David Zbrojkiewicz
8 posts


How would you treat this #periprosthetic #fracture #orthotwitter?
@jointdocShields @joanna_maggs @ExeterHipUnit @steveduckett @CenterRotation @timpetheram @djschuett @ACR_MD @LindaSuleimanMD @traumaticum @samjain_nhs @jaimelbellamyDO @Dr_Stambough
The Bone & Joint Journal@BoneJointJ
🔎CASE IN FOCUS! 🩻 How would you treat this fracture in a fit and active 73-year-old male patient five years after a well-functioning primary THA? a) Revision - cement in cement b) Revision - uncemented fluted taper c) Fixation - PPF locking plate d) Fixation - DCP #THA #BJJ
English

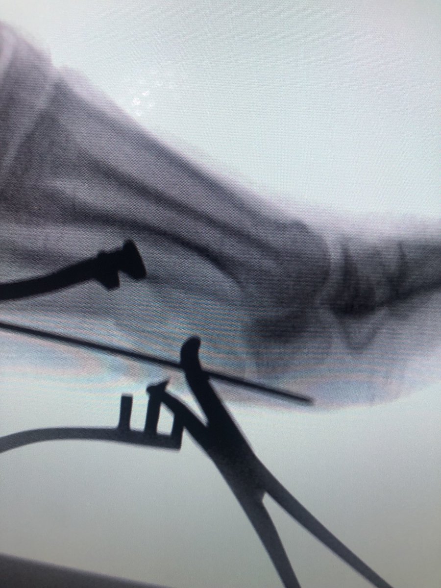
@Ric_Rag @traumaticum Yes. To help with initial reduction and flexion deformity
English

@dzbro_ @traumaticum Good job! Was the 1/3 tubular placed first to hold the reduction of the big GT fragment?
Madrid, Spain 🇪🇸 English

Say you work in an institution with a 'one implant fits all' strategy (Gamma3). How would you do adjuvent fixation for basicervicals or other weird neck/intertroch injuries? relatively seldom injury for me. Pulled this out of the hat but is there a better way? #orthotwitter



English

@dzbro_ ok, spell it out for me, i cant find a synthes distal femur plate similar to the one pictured?
English

@traumaticum Synthes distal femur plate. Gave us more screw options with the distal flare than the proximal femur plate
English

@dzbro_ This I like. Still need to be a lucky bastard to sneak the screws around the nail though. What plate? Screws sit damn near perfectly
English






