Katie Hagen, MD
10 posts

Katie Hagen, MD
@pathologistkt
Surgical Pathologist #gipath, mom, #minnesotavikings fan | T/RT not medical advice
Rochester, MN Katılım Nisan 2017
140 Takip Edilen134 Takipçiler
Katie Hagen, MD retweetledi

@padmapathology1 @RunjanChetty @DraEosina @DrMarkOng @Kashifhazim @Divya_Madhala @atman_ci @PoloniaAntonio @pepeheffernan Could be fibulin 3 type amyloid pubmed.ncbi.nlm.nih.gov/33020971/
English

#GIpath #PathTwitter
Does anyone know what this change is, seen around blood vessels? Looks like elastosis. Can't find any reference regarding the same. @RunjanChetty @DraEosina @DrMarkOng @Kashifhazim @Divya_Madhala @atman_ci @PoloniaAntonio @pepeheffernan



English
Katie Hagen, MD retweetledi
Katie Hagen, MD retweetledi

Elderly female with abdominal pain and distention, found to have bowel perforation and a surprise additional finding on histology #GIPath H&E > Congo Red > Polarized Congo Red. #PathResidents #Birefringence Thank you to Dr. Mostafa for the case and @glom_busterMD for the photos.




English

Check out our review of important prognostic factors for malignant polyps #GIpath
CAPathologists@Pathologists
Histologic Evaluation of Malignant Polyps and Low-Stage Colorectal Carcinoma; read this @ArchivesPath Early Online Release research by @MedicalCollege #pathologists Drs. Catherine E. Hagen & Ayesha Farooq: capatholo.gy/32Ii1ro.
English

@padmapathology1 No the PDAC was treated and only high grade PanIN was left in the resection
English

@pathologistkt Grossly were you able to delineate the adenoca focus?
English

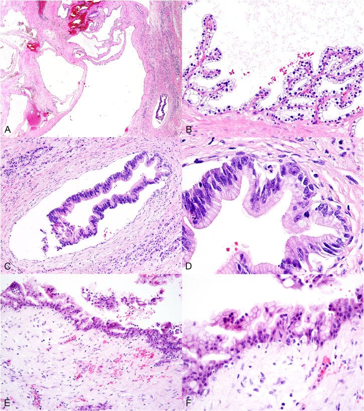
Check out our case report of coexisting serous cystadenoma and pancreatic ductal adenocarcinoma #GIpath #pancreaspath: urldefense.proofpoint.com/v2/url?u=https…


English

