Henry Tazelaar retweetledi

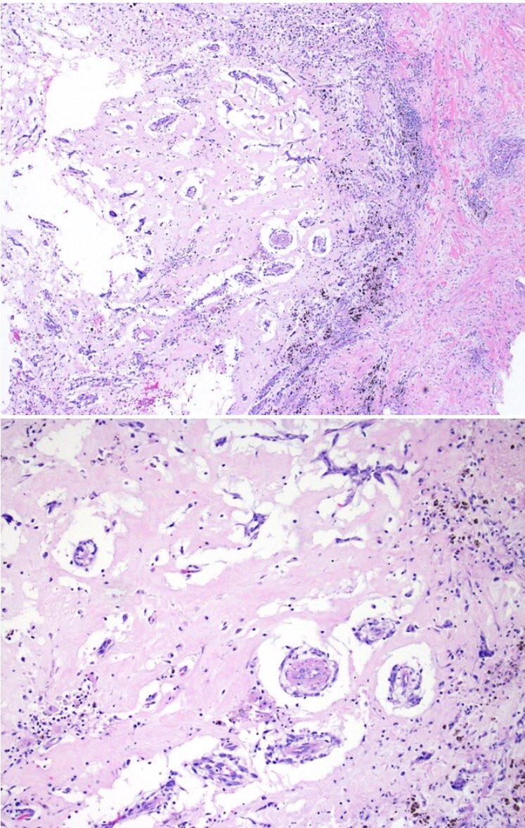
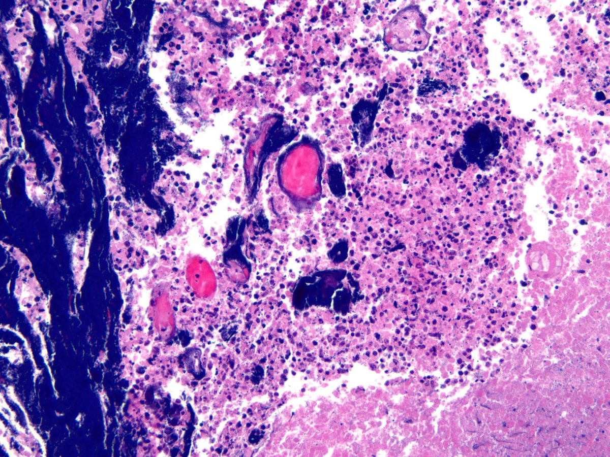
.@optimistpath w/ update on appendiceal lesions at Mayo Clinic #Pathology Update, Jan 25-27. Join us in Phoenix! mayocl.in/2y7AvpM

English
Henry Tazelaar
26 posts

@htazmd
Pathologist at Mayo Clinic in Arizona; all opinions mine, not employer's

































