Dr Varsha Deepu retweetledi
Dr Varsha Deepu
23.8K posts

Dr Varsha Deepu retweetledi
Dr Varsha Deepu retweetledi
Dr Varsha Deepu retweetledi

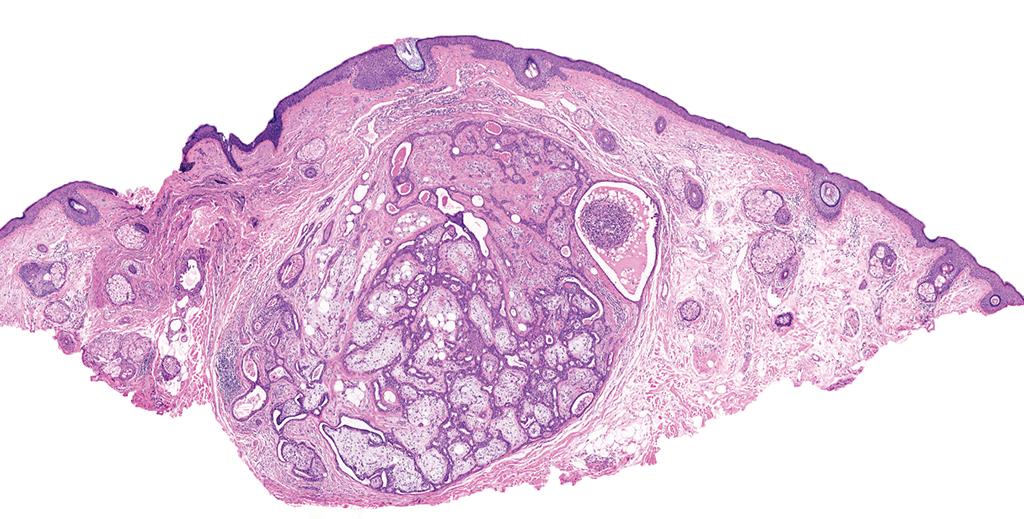
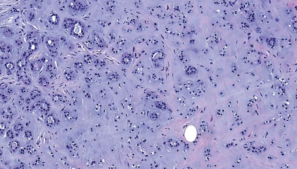
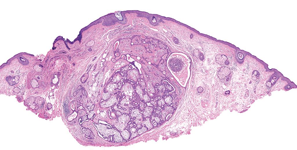
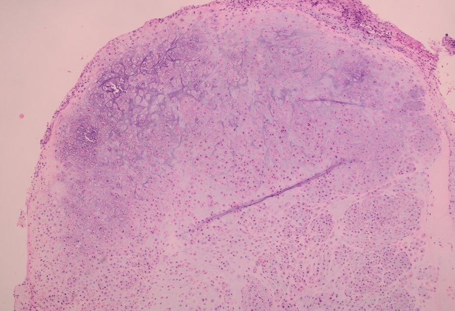
✅ Mixed tumor 🎯🍹
• Biphasic sweat gland neoplasm with epithelial and mesenchymal elements.
• Features branched tubules or round ducts set in a myxoid, chondroid, or osseous stroma.
• Most apocrine-pattern cases harbor a diagnostic PLAG1 rearrangement.
• Also known as chondroid syringoma, it is the cutaneous analog of pleomorphic adenoma.




English
Dr Varsha Deepu retweetledi

#PathQuiz 🔬 #DermPath
A) Mixed tumor
B) Myoepithelioma
C) Syringoma
D) Hidradenoma
#Pathology #DermPath

Eesti
Dr Varsha Deepu retweetledi

Not every epithelial tumor with papillary structures on the digit is an adenocarcinoma 🤔
Immunohistochemistry can help establish the diagnosis of hidradenoma with papillary structures.
doi: 10.1097/DAD.0000000000002291
by @JCandidoXavier
#ISDPDenver2026 #Path #pathology



