Feria Hikmet
172 posts

Feria Hikmet
@feriahikmet
PhD student in @ProteinAtlas @DrLindskog lab | https://t.co/mVYO8nPggg…














Återkommande konversation: - "Var kommer du ifrån?" - "Jag är född i Stockholm - "Var kommer du från e g e n t l i g e n?" - "Alltså, min pappa är från Uruguay om det är det du menar." - "Har du åkt tillbaka hem nån gång?" 🤷♂️


@lenahallengren @Folkhalsomynd Sweden as a research nation should be testing vaccines against Covid19 now & not in three years. Investment in viral research, specifically vaccine research has been lagging behind. Still time to remove this anomaly.





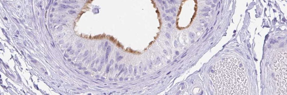
Analysis of ACE2 (suggested host receptor for #SARSCoV2) protein expression profile in human tissues: limited ACE2 expression in the respiratory system both on the protein & mRNA level --> bit.ly/2ByeRi5 @DrLindskog @karolinskainst @ProteinAtlas #COVID19









