

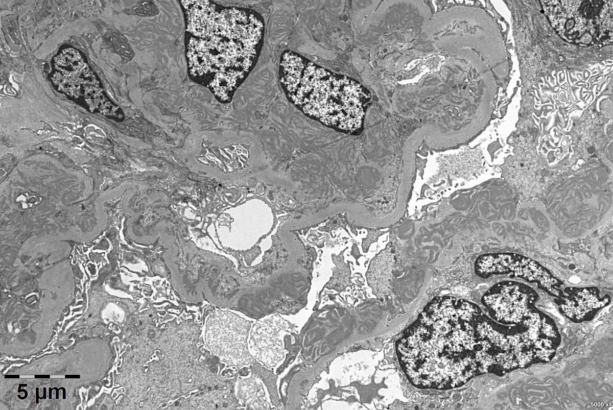
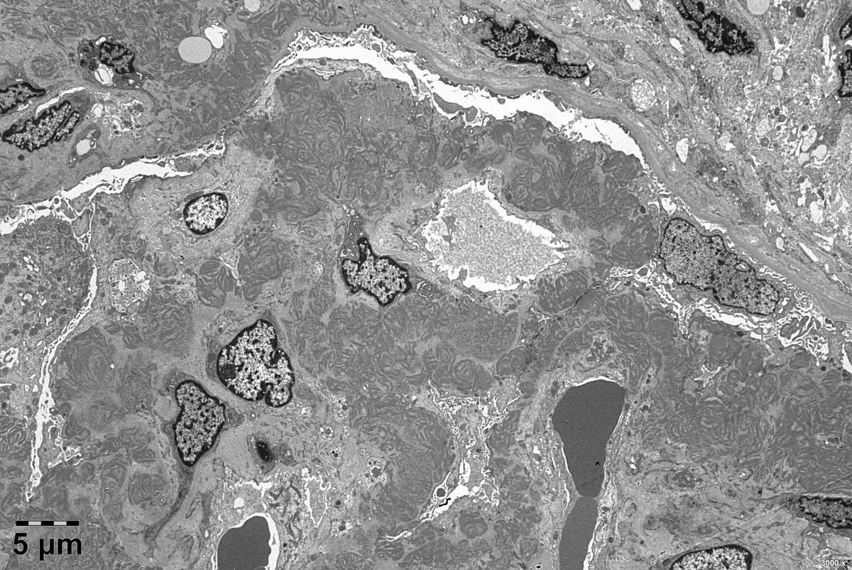
@Venkateshgilly2 @Ask_Renal @AskRenalPath @Renalpathsoc Correct, in addition case 1 also having Diabetes, had nodules, staining around TBM seen in picture.
Ask Renal Path
303 posts

@AskRenalPath
Ask your #renalpath question - add #askrenalpath to any tweet or quote RT. Bot created by @MedecineLibre will RT again. Moderated by @BCRenalPath & @Roboonya.


@Venkateshgilly2 @Ask_Renal @AskRenalPath @Renalpathsoc Correct, in addition case 1 also having Diabetes, had nodules, staining around TBM seen in picture.


@RenalPathLabs @Ask_Renal @AskRenalPath @Renalpathsoc Case 1 granular deposits along capillary basement membrane case 2 linear deposits along basement membrane, in addition with crescents. Case 2 anti GBM disease. Case 1 MGN






Question for #NephX #NephTwitter - NephRodby: @askrenal @AskRenalPath Table from bit.ly/4dsbK7G Problem is "DIP" is NEVER defined in paper! bit.ly/3WuxvN9 twitter.com/NephRodby/stat…


Question for #NephX #NephTwitter - kdjhaveri: What are other causes of zebra bodies on renal bx besides chloroquine based drugs and Fabry's disease @AskRenalPath @askrenal twitter.com/kdjhaveri/stat…


What are other causes of zebra bodies on renal bx besides chloroquine based drugs and Fabry's disease @AskRenalPath @askrenal
