English
Dr Varsha Deepu retweetledi
Dr Varsha Deepu retweetledi

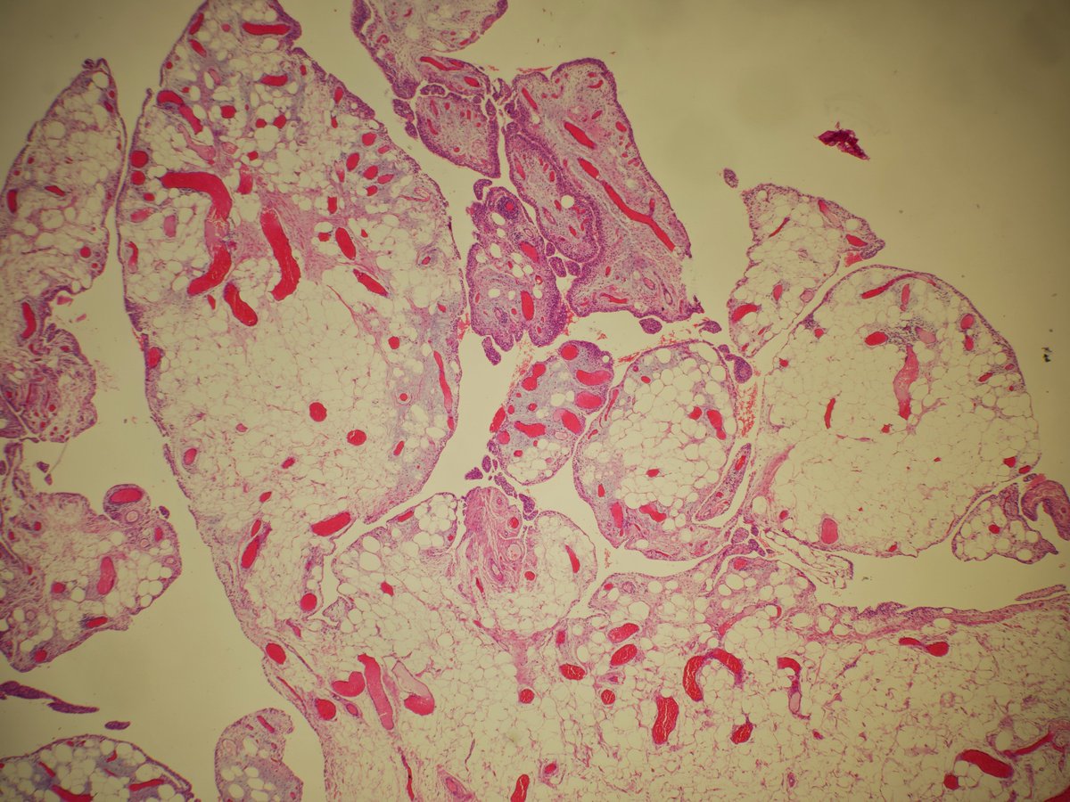
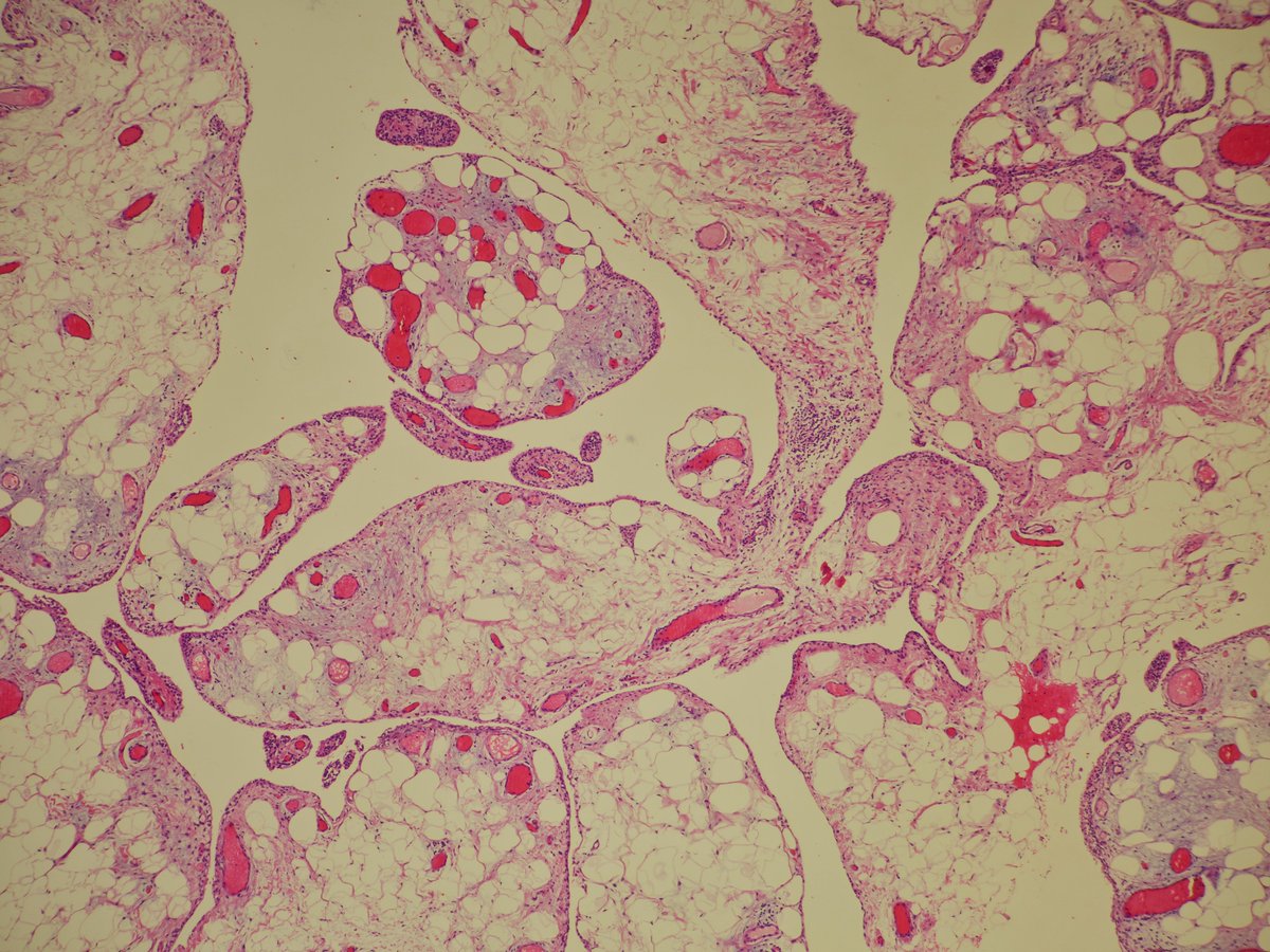
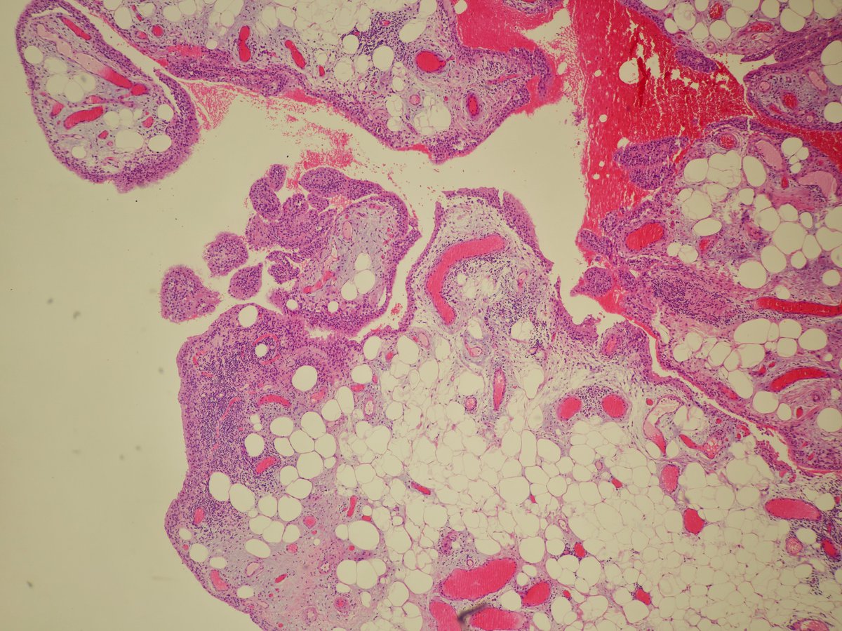
Synovial lipomatosis (lipoma arborescens, Hoffa's disease)
➡️Mature unremarkable fat extending to the partly hyperplastic synovial lining, imparting a villiform/papillary architecture
➡️Scattered chronic inflammation
➡️M>F, usually knee joint
#BSTPath #PathTwitter #pathoutpic




