C. J. Jared Chen, MD, FAANS

340 posts

C. J. Jared Chen, MD, FAANS banner
C. J. Jared Chen, MD, FAANS

C. J. Jared Chen, MD, FAANS

@chenjared

Associate Professor, #Cerebrovascular & #Endovascular #Neurosurgery @CHIhealth @Creighton | @TJUHNeurosurg '22 | @UVAneurosurg '21

Omaha, NE Katılım Aralık 2013
415 Takip Edilen1.7K Takipçiler
C. J. Jared Chen, MD, FAANS retweetledi
Kristina Ramirez Garcia
Kristina Ramirez Garcia@Kristinarg98·
Great experience presenting our abstract at #ISC2026 on migraine and intracerebral hemorrhage outcomes (DP238). Thanks to @chenjared for the mentorship and guidance, and to our co-authors and the UTHealth Houston team for the support. #stroke
Kristina Ramirez Garcia tweet mediaKristina Ramirez Garcia tweet mediaKristina Ramirez Garcia tweet media
English
1
1
7
501
C. J. Jared Chen, MD, FAANS retweetledi
Collins Mokua 🇰🇪
Collins Mokua 🇰🇪@collinsmok·
Thrilled to share our most recent work published in @NeurosurgeryCNS. Our findings suggest that embolization before SRS may lower the risk of both radiologic and permanent symptomatic RIC. Special thanks to my mentor Dr. @chenjared and the IRRF. Read at doi.org/10.1227/neu.00…
English
2
3
8
672
C. J. Jared Chen, MD, FAANS
C. J. Jared Chen, MD, FAANS@chenjared·
Congrats @StavTjoumakaris !
Pascal Jabbour MD, FAANS, FACS, FAHA@PascalJabbourMD

It is my great pleasure and honor to announce that @StavTjoumakaris has been appointed Interim Chair of the Department of Neurosurgery @TJUHNeurosurg A distinguished leader in the field, she has made significant contributions to patient care, medical education, and innovative research. Her leadership and dedication to the field will ensure the continued growth and success of the Department of Neurosurgery at @TJUHospital . Proud of you Stav, very well deserved

English
0
1
13
955
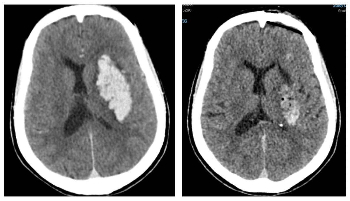
C. J. Jared Chen, MD, FAANS
C. J. Jared Chen, MD, FAANS@chenjared·
45F w right side plegia and AMS. CTH w 38mL hypertensive left BG #ICH and 4mm MLS. ICH evacuated using @integra_life Aurora Surgiscope w good patient recovery.
C. J. Jared Chen, MD, FAANS tweet media
English
1
1
18
2.3K