JORGE
57 posts


@syamkumarmd Apparent AV junctional escape in Wenckebach AV block fue to markedly slow conduction through the slow AV pathway.
English


“”12-lead ECG EP study”
54 yom
WCT interrupted as soon as there is 1 complete narrow QRS.
What is the diagnosis?
Beautiful finding, unusual, but makes the proper diagnosis w/o inserting catheters in the heart.
Authors of this finding will be disclosed after #Epeeps answers

English

@ALFIEEP1 @LAHRSonline1 Orthodromic AVRT using AP (left sided) recuperation of the conduction over the left branch and termination of the tachycardia
English

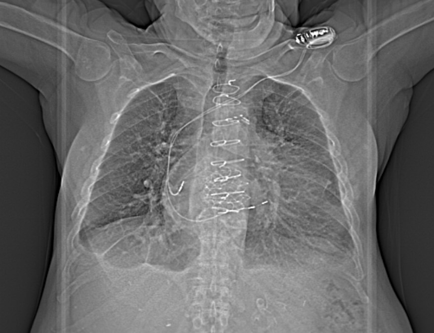
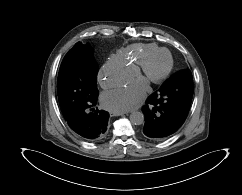
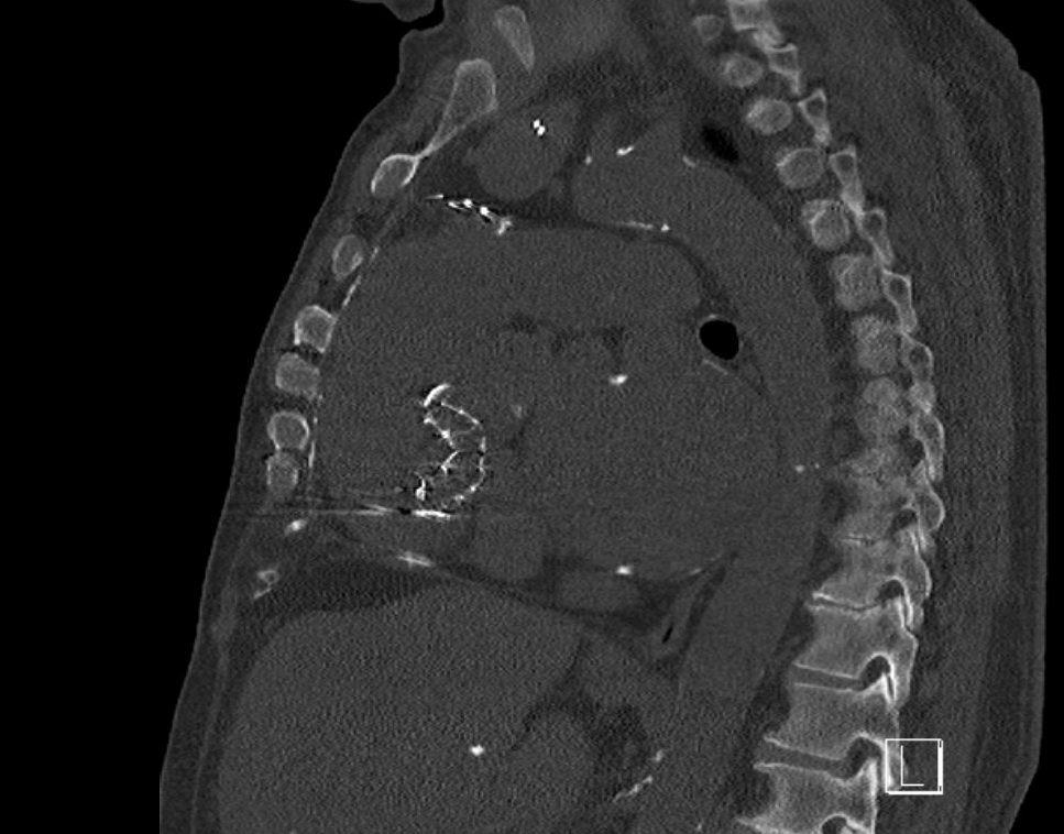
@jeffrey_vinocur @syamkumarmd Interaction between the lead and the percutaneous valve? Micra AV could be an option.
English

@syamkumarmd *sigh* best plan would be for long-term management to have been discussed in 2020
English

@IsaParam @kellych11 I meant V in CS before V in distal His when the APC occurred
English

@IsaParam @kellych11 V in CS when we saw the APC with delta wave and negative D1 finally left sided. Very nice case. Thank you for the generosity of sharing it with us and the public.
English

17 yo W without structural heart disease (normal MRI). She presents in an emergency with this tachycardia. Second ECG after CV. Opinion ? #EPeeps


English

@kellych11 @IsaParam The prior activation of the V in the coronary sinus (before than the V in the distal His) I think it might be important for the next step. Eager to see the maneuvers or to see of adenosine was done. Eager to see the localization if the operator went straight to ablation;)
English

@IsaParam @jorgitopalazzol An accessory pathway = antidromic AVRT
Filipino

@kellych11 @IsaParam There is AH prolongation when an premature atrial contraction is occurring (PAC). One can se that the activation of the His is on time with the delta way and in the coronary sinus we can see a V activation previous than the activation of the V in the distal His.
English

@IsaParam @Arritmias_HRC @Arritmias_H12O @ArritmiasHUSC @ArritmiasChn @kellych11 @RICMAD1961 Congratulations
English

#EPeeps VT ablation in ischemic heart disease. The key is to carefully map the scar. These potentials were 0.16mV. Entrainment: PPI = TCL. RF 50W and end of VT in 1 second. @Arritmias_HRC @Arritmias_H12O @ArritmiasHUSC @ArritmiasChn @kellych11 @RICMAD1961



English

@jeffrey_vinocur @Ep_Aficionado the AR is a sinus beat which is in the post V pacing refractory period, the atrial refractory period is short so we see an AP, the AV interval times out and the PM delivers a VP.
English


@IsaParam @ecgrhythms The answer is ARVD? R from v1 to v4 and repolarization abnormality from V1 to V4.?
English


@IsaParam @AdolfoFontenla @jvillacastin @ALFIEEP1 @EF_Cardiaca @Ed_Gerst @Arritmias_HRC @FellowEP @syamkumarmd @DrRoderickTung @ArritmiasHUSC Ventricular tachycardia
Eesti

@IsaParam @AdolfoFontenla @jvillacastin @ALFIEEP1 @EF_Cardiaca @Ed_Gerst @Arritmias_HRC @FellowEP @syamkumarmd @DrRoderickTung @ArritmiasHUSC Septal apical posterior VT?
English

NI DCM. EF 25%. #ECG #EPeeps #CardioTwitter @AdolfoFontenla @jvillacastin @ALFIEEP1 @EF_Cardiaca @Ed_Gerst @Arritmias_HRC @FellowEP @syamkumarmd @DrRoderickTung @ArritmiasHUSC

Nederlands