English
Dr Varsha Deepu retweetledi

❌ Atypical polypoid adenomyoma:
• This lesion is distinguished by its stroma, which consists of benign smooth muscle rather than endometrial stroma.
• It almost always shows squamous morular metaplasia, which is not the primary feature in this case.
• It typically presents as a discrete clinical polyp in younger, reproductive-aged women.


English
Dr Varsha Deepu retweetledi

❌ Endometrial polyp:
• While polyps are localized, they are characterized by a specialized fibrous stroma and thick-walled vessels.
• The glands within a polyp are typically inactive or show benign changes, not the complex architectural crowding seen here.
• Polyp stroma often has a different appearance from the surrounding functional endometrium.


English
Dr Varsha Deepu retweetledi

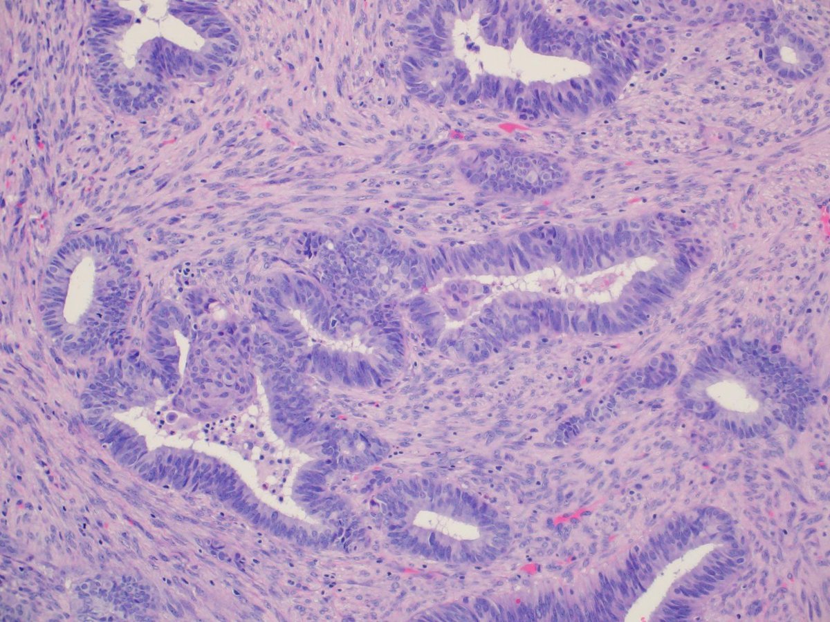
✅ Endometrial atypical hyperplasia / EIN 🎯
• Defined as a geographical lesion where the glandular volume exceeds the stromal volume.
• Shows significant cytological atypia (loss of polarity, rounded nuclei) distinct from background glands.
• It is a clonal proliferation and a direct precursor to low-grade endometrioid adenocarcinoma.
• Often associated with loss of PTEN or PAX2 expression.




English
Dr Varsha Deepu retweetledi

❌ Endometrial hyperplasia without atypia:
• This represents a field effect of branched or dilated glands across the whole specimen.
• Crucially, it lacks the localized, geographical expansion seen in atypical hyperplasia.
• The nuclei remain Cigar-shaped and pseudostratified, lacking the rounded, pleomorphic look of EIN.


