Sabitlenmiş Tweet
Deepa Nagarajan
1.4K posts

Deepa Nagarajan
@deepa_renad4
DM Oncopathology. Pathology brings me back to Twitter! God's answers are wiser than our prayers!
India Katılım Eylül 2012
350 Takip Edilen737 Takipçiler
Deepa Nagarajan retweetledi

Breast
Histologic Variants of Invasive Lobular Carcinoma (ILC)
-Many of these variants coexists and could be difficult to separate one from the other
New variants (WHO 6th edition)
-ILC with extracellular mucin
-ILC with solid papillary growth
Dr. Sahin #USCAP25 #pathology #PathX


English

@JessicaATexere @pathologistmag Have sent the mail. Kindly check and let me know. Thanks in advance.
English

@deepa_renad4 @pathologistmag Amazing! Could you please email me (jess.allerton@conexiant.com) with the image file, title and short description of the piece, and confirming your full name/title/affiliation so we can credit you accordingly? Happy to answer Q's further there too 😊
English

@JessicaATexere @pathologistmag Sure . I am interested. Kindly provide more information.
English

@deepa_renad4 This is wonderful #pathart 👏 I'd love to include this in @pathologistmag 2026 image feature if you're interested? Happy to provide more info 😁
English
Deepa Nagarajan retweetledi
Deepa Nagarajan retweetledi
Deepa Nagarajan retweetledi

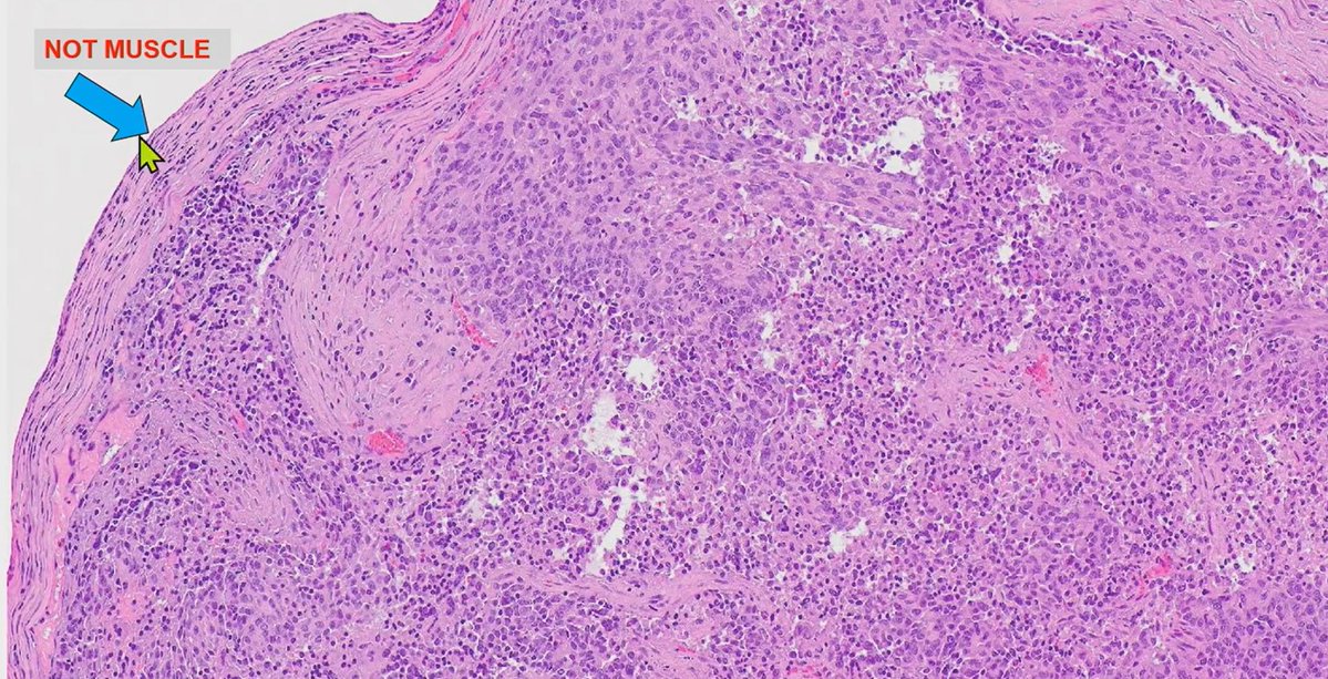
Patients with squamous cell carcinoma and margin evaluation in retromolar trigone -frozen sections pitfall ⚠️
Juxtaoral organ of Chievitz:
- Benign epithelial cords in nerve rich stroma
- Lobulated
- Well circumbscribed nest, cytologically bland
Dr. Nishino- 2025 Diagnostic Pathologic Update #USCAP #pathology #PathX




English
Deepa Nagarajan retweetledi

Endometrial carcinoma involving the fallopian tube is pT3a.
But what happens when tumor cells are seen in the fallopian tube lumen, unattached to the wall?
"The presence of detached tumor cells in the tubal lumen should be reported, but this finding per se does not upstage endometrial cancer."
Dr. Fadare - 2025 Diagnostic Pathology Update #USCAP #pathology #PathX



English
Deepa Nagarajan retweetledi

If an endometrial tumor involves the underlying connective tissue below the mesothelium (subserosa), it is considered serosal involvement for staging purposes, even if the uterus is grossly intact.
pT3a
FIGO 2023: IIIA2: Involvement of uterine subserosa or spread through the uterine serosa.
Dr. Fadare - 2025 Diagnostic Pathology Update #USCAP #pathology #PathX



