
@ASTRO_org @FoxChaseCancer Incredibly humbled to be granted this honor by ASTRO and to part of such a wonderful class of fellows being inducted. Privileged to be a part of such a wonderful organization!
English
Josh Meyer
137 posts

@joshmeyer1
Proud father/husband, Radiation Oncologist @ FoxChaseCancer, bass player in https://t.co/ia0oCZS1MI, and I like to eat




Communication presenting scientific facts should be well balanced with headlines that inform rather than alarm.#ASCO2023 @ESTRO_RT #radonc

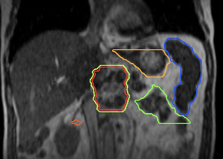
Treating patients with localized, solid tumors near critical organs in the body? Target them with proton therapy, reducing side effects now and in the future.



















You: There’s no ChatGPT use case in healthcare Docs: Watch this 👇






