EcografíaCrítica
156 posts

EcografíaCrítica
@piezein
Médico. Terapia Intensiva. Mendoza, Argentina.
Katılım Kasım 2016
232 Takip Edilen97 Takipçiler

@NephroP Banda moderadora
Fracción de eyección aproximada 30%
Español

#POCUS quiz of the day:
What is the linear structure arrow is pointing to?
How is the LV systolic function?
#MedEd #FOAMed #Nephpearls
GIF
English

What could be the probable reason for 👇 urine discoloration in a patient in the intensive care unit?
Any implications, particularly from #Nephrology standpoint? #MedEd
*No hematuria, rhabdomyolysis, Rifampin use.

English

#POCUS quiz:
What's the jumping structure in the right ventricular outflow tract?
#FOAMed #MedEd #Nephpearls
GIF
English

@NephroP Hidronefrosis derecha leve, presenta dos imágenes más ecogénicas que el parénquima hepático, una de ellas con centro anecogenico, pensaría en metástasis hepáticas (ya que hay por lo menos dos órganos comprometidos) y una metástasis puede que se encuentre abscedada
Español

#POCUS image of the day:
Focused clinical question: rule out urinary obstruction
Anything notable on this image apart from presence or absence of hydronephrosis?
#MedEd #FOAMed #Nephpearls
GIF
English

@EcosemfyC Quiste renal complejo, ya que sus bordes no son regulares y tiene elementos ecogénicos en su interior
Español

Compañeros de la ecografía clínica, si encontráis esto como hallazgo incidental, ¿cómo lo catalogaríais?
¿Quiste renal simple o complejo?
#POCUS #Ecosemfyc


Español

@NephroP Hígado graso, y doble sistema colector en polo inferior de riñón derecho
Español

#POCUS quiz of the day:
What's the abnormality here?
Scan location: right upper quadrant, lateral
#MedEd #FOAMed #Nephpearls
GIF
English

Repasamos la semiología de la ecografía pulmonar.
¿Esto se llama?🤓
a. Líneas A
b. Líneas B
c. Líneas Z
d. Derrame pleural
#POCUS #EcosemFYC
Español

Repasamos la semiología de la ecografía pulmonar.
¿Esto se llama?🤓
a. Líneas A
b. Líneas B
c. Líneas Z
d. Derrame pleural
#POCUS #EcosemFYC
Español

¿Cuáles son los síntomas que puede presentar este paciente?
A. Dolor lumbar
B. Hematuria
C. Asintomático
D. Todas pueden ser ciertas
🤓 #POCUS #EcosemFYC
Español

#ImageOfTheWeek by Fernando Platania, Luis Alberto Oliveira Dallan and Luis Roberto Palma Dallan from the Ana Costa Hospital, Santos, Brazil.
What is the cavity and nature of the image? bit.ly/3qjMM75
#cardioed #ESCYoung #cardiology #science #medicine #cardiovascular

English

Corte longitudinal del riñón derecho. ¿Observáis algo raro en el parénquima renal? ¿Cicatrices renales?👀🤓
#POCUS #EcosemFYC
Español

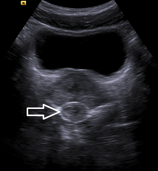
Corte trasversal a nivel pélvico a la altura de la próstata y encontramos esta imagen.
¿Qué es la porción circunscrita que indica la flecha?
#POCUS #EcosemFYC
A. Tumor
B. Porción posterior de la próstata
C. Recto
👀🤓

Español

Dos jornadas memorables de #POCUS en la Facultad de Medicina UBA. GRACIAS ASARUC Tecnoimagen SA Kosmos Latam EchoNous Inc.
Francisco Tamagnone @momiamd @hatemsoliman @Eduardo Ríos Argaiz @Asariel Rodríguez Inzunza MARCO EMMANUEL JIMENEZ TEXCALPA @Jorge Má…lnkd.in/dXRy-fw7
Español

Gracias #ComitédeEcografíaenelPacienteCrítico #SociedadArgentinadeTerapiaIntensiva. Fue un placer reencontrarme con amigos queridos y mejores colegas. Francisco Tamagnone @JoséFeijóo @EmilianoDescotte @JoséluisdoPico Gustavo Cardonatti Erica silvana Simes…lnkd.in/dXG8-ax8
Español



