Sabitlenmiş Tweet
Mirza Faisal Beg, Ph.D., P.Eng
67 posts

Mirza Faisal Beg, Ph.D., P.Eng
@drmfbeg
Professor of Engineering Science, Simon Fraser University CEO & CSO, Voronoi Health Analytics Inc. @VoronoiHealth Ph.D., BME, Johns Hopkins Univ.
Greater Vancouver Katılım Kasım 2015
156 Takip Edilen135 Takipçiler
Mirza Faisal Beg, Ph.D., P.Eng retweetledi

Body composition scores reflecting the quantity and quality of skeletal muscle were strongly correlated with patient frailty and associated with 30-day readmission and postop mortality and morbidity. ja.ma/3Wxo4Ot

English

@JosephHabibi_MD @AGA_CGH @KlatteDerkMD @LUMC_Leiden @MayoClinicGIHep @CandiceBolanMd @lvaroInostroza @mikewallacemd @PancPathologist @dr_perrotta @ClementLeeMD @BilalMohammadMD Automated body composition assessment from CT or PET-CT made simple by DAFS from @VoronoiHealth. Accurate segmentations on-site, no programming expertise required, saving valuable human time.
voronoihealthanalytics.com
English
Mirza Faisal Beg, Ph.D., P.Eng retweetledi

#CGH4ALL Can changes in body composition predict pancreatic adenoCa?
@AGA_CGH's #Pancreaticobiliary section assesses CT & 🧪biomarkers up to 36 months before diagnosis in 1690 pts!
👍CT assessments = fully automated abdominal segmentation algorithm
🔗cghjournal.org/article/S1542-…

English

@Radiology_AI @farrell192 @NIHRadiology Interested in ascites segmentation? Try DAFS from @VoronoiHealth that provides ascites and pleural fluid segmentation and quantification on your CT scans onsite.
No data transfer off-site.
No programming expertise needed.
Saving valuable human time.
voronoihealthanalytics.com/dafs
English

Evaluating #DeepLearning to detect & quantify ascites in patients with cirrhosis & ovarian cancer doi.org/10.1148/ryai.2… @farrell192 @NIHRadiology #cirrhosis #OvarianCancer #OncoRad

English
Mirza Faisal Beg, Ph.D., P.Eng retweetledi

@Radiology_AI @farrell192 @NIHRadiology DAFS platform provides ascites and pleural fluid quantification in an automated segmentation platform that delivers reliable and accurate segmentations. No data sharing nor any programming expertise needed.
voronoihealthanalytics.com

English

Check out our latest video showcasing DAFS Express, featured at the 2024 ESPEN Congress on Clinical Nutrition & Metabolism!
-MPR with DICOM slice selection
-Automated batch segmentation
-Fast and accurate single-slice body composition measurements
- inbuilt visual editor for quality assessment
-Get all measurements in csv and pdf reports
-Fully local processing
-No programming
-No tedious manual work
youtube.com/watch?v=7ANQ4D…

YouTube
English

@salvasapedraza Whole body automated CT segmentation using DAFS provides liver, spleen, kidneys, pancreas, gall-bladder, prostate among other tissues...in a fully self-contained platform that performs on-site processing. No programming skills or data transfer needed.
voronoihealthanalytics.com
English

Automated 3D segmentation of the liver and spleen in CT scans can provide volumetric CT attenuation-based parameters to detect and grade hepatic steatosis, applicable to pre-contrast and post-contrast images.
Salvador Pedraza@salvasapedraza
Yoo, J., Joo, I., Jeon, S.K. et al. Utilizing fully-automated 3D organ segmentation for hepatic steatosis assessment with CT attenuation-based parameters. Eur Radiol 34, 6205–6213 (2024). doi.org/10.1007/s00330…
English

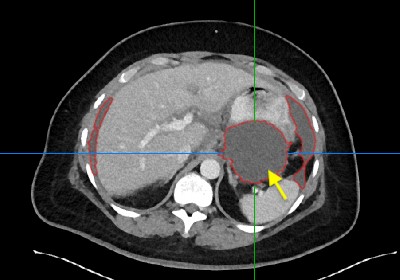
DAFS AI @VoronoiHealth was used in this paper to quickly and accurately analyze CT images, revealing higher sarcopenia rates in ACC patients compared to those with benign adrenal lesions.
fmai-hub.com/ai-enhances-un…
English

@BarbaraLT94 @EP_HSMarta @HSMarta_Cardio Great work!
Tracing the fibrous pericardium manually is tedious though.
DAFS @VoronoiHealth platform automates segmentation and measurement of epicardial, paracardial, visceral, subcutaneous, intramuscular fats, aorta and aortic calcification on-premise.

