John Raseman

50 posts

John Raseman

John Raseman

@john_raseman

Katılım Aralık 2021
46 Takip Edilen14 Takipçiler
John Raseman
John Raseman@john_raseman·
@francisdeng Absolutely agree with you, but yes. But feel like any nuance in stroke imaging has already been lost to CT/CTA for all. Used to have to fight to get reflexive CT perfusions cancelled on dizziness patients.
English
0
0
2
309
Daniel Gewolb, MD
Daniel Gewolb, MD@daniel_gewolb·
@john_raseman Often we get a SE post and an MPRAGE post or sometimes the post cons are acquired in multiple planes …usually with a few minutes in between …it was not scanned this way intentionally
English
1
0
0
85
John Raseman
John Raseman@john_raseman·
@northwoods1980 Seems like a novelty. New group im at does in/out phase imaging regularly and find this much more helpful for equivocal cases.
English
0
0
0
85
RJ
RJ@northwoods1980·
Every time I run a ZTE sequence for pars eval, I'm unimpressed and compared to thin 2-D sequencing, do not think it adds any value. Curious what others think now several years after the excitement has worn off.
RJ tweet mediaRJ tweet mediaRJ tweet media
English
6
1
18
3.9K
RJ
RJ@northwoods1980·
The probability of predicting this probably in large part would depend on patient age. I do a ridiculous amount of rheumatology imaging and I don't believe the correlation is all that substantial and if you were to throw out that high probability diagnosis many of these older patients, or at least I were too, my rheumatologists would be very unhappy having to work up all these patients. And a crud load of healthcare $$$ would be wasted. Also, if there are no indicators of sacroiliitis, even higher probability you're barking up the wrong tree and most of these patients will have had some imaging of SI joints.
English
2
0
19
1.9K
Douglas Beall
Douglas Beall@dougbeall·
Radiologists: please be sure to mention autofusions on cross-sectional imaging studies. This typically indicates a seronegative spondyloarthropathy. That was the case in this patient with neck pain but no mention on the radiology report.
Douglas Beall tweet mediaDouglas Beall tweet mediaDouglas Beall tweet mediaDouglas Beall tweet media
English
11
2
51
11.4K
John Raseman
John Raseman@john_raseman·
@daniel_gewolb Called a shrinking, enhancing extrusion that was misdiagnosed as a meningioma today thanks to you!
English
0
0
1
33
Psychiatry Excellence
Psychiatry Excellence@psycheureka·
Imaging Findings → White Matter Hyperintensities T2-weighted FLAIR MRI showed bilateral periventricular and deep white matter hyperintensities, consistent with small vessel ischaemic changes. These lesions are often linked to vascular depression and late-onset psychosis. Psych Scene Tip: In late-onset depression or new-onset psychosis, always consider cerebrovascular contributions.
Psychiatry Excellence tweet media
English
7
9
60
19K
Psychiatry Excellence
Psychiatry Excellence@psycheureka·
A 59-year-old woman with no prior psychiatric history presented with severe depressive symptoms, nihilistic delusions, and poor insight. She required inpatient admission due to suicidality and functional decline. Let’s examine this case and its imaging to highlight the diagnostic and management considerations. 🧵👇
Psychiatry Excellence tweet media
English
11
66
352
76.6K
RJ
RJ@northwoods1980·
Elderly female. No interventions. New bilateral lower extremity weakness. Thoughts regarding this finding?
RJ tweet mediaRJ tweet mediaRJ tweet mediaRJ tweet media
English
2
3
45
7K
John Raseman
John Raseman@john_raseman·
@northwoods1980 Currently reading an MRI brain, MRA head and neck and MR neck for angioedema. Gotta rule out stroke!!
English
0
0
2
294
John Raseman
John Raseman@john_raseman·
@NeilPowrie @northwoods1980 But is that the context of what it was studied in? Seems like a potential misapplication. All I can find in general is language that it should be used to stratify osteopenic patients.
English
1
0
0
32
Neil Powrie
Neil Powrie@NeilPowrie·
@northwoods1980 @john_raseman Not all patients with osteoporosis need treatment. Youngish patients without a hx of fracture for example. In these cases frax is definitely useful re: whether to treat or not.
English
2
0
0
59
RJ
RJ@northwoods1980·
How, why are some DEXA reports including FRAX when patients have osteoporosis or normal bone mineral density? What am I missing here?
English
5
0
5
4.4K
John Raseman
John Raseman@john_raseman·
@northwoods1980 @NeilPowrie I agree this isn’t correct but I caved a while ago and started putting in the score “for reference” because clinicians kept complaining. Do you have a reference on the FRAX website? Having trouble finding it there.
English
1
0
0
65
RJ
RJ@northwoods1980·
Just to clarify, you're reporting the FRAX score with osteoporosis?! That is not valid in porosis last I checked. You can reference the FRAX website and it will tell you this directly. Of course there are other contraindications to reporting it as well including various medication's, etc.
English
1
0
0
119
John Raseman
John Raseman@john_raseman·
@francisdeng Want to use this terminology, but often feel there are cases where I’m not sure. Any guidance in the literature on when to call “non-fracture deformity”? Feel like there are plenty of cases where I’m not sure, though I’m guilty of overusing ambiguous language when I don’t need to
English
1
0
0
52
Francis Deng, MD
Francis Deng, MD@francisdeng·
"Use of ambiguous and obscure terminology leads to confusion and the risk that vertebral fractures will be overlooked." Why do radiologists seem to avoid the word "fracture" and use words like deformity? theros.org.uk/media/3daohfrq…
Francis Deng, MD tweet media
English
2
1
15
2.9K
Francis Deng, MD
Francis Deng, MD@francisdeng·
@john_raseman I try to measure it in a way that is more accurate if I think the morphology deviates from the ellipsoid approximation. Sometimes I’ll pull out the threshold-based segmentation tool in PACS to get a better handle on the volume.
English
1
0
1
56
Francis Deng, MD
Francis Deng, MD@francisdeng·
Implications of this trial for neuroradiology reporting: 1) clearly distinguish lobar intracerebral hemorrhage (ICH) from deep location 2) estimate the volume of hematoma Lobar spontaneous ICH of 30-80 mL may benefit from early (<24h) evacuation.
Naif M.Alotaibi@NaifMA1

