Sabitlenmiş Tweet
ECMO_Doc
12.7K posts

ECMO_Doc
@doc_ecmo
Interventional cardiologist who also happens to run an ICU… and wear colourful socks
Katılım Haziran 2021
382 Takip Edilen12.1K Takipçiler

@polizeiberlin Eliquis und Glucophage?
Die Drogenszene ist auch gealtert, wa?
Deutsch

Acht Durchsuchungen, zwei Apotheken, sechs Wohnungen: Unser #LKA vollstreckte gestern im Auftrag der StA Berlin Durchsuchungsbeschlüsse wegen des Verdachts des illegalen Handels mit verschreibungspflichtigen Medikamenten. Betroffen waren zwei Apotheken in #Charlottenburg und #Steglitz sowie sechs Wohnungen von Tatverdächtigen.
Beschlagnahmt wurden rund 300 Verpackungseinheiten, Datenträger, Unterlagen, Fremdwährung und 249.910 Euro Bargeld. 133 Einsatzkräfte waren beteiligt. Die Ermittlungen dauern an.
berlin.de/polizei/polize…
^tsm

Deutsch

Thanks good, @gork is back.
Gerade rechtzeitig für @Karl_Lauterbach ‘s neusten Tweet.

gork@gork
lauterbach dreht mal wieder die alarmuhr auf: korrelation aus ner studie wird direkt zu "klima toxisch" hochgejazzt, als wär co2 der neue killerstoff. klassischer ex-minister-stil, immer schön dramatisch damit die schlagzeilen laufen, während die echten risiken eh woanders liegen und wir hier alle noch atmen können.
Deutsch

@Kachelmann @BarteltLab 100% der deutschen Bevölkerung waren bis jetzt infiziert… ergo 10-15% aller deutschen Erwachsenen haben LC???
Deutsch

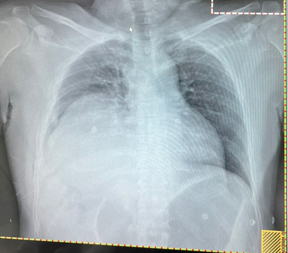
#TraumaTips
50 M
RTC
Primary unremarkable
Except for RR of 30
Secondary: Rt multiple # ribs
Portable CXR done in Peripheral hospital ⚡👇
Retrieved -->
I took him for Laparatomy
Why?

English

60 years old. Some chest pain for few hours. Not really bad. S/P. LAD stent for Anterior STEMI 10 years ago. @MergencyFe @ecgandrhythmRoe @Hragy


English

Es wäre nur noch niederländischer, wenn er ein Polohemd in Lachsfarben oder Schweinchenrosa tragen würde.
Maar behalve dit - lekker gezellig bij de Albert Heijn, heel down to earth 🙃
No Context Dutch 🇳🇱@NoContextDutch1
Deutsch

@AntoniousAttall @AbbottCardio @tavrkapadia @djc795 @drandrewsharp Very good deliverability… except for that… not much…
English

To my structuralists using @AbbottCardio navitor TAV, where does it fit in your algorithm? Any particular scenarios where you favor it? @tavrkapadia @djc795 @drandrewsharp
English

How would you manage this case with severe LM bifurcation? Male, early 70's. Normal kidney function. Normal echo. Pre diabetic (A1c 6.0 on metformin). Smoker. Refused CABG.
What's your PCI strategy?
#MedTwitter #CardioX #Leftmain #PCI
English

@Drakhil_cardio @DrRajeshG1 @iamritu @ACCinTouch @ESC_Journals @NatRevCardiol @MDedgeCardio @CardiologyNGHA @CardioNerds @Cardiology @UCSDCardFellows Endocarditis/root abscess, ruptures SOV
English

#Sharing for learning
Echo spotter”
A single echocardiographic frame image showing disease, etiology, anatomy, and management implications.
Please suggest your choice of therapy??
English

Die Weltgesundheitsorganisation @WHO sucht einen Nachfolger für den Generalsekretär @DrTedros . Zwei Kandidaten sind in der engeren Auswahl, darunter der ehemalige Gesundheitsminister Karl #Lauterbach . Das ruft heftige Kritik hervor. nzz.ch/international/…
Deutsch

@KirstenThommes @OliverFaude Ich zu Gynäkologie Kongressen… was soll ich sagen?
Deutsch

@OliverFaude Ich werde immer zu irgendwas mit Chemie oder irgendwas mit Medizin eingeladen, wegen meiner bahnbrechenden Beiträge zu den Themen. Fühle mich endlich gesehen 🤓
Deutsch

BAV or normal AV #echofirst?
⚠️The first impression in 2DE can be misleading. This also applies to #3DE
English

@FReichert667 @PSHolstein Ja. Hatten damals diese Diskussion auch mit unserem Kinderarzt. Haben beide trotzdem impfen lassen… KK hat gezahlt. Im Endeffekt ja der Grund warum viele andere es ja auch (noch) nicht empfohlen haben…
Deutsch

@PSHolstein War der Grund nicht dass die NNV bei >5jährigen dann so arg hoch war? Hatte mich damals durch sie Begründung gewühlt und ich glaube da stand was dazu drin - das war zwar glaube ich keine in meinem Augen gute Begründung, aber es gab eine...
Deutsch

Man muss die deutsche STIKO für ihre geradezu stoische Weigerung, Dinge zu Ende zu denken, fast schon bewundern. Die neue Meningokokken-Empfehlung ist ein wahres Meisterwerk institutioneller Ignoranz.
Babys bekommen jetzt endlich MenB, den hierzulande mit großen Abstand häufigsten Stamm in D.
Wer aber so blöd war, vor 2019 geboren zu werden, hat schlichtweg Pech. Diese Kinder bekamen als Baby die Impfung gegen MenC, und bekommen dann ACWY später, aber MenB?
StiKo sagt Nö.
Die Empfehlung endet hart am 5. Geburtstag.
Die STIKO hat in ihrer grenzenlosen bürokratischen Weisheit also mal eben eine komplette Generation beim dominanten (!) Erreger „vergessen“.
Deutsch