English

O primogénito 👶
Very happy to share the work of our team @EP_HSMarta at @HSMarta_Cardio
Epicardial adipose tissue volume assessed by cardiac CT as a predictor of atrial fibrillation recurrence following catheter ablation - Clinical Imaging clinicalimaging.org/article/S0899-…
English

@lopezunwired Hi Paul, please checkout DAFS @VoronoiHealth that provides multiple organ/tissue automated segmentations on-premise from CT scans
English

Segmentation of liver CT images based on weighted medical transformer model dlvr.it/T6ClM7 #MachineLearning #NatureJournal #AI

English

Pre-operative automated CT-derived body composition metrics may provide objective measure of frailty to identify patients at high risk of mortality or readmission due to surgery: analysis of 48,444 patient CTs using DAFS by @VoronoiHealth
jamanetwork.com/journals/jamas…
English
Mirza Faisal Beg, Ph.D., P.Eng retweetledi

New! #AI analysis of #bodycomposition can help identify patients with #frailty at risk of complications after surgery. Research led by @KPDOR @kpnorcal @PermanenteDocs out today in @JAMASurgery. #sarcopenia
Story: ibit.ly/9lIua

English

@JAMASurgery Wow, the paper analyzes N=48,444 patient CT scans! The scale of this analysis, thanks to automation with DAFS, is mind-boggling! Delighted to have contributed to this paper with DAFS from @VoronoiHealth and working towards clinical integration!
English
Mirza Faisal Beg, Ph.D., P.Eng retweetledi

Most viewed in the last 7 days from @JAMASurgery:
Can preoperative computed tomography scans provide patient frailty assessments that are associated with outcomes of abdominal surgery?
ja.ma/444Q2Da

English
Mirza Faisal Beg, Ph.D., P.Eng retweetledi

Congratulations @Dinh__Mai on Professor John Nicholls Prize @ioannadrami @etpring @DrLauraGould @GeoMalietzis @MrJTJenkins @drmfbeg @KarteekPopuri @bicycle_group @StMarksHospital @BowelsOfStMarks @bicycle_group #Frontiers2023

English
Mirza Faisal Beg, Ph.D., P.Eng retweetledi

Wishing a happy new year 2024 to all from the VHA DAFS team.
Here's a visualization of some of the latest models automatically generated from CT scans by our DAFS platform for quantitative assessment of organs and tissues as a function of disease and interventions (treatment, chemo, surgery, radiation, exercise, lifestyle, nutrition), and building individual predictive models. voronoihealthanalytics.com

English
Mirza Faisal Beg, Ph.D., P.Eng retweetledi

Introducing DAFS Express. Single-Slice Body Composition from CT made very simple.
Measure any axial CT slice from anywhere in the body. C3. T4. T12. L1. L3. Thigh. Anywhere from head to toe.
voronoihealthanalytics.com/dafsexpress
Batch-process and derive csv of body composition measurements and pdf reports from any number of images with a single click.
Integrated viewer for quality control. A one stop shop for CT-based body composition from any level in the body.
No more need for tedious image by image manual segmentation workflow. Save your precious human time with AI-based automation and batch-processing.
For a limited time, claim a FREE trial for DAFS Express here:
voronoihealthanalytics.com/dafsexpresstri…
English
Mirza Faisal Beg, Ph.D., P.Eng retweetledi

@bicycle_group 👀 body composition research at the #ACPGBI2023 @MrJTJenkins @Dinh__Mai @DrLauraGould @etpring @EMBurns2017 @ACPGBI @BowelsOfStMarks

English