New @NEJM trial for ICH evacuation using the BrainPath and Myriad devices Using the utility-weighted modified Rankin Scale (range, 0 to 1, with higher scores indicating better outcomes) according to patients’ assessments, there were better outcomes for superficial lobar ICH. However, no difference was observed for basal ganglia locations. nejm.org/doi/full/10.10…

English
3
14
46
12.5K
John Raseman
John Raseman@john_raseman·
@francisdeng Do you put caveats on overestimation when it’s near the 30 mL threshold? Assuming they used the same simple volume calculation so best to just leave be, but clearly inaccurate in many cases depending on hemorrhage morphology.
English
1
0
0
33
RJ
RJ@northwoods1980·
@WillyRontgen And there's not even a standard soft tissue sagittal reconstruction either. Just a bone
English
1
0
7
1.3K
John Raseman
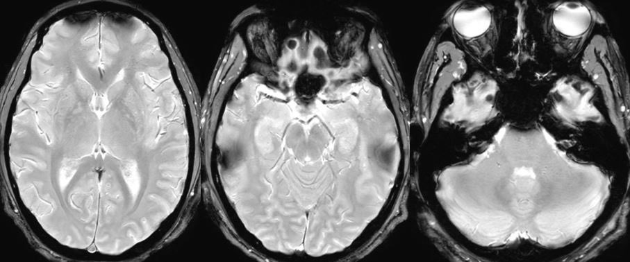
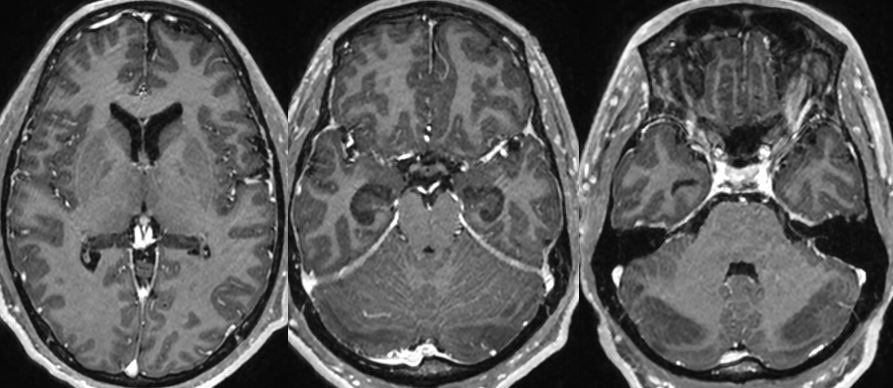
John Raseman@john_raseman·
@daniel_gewolb Hard to project but present bilaterally. Nice CT case that I only called bc of Twitter.
John Raseman tweet media
English
1
0
3
80
Daniel Gewolb, MD
Daniel Gewolb, MD@daniel_gewolb·
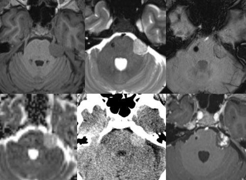
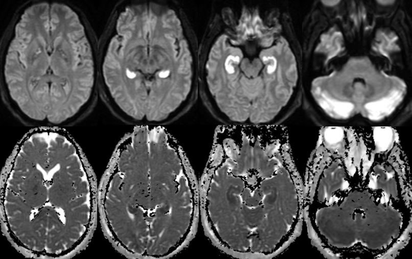
▶️CHANTER syndrome is likely a diagnosis on the spectrum of opioid induced amnestic syndrome (which is isolated to the hippocampus) and pediatric opioid use-associated neurotoxicity w/ cerebellar edema (POUNCE)
English
2
4
16
2.8K
Sameer Raniga
Sameer Raniga@samrad77·
Absence soft tissue swelling or preservation of air in this triangular portion of the nasal cavity (deep/medial to the nasal bone and lateral to the nasal septum)- has almost 100% negative predictive value for a nasal bone fracture (excludes nasal fracture). I don’t look at the bone window if this region is clear and contains air. —on-call wisdom
Sameer Raniga tweet mediaSameer Raniga tweet media
English
7
41
291
38.7K