28745445
@renalpages also covered CKD & RCC at the @ASNKidney #KidneyWk meeting.
sites.google.com/view/nephrowor…


English

My husband doesn't understand my passion for GN. I feel the same about his numbers and Excel. KPCP fellowship!🤷🏻♀️#PodocyteLover @GlomCon #MeGusta #GlomConAmor @VBijol

English
Vanesa Bijol retweetledi

We spent an amazing week teaching at our sister center in Bucharest. Thank you to our hosts for showing us your beautiful country @ISNkidneycare @george_terinte @AndreiCapitane1 @VBijol @LJ_Castellanos @PamelaSSinger @basalely

English
Vanesa Bijol retweetledi

Renal pathologists are Nephrologists best friends! @VBijol 🫶🏼
GlomCon@GlomCon
Kidney Pathology Certificate Program Starting January 2023 pre-register at my.glomcon.org
English
Vanesa Bijol retweetledi

Vanesa Bijol retweetledi

Vanesa Bijol retweetledi

This will be an eye opening 👁👁 session, is an understatement
Presented by Dr Nast and moderated by Dr Bijol @VBijol
Come and 🧐 for yourself
GlomCon@GlomCon
Join our upcoming GlomCon talk on "The Value of Electron Microscopy in Renal Pathology" by Dr. Cynthia C Nast Join buff.ly/354cD8C Mtng ID: 875 5077 1266 Passcode 202122 sign up buff.ly/3FQefzr
English

@SethiRenalPath @SaynaNorouzi @GlomCon @BetterCallSeeth @jopelina @Nephronpower @poyanmehr @ninagoerlich @Koubar_Sahar @MayoClinicNeph @Nefrontera @IzabelaZakrocka @manasib33 @zainabo87 You are too humble, Sanjeev!!! This doesn’t happen randomly! Grateful for your work!
English

@VBijol @SaynaNorouzi @GlomCon @BetterCallSeeth @jopelina @Nephronpower @poyanmehr @ninagoerlich @Koubar_Sahar @MayoClinicNeph @Nefrontera @IzabelaZakrocka @manasib33 @zainabo87 Thanks so much. I did enjoy teaching @GlomCon today. The presentation today was my membranous nephropathy (MN) story over the last 5 years. I have been lucky 🍀 that I was able to find these unique proteins.
Minnesota, USA 🇺🇸 English

Today are learning from Dr. Sethi ✨🙌👌 @SethiRenalPath at @GlomCon fellowship. 🤩 #Inspired #GlomLovers #Nephtwitter
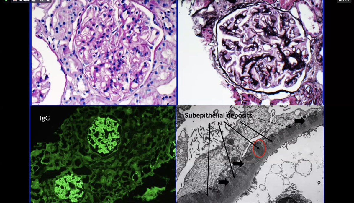
See these beautiful biopsy pics for membranous nephropathy.
@VBijol @BetterCallSeeth


English

@SethiRenalPath @SaynaNorouzi @GlomCon @BetterCallSeeth @jopelina @Nephronpower @poyanmehr @ninagoerlich @Koubar_Sahar @MayoClinicNeph @Nefrontera @IzabelaZakrocka @manasib33 @zainabo87 Such a privilege and treat to hear this impressive story of how you uncovered several of the antigen targets in membranous! Thank you for sharing!
English

@SaynaNorouzi @GlomCon @VBijol @BetterCallSeeth @jopelina @Nephronpower @poyanmehr @ninagoerlich @Koubar_Sahar @MayoClinicNeph @Nefrontera @IzabelaZakrocka @manasib33 @zainabo87 It was wonderful teaching at @GlomCon. Thanks for the invitation.
Minnesota, USA 🇺🇸 English

I would be interested to know what renal pathologists think is the average expected/useful lifespan of a transmission electron microscope in years? #askrenalpath
English

@radiologistpage I would have not thought that’s where the jejunum was
English

@JohnBrealey @VelezNephHepato I think sometimes it is EM, other times might be IF that saves the day. One just needs to be extra mindful
English

@VelezNephHepato @VBijol We had a case recently of a renal biopsy for suspected MGUS. Congo Red was negative however EM showed amyloid in one glomerular capillary loop and around one peritubular capillary. So EM can be really helpful in this situation.
English

@VelezNephHepato @VBijol Missing baby amyloid is one of my biggest fears, right up there with cockroaches.
English
Vanesa Bijol retweetledi

This is the most incredible paper I have read in a long time. The story of the initial spark, the correlation to pemphigus, the collaborative effort, and the profound significance…
I nominate this for paper of the year 2021
@AstridWeins
#NephJCKidneys
jasn.asnjournals.org/content/early/…
English

Congrats to Sue Hong on her promotion to associate professor of medicine @ZuckerSoM @HofNorthwellDOM -- so well deserved-- her interest in HTN, renal vascular disease and home dialysis!! @womeninnephro

English

@VBijol is basically a rockstar
So proud to share the same #pathology department during my residency
#path2path #pathtwitter #WomenInMedicine #MedEd
HofNorthwell Kidney@HofstraKidney
#WomenInMedicine Highlight from the Division: Dr. Vanesa Bijol @VBijol - Full Prof of Pathology, Director of Renal Pathology, @ISNkidneycare CNC course director, @GlomCon educator- first to describe biopsies of COVID19 related AKI @HofNorthwellDOM in 2020 jasn.asnjournals.org/content/31/9/1…
English

@HofstraKidney @VBijol @ISNkidneycare @GlomCon @HofNorthwellDOM @JASN_News She is amazing @VBijol 🙌👌
English

#WomenInMedicine Highlight from the Division: Dr. Vanesa Bijol @VBijol - Full Prof of Pathology, Director of Renal Pathology, @ISNkidneycare CNC course director, @GlomCon educator- first to describe biopsies of COVID19 related AKI @HofNorthwellDOM in 2020 jasn.asnjournals.org/content/31/9/1…

English










