Sabitlenmiş Tweet
Pathology JC
3.6K posts

Pathology JC
@path_JC
Online Pathology Journal Club #pathJC #pathology #JournalClub
Katılım Haziran 2016
4K Takip Edilen5K Takipçiler
Pathology JC retweetledi
Pathology JC retweetledi

#GIPathJC
- The study demonstrates chemotherapy can significantly alter the Ki67 index in high grade neuroendocrine neoplasms
- In post-treatment cases history and pre-treatment pathology facilitates the correct pathologic interpretation
English
Pathology JC retweetledi

#GIPathJC
- More evidence is needed to determine prognostic implications of treatment-associated alterations
- Until more evidence is available post-treatment PD-NECs should retain their originally established pre-treatment diagnostic classification
English
Pathology JC retweetledi

#GIPathJC morphology of pre-treatment and post-treatment samples fell in two categories
-first category (n = 9) showed cellularity, atypia, and pleomorphism similar to pre-treatment samples
-second category (n = 11), showed morphologic transformation of the neoplastic cells
English
Pathology JC retweetledi
Pathology JC retweetledi

#GIPathJC
In 18/20 cases (90%), post-treatment samples showed areas with Ki67 index significantly lower than matched pre-treatment samples or <20% that would not qualify for high grade based on the WHO grading system
English
Pathology JC retweetledi

#GIPathJC
-6 cases had post-treatment Ki67 index falsely suggesting a diagnosis of WD-NET G2 (3 cases) or G1 (3 cases).
-Degree of heterogeneity in the post-treatment samples was marked, 15/20 cases showing heterogeneity, 12 had a heterogeneity score >1 (mean score = 2.4).
English
Pathology JC retweetledi
Pathology JC retweetledi

#GIPathJC
-In 15/20 post-treatment samples, Ki67 index was <20%, at least focally (i.e., in a coldspot), and in 6 cases (30%) the overall Ki67 index based on the hotspot was <20%.
-In 3 cases, the highest Ki67 index in the entire sample was ≤1%.
English
Pathology JC retweetledi
Pathology JC retweetledi

#GIPathJC
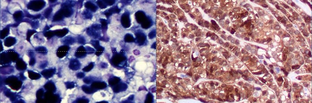
-Ki67 index was calculated as the percentage of neoplastic cells with nuclear labeling in the areas of maximum (hotspot) and minimum (coldspot) staining
-A mitotic count was performed in the areas of highest and lowest Ki67 labeling.
English
Pathology JC retweetledi

#GIPathJC
-Due to observations of reduction in proliferation rate of neuroendocrine tumors following neoadjuvant therapy this study was conducted
-20 cases with history of chemotherapy and/or radiation with pre and post treatment samples were included
English
Pathology JC retweetledi

#GIPathJC Though WD-NET can progress from grades 1 to 3, Often the recurrence or metastases of WD-NET is WD-NET, as opposed to progression to PD-NEC
English
Pathology JC retweetledi

#GIPathJC Ki67 index should be used for tumor grading, but is not by itself useful to distinguish between well differentiated neuroendocrine tumors (WD-NETs) and poorly differentiated neuroendocrine carcinomas (PD-NECs) particularly in high grade tumors or grade 3 WD-NET
English
Pathology JC retweetledi

#GIPathJC well differentiated neuroendocrine tumors (WD-NETs) are separated from poorly differentiated neuroendocrine carcinomas (PD-NECs) due to difference in clinical behavior, treatment, and molecular findings
English
Pathology JC retweetledi
Pathology JC retweetledi

@GILiverPancreas @GIPathJC In our study no patient had a visible lesion, though as endoscopies improve more and more low-grade dysplasia is visible. We don't use that as a criteria but I can't say for certain what the gastroenterologists use to make their final decision
English
Pathology JC retweetledi

@GIPathJC I think you will lose sensitivity if you do not stain every block with BE in it. Definitely an area for further study
English
Pathology JC retweetledi

Matthew Stachler@MatthewStachler
@GIPathJC That is a really good question and one that I don't think is fully answered. In our study we tried to stain every BE block we could and counted the endoscopy + if any one of them had abnormal p53. We definitely had cases were not every block was positive.
QHT
Pathology JC retweetledi