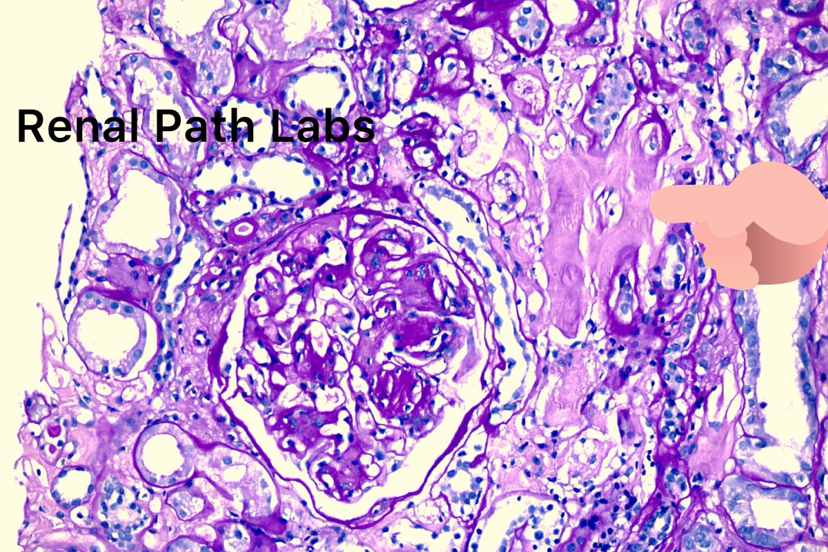
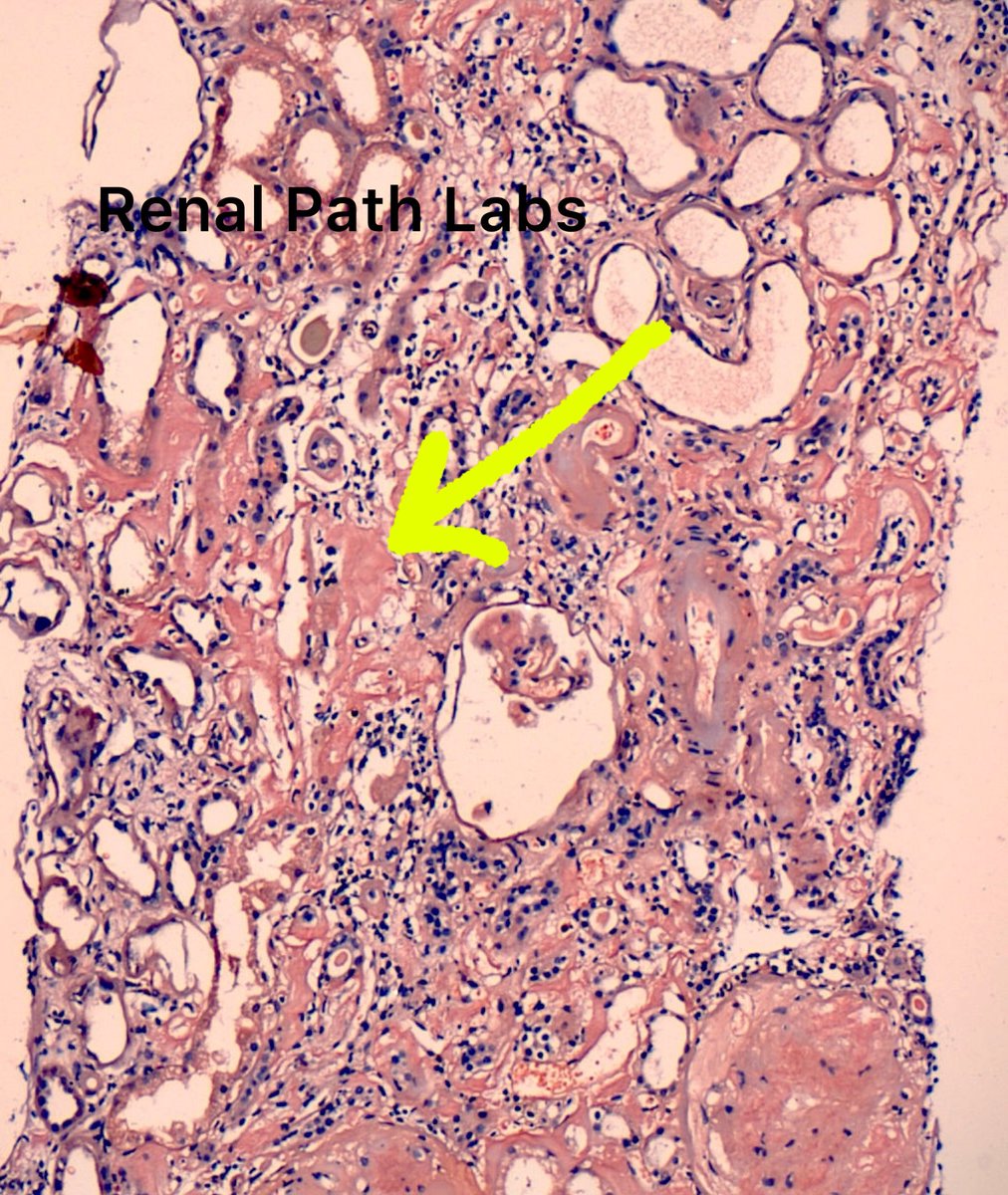
Friday brainstorming! Another case. 40 yr male, S. Creat-4.9 mg. What do you think it can be?? PG residents-Have a look! Renal Path Labs quiz @RenalPathLabs #RenalPath #AskRenal #AskrenalPath #RenalPathSociety See u all on Monday with some discussion!