English
Deepa Nagarajan retweetledi

Do we grade thyroid cancer? Yes.
Poorly differentiated carcinomas: Histologically poorly differentiated tumor with solid, trabecular, or insular pattern of growth with
- Convoluted nuclei, or
- ≥3 mitoses per 2 mm², or
- Tumor necrosis
If you have solid, trabecular, or insular pattern of growth and nuclear atypia of PTC, you call these PTC, solid subtype. If these have ≥5 mitoses per mm² or necrosis, you call them high-grade differentiated carcinoma.
Dr. Nishino - 2025 Diagnostic Pathology Update #USCAP #pathology #PathX



English
Deepa Nagarajan retweetledi

Alright, we have this cutie 🥰 !
I now have a better idea of the potential organ identification from this entomological autopsy. #pathology #pathologists #pathTwitter #dermpath #dermatologia #dermtwitter #entomology




English
Deepa Nagarajan retweetledi
Deepa Nagarajan retweetledi

UTROSCT
*⃣Pattern similar to SCTs
*⃣ May be at the base of adenosarcomas
*⃣ ESR1 and GREB1 Fusions
*⃣ Necrosis, mitoses >2/10, ESR1 with rhabdoid diff, GREB1 fusion: RECURRENCE
#GynPath #GynPathQuiz
Last two photos from Dr Bennett's @pathcast lecture: youtube.com/watch?time_con…

YouTube




English
Deepa Nagarajan retweetledi

Myoid gonadal stromal tumor
#GUpath #ISUPCaseOfMonth
➡️Rare spindle cell neoplasm of the testis exhibiting myoid differentiation toward intertubular primitive mesenchymal cells
➡️Median age: 42 years (range: 4-59)
➡️Unencapsulated, well-circumscribed
➡️Short fascicles and storiform patterns of spindle cells that may entrap seminiferous tubules and rete testis at the periphery; vascular ectasia may be observed within the tumor; absent or mild nuclear atypia
➡️Coexpress SMA and S100. Frequently positive for inhibin, FOXL2, SF1, and calretinin, while negative for SOX9 and WT1. A subset of tumors exhibits expression of desmin and keratin
➡️A consistent pattern of copy number gains suggestive of ploidy shifts has been reported, involving chromosomes 3, 6, 7, 8, 9, 11, 12, 14q, 15q, 17, 18q, 20, and 21q
➡️All reported cases to date have behaved in a benign fashion
(PMIDs: 25319984, 36226695, 33140129, 21813158)
@IntSocUropath @md_kyle




English
Deepa Nagarajan retweetledi

Breast-What about the term Invasive Papillary Carcinoma (IPC)?
WHO 6th edition (expected change-not published yet)
- Most cases reported as IPC are in fact Encapsulated Papillary Carcinomas (EPC) or Solid Papillary Carcinomas (SPC) or mets
- Carcinomas with growth pattern similar to EPC, high nuclear grade, increased mitotic activity, triple negative or HER2 positive may be pseudopapillary high grade invasive carcinoma
- Recommendation would be to call it EPC (stage it as DCIS) with a note commenting unusual features
***Controversial topic at WHO***
Dr. Brogi- Contemporary Issues in Breast Pathology #USCAP #pathology #PathX

English
Deepa Nagarajan retweetledi

Nephrogenic adenoma #GUpath
▶️Benign lesion with evidence of derivation from shed renal tubular cells after urothelial injury (PMID: 12200552); historically considered a metaplastic response (PMID: 16998318)
▶️Sites: ~80% bladder, ~15% urethra, ~5% ureter; rare in renal pelvis (PMID: 16998318)
▶️Tubules lined by flattened, cuboidal or hobnail cells; hyaline rim surrounds the tubules
▶️Morphologic variants: tubulocystic, signet ring cell-like, papillary, flat, solid, fibromyxoid
▶️IHC: positive for PAX8, AMACR, CK7
▶️Can mimic malignancy such as prostate cancer, nested/microcystic urothelial carcinoma, and clear cell adenocarcinoma of the urinary tract
English
Deepa Nagarajan retweetledi

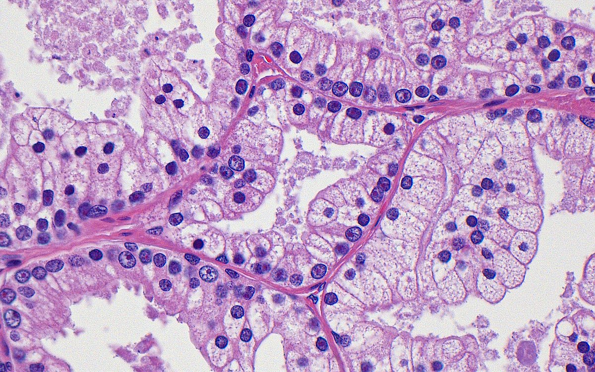
Prostate cancer...or...benign prostatic hyperplasia?
➡️Answer: Prostate cancer, pseudohyperplastic
(One clue: nucleoli in the high mag image!)
#GUpath #pathology #prostate #oncology #urology



English
Deepa Nagarajan retweetledi

Breast- Adenomyoepithelioma (AME)
Genetic subtypes of AME vary by ER status
- ER + or low+: PIK3CA or AKT1
- ER low or neg: HRAS and PIK3CA
Most malignant AME develop from ER - AMEs
Dr. Brogi- Contemporary Issues in Breast Pathology #USCAP #pathology #PathX

English
Deepa Nagarajan retweetledi

Tall cell carcinoma with reverse polarity (TCCRP)
- Solid and papillary patterns
- Immunoprofile is similar to UDH-ER low, CK 5/6 mosaic
- Include TCCRP in the differential diagnosis of "papilloma/atypical papilloma"
Dr. Brogi- Contemporary Issues in Breast Pathology #USCAP #pathology #PathX




English