English
Dr Varsha Deepu retweetledi

#PathQuiz 🔬
A) Hyperplasia without atypia
B) Hyperplasia with atypia
C) Endometrial polyp
D) Atypical polypoid adenomyoma
#Pathology #GYNPath #Endometrium
Clue in caption 🧐

English
Dr Varsha Deepu retweetledi
Dr Varsha Deepu retweetledi

New in #HumPathol: Osteosarcomas with H3F3A mutation a clinicopathological and molecular genetic study of 7 cases with review of the literature. sciencedirect.com/science/articl… #pathology #PathTwitter #PathX #BSTpath

English
Dr Varsha Deepu retweetledi

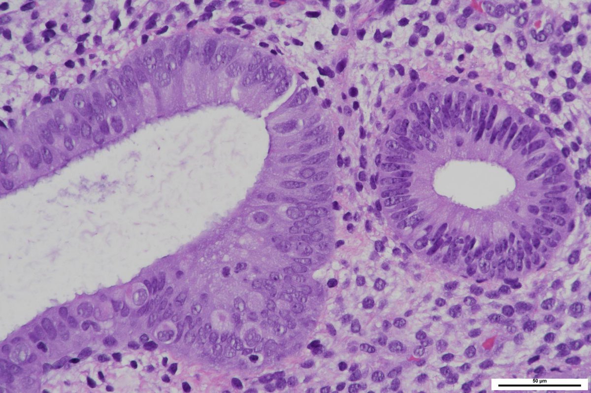
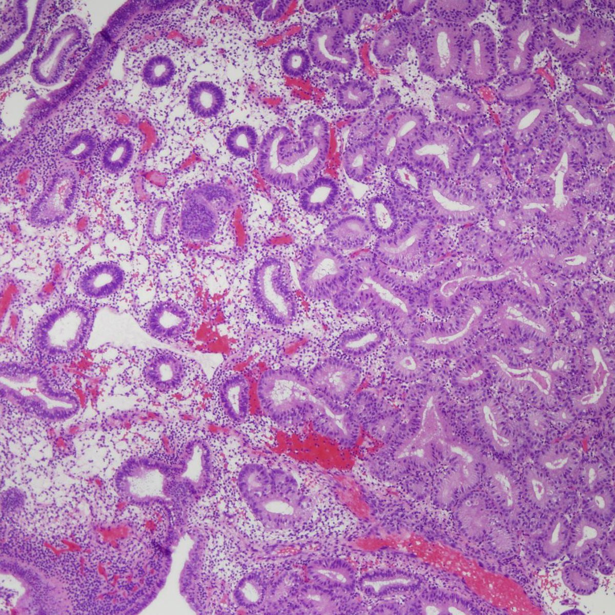
☝🏼papillary renal cell carcinoma (not shown)
✌🏼papillary adenoma (left), papillary neoplasm reverse polarity (right)
#gupath #pathtwitter #pathoutpic



