Sabitlenmiş Tweet

1/
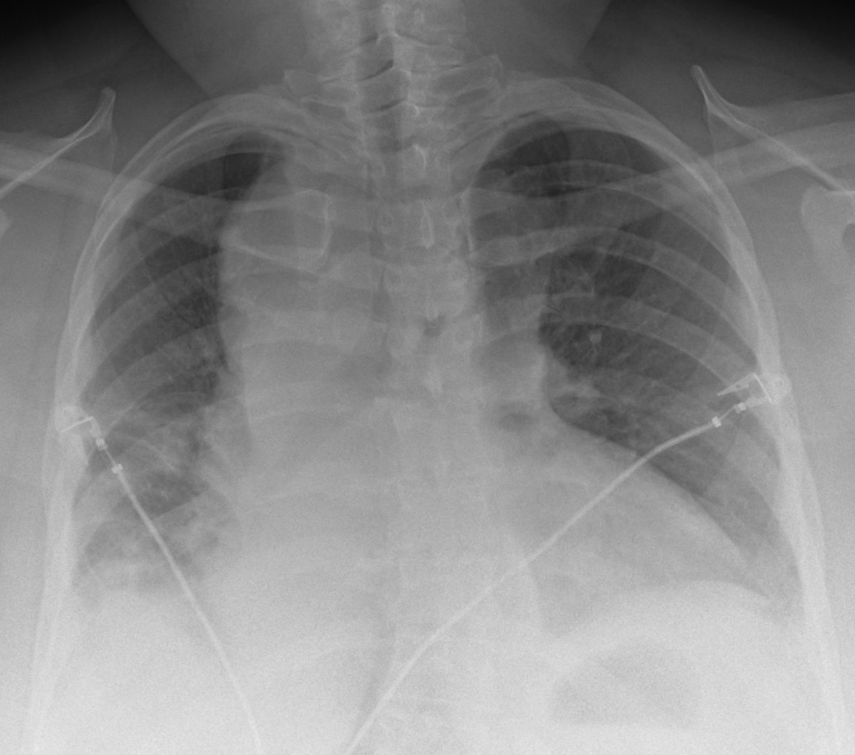
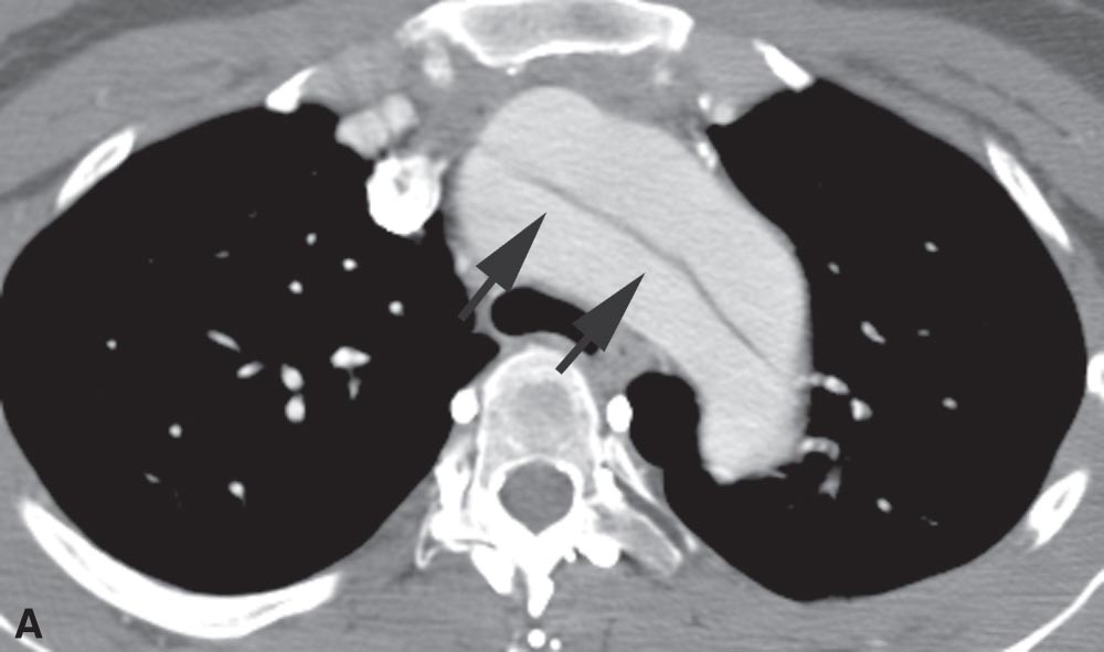
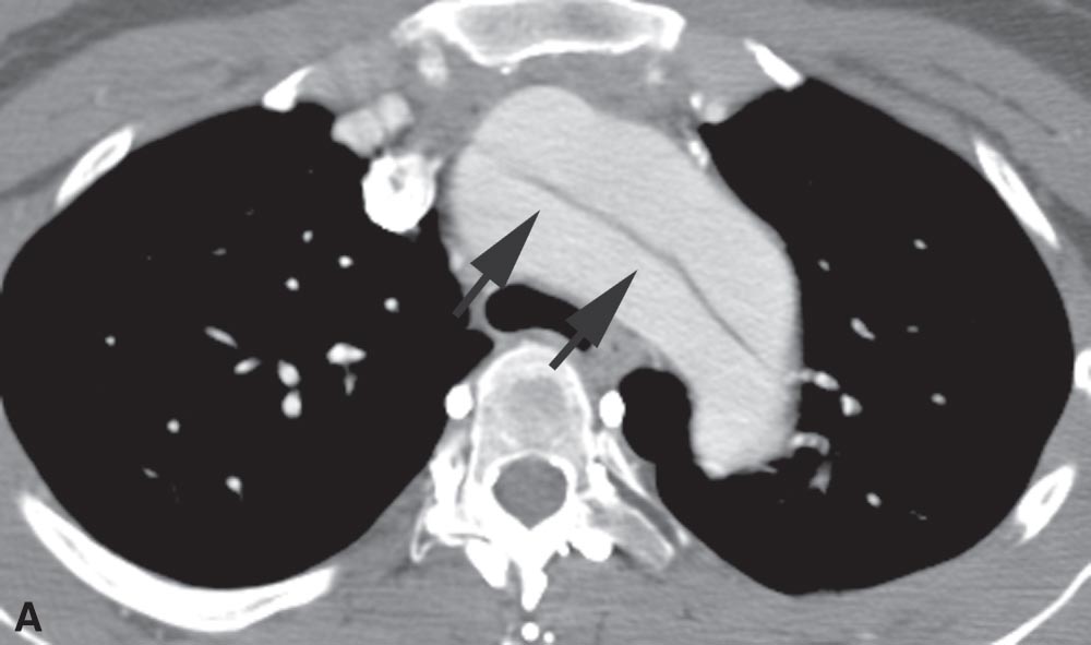
If you're expecting to see this👇every time you think dissection, you'll be missing a lot of dissections (>40%). Everyone talks re widened mediastinum but its absence does NOT exclude it. Let’s chat about pitfalls of dissection.
#MedTwitter #FOAMed @MedTweetorials @RosenelliEM

English


