English
Dr Varsha Deepu retweetledi

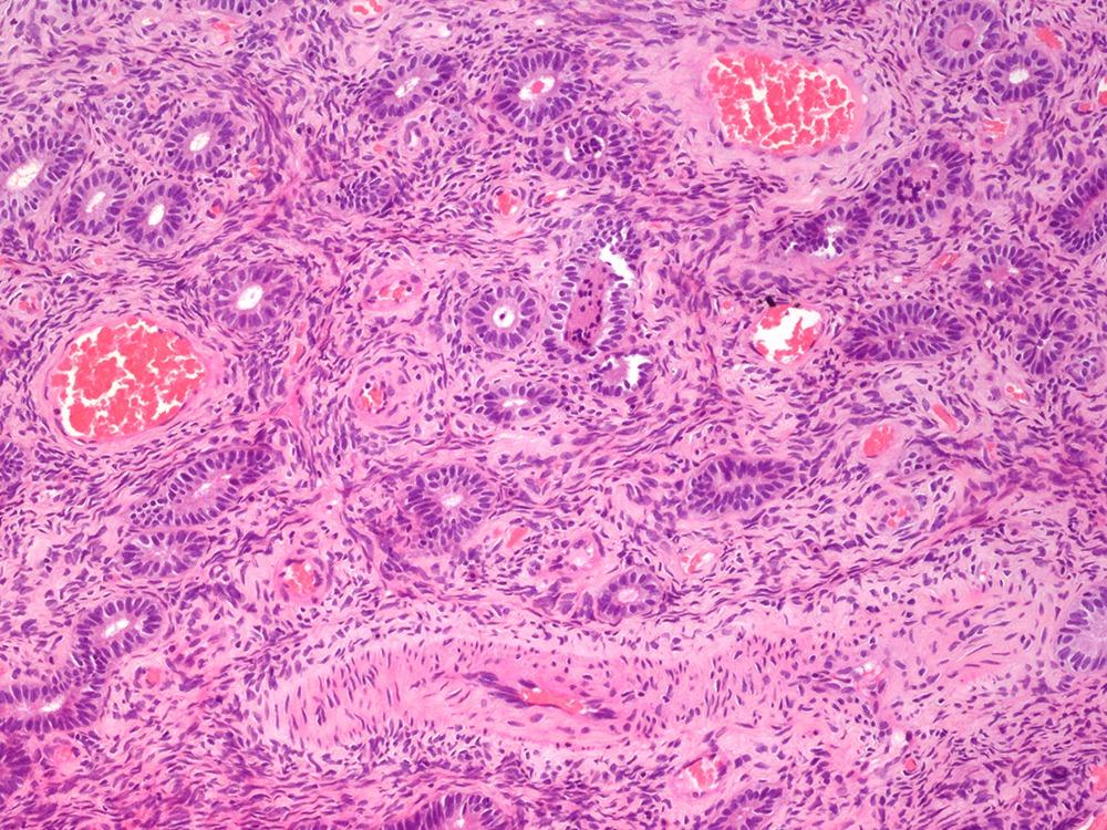
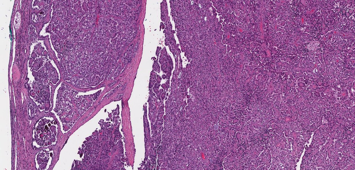
#twoforoneseries radical nephrectomy☝🏼well-circumscribed, variegated yellow-orange to red-brown, hemorrhagic mass
✌🏼incidental, irregular gray to yellow to slightly orange lesions (>15) throughout the kidney, ranging from minute to 0.8 cm in size

English
Dr Varsha Deepu retweetledi
Dr Varsha Deepu retweetledi

Dr Varsha Deepu retweetledi

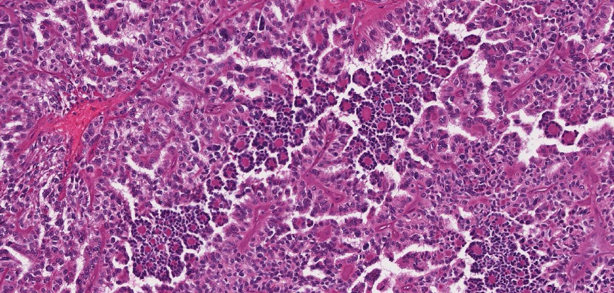
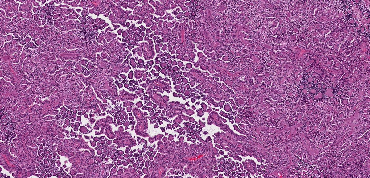
#slidearchiveseries biphasic hyalinizing psammomatous renal cell carcinoma
#gupath #pathtwitter #pathoutpic
🔬 biphasic pattern: smaller cells around basement membrane material within larger acini, forming a glomeruloid pattern
🧬 assoc with somatic mutations in NF2 gene




English




















